When a tiny, fluid-filled sac (bursa) within a joint becomes inflamed (bursitis), a bursectomy is performed. The bursae serve as cushions for the bones as well as the muscles and tendons that surround them. Inflammation is more prone to occur in joints that are subjected to repetitive activities.
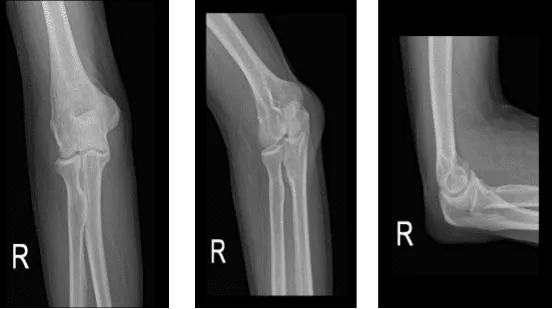
A 65 year-old male patient is here with X-rays of his right elbow and complains of pain from his right elbow. He is unsure how it happened but he said he started to feel the pain 2 days ago. According to his X-ray he has right olecranon bursitis with increased temperature and redness.
However, we discussed the risks, benefits and alternatives at length. We advised the patient to take medications and treatment such as Keflex and Mobic for infections, and also, we told him to take rest, use ice for pain and inflammation.
And he was told and understood that he may need aspiration/surgery if the pain is not getting better. The patient will be back in 3 days for his follow up checkup. After three days, the patient went back to the office with the same complaints but the possible infection had healed now. The patient had a bump which had been there for many months.
After the X-ray was presented and reviewed, we started to discuss treatment options and the patient opted for surgical management. We discussed risks and benefits including injury to adjacent nerves and vessels, infection, bleeding, recurrence, and need for repeat surgery among others. We also discussed systemic complications. The patient understood and signed an informed consent.

Right elbow x-ray
The patient was taken to the operating room where general anesthesia was induced. Preop antibiotic was given. The right upper extremity was prepped and draped aseptically in usual fashion after application of tourniquet. Time-out was called.
A curvilinear incision going to the radial side was given over the bursa. With the help of the sharp and blunt dissection, the bursa was delineated and excised completely. There was some rupture of the bursa which showed white griseous material draining out.
Culture, sensitivity as well as histopathology was sent. Hemostasis was achieved after removal of the tourniquet. The wound was thoroughly irrigated.
Closure was done using # 3-0 Vicryl and #4-0 nylon. Dressing was done using Adaptic, 4 x 8, Webril, and Ace wrap. A short arm splint was applied. The patient was extubated and moved to Recovery in stable condition.
After one week the patient visits the office for a post operative appointment, no X-rays were indicated. Patients have no other symptoms however; the patient’s biopsy shows Gouty Tophi, S/R is done, Activities as tolerated. The patient’s Follow Up checkup after 3 weeks.
Disclaimer – Patient’s name, age, sex, dates, events have been changed or modified to protect patient privacy.
