An outpatient procedure lasting 30 to 90 minutes called a distal radius ORIF is frequently carried out under either general anesthesia or local “nerve block” anesthesia.
The technique is carried out in the manner described below after the patient is at ease and asleep: The forearm and wrist’s palm side both have incisions done in them.
A 53 year-old female patient who was seen by the doctor in the office following a fall off a skateboard while she was skating at a skating place. She was found to have an intra articular comminuted fracture of the distal radius.
She was put in a splint at an out care center. She was given treatment options and opted for surgical management. We discussed the risks and benefits and complications including infection, bleeding, injury to nerves and blood vessels, stiffness, pain, failure of fracture repair, additional surgery along with other issues. We discussed systemic complications.
The patient was taken to the operating room where she was placed on a well-padded operating room table. General anesthesia was induced. A supraclavicular block was given. The patient was sedated adequately. The short arm splint of the left upper extremity was removed.
A high tourniquet was applied. The left upper extremity was prepped and draped in the usual fashion. A timeout was called. Preoperative antibiotic was given. The arm was elevated after exsanguination. A tourniquet was applied but not used during the surgery.
A volar incision was made around the tendon. Hemostasis was achieved. The tendon was retracted medially. After retraction of the tendon the pronator quadratus was released. The pronator quadratus was cut in line with the incision of the radial margin and reflected medially.
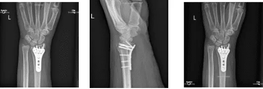
Hohmann’s were used for retraction on either side of the radius. The fracture site was seen and reduced with manipulation. A volar plate was applied and held with a Kirschner wire. As suspected it was comminuted and was dorsally tilted. It was reduced. Then the plate was fixed to the proximal fragment.
The distal fragment was reduced to its alignment with the use of a cortical screw and bicortical fixation with a locking screw. The medial side was impacted and was elevated with the use of a key elevator and the plate was fixed to the distal fragment with the use of seven locking screws.
It was fixed to the proximal fragment with the use of three nonlocking screws. Final physician check was done under fluoroscopy and the pictures were saved. This was closed using 2-0 Vicryl and 4-0 Monocryl, Dermabond was used. Dressing was done with 4 x 4, Webril, short arm splint and ACE wrap. The tourniquet was released. The patient was taken to the recovery room in stable condition.
She is here for her postoperative visit with x-rays. Her pain is well controlled. She has been opening her splint and wrapping back since surgery. She has stiffness in her fingers .X rays were reviewed and discussed; Status post ORIF of a comminuted intra-articular fracture of the distal radius, without complete fracture healing.

X-ray Left Wrist Minimum 3 views
After a month, the patient seen in the office, her pain is well controlled. She has been using wrist braces. She feels weak in her left hand and we agreed to go with conservative management for now. PT to be started as discussed.
After three months the patient has seen in the office her pain is well controlled. She has not been using wrist braces and she has been improving. With regular visits in the office, the patient did well after the surgery and continued physical therapy and rehabilitation for the knee.
Disclaimer – Patient’s name, age, sex, dates, events have been changed or modified to protect patient privacy.

