78 year old male presents with c/o bilateral hand clumsiness and balance problems. There is a remote history of fall about 4 years ago when he had neck pain and was treated in a cervical collar. There is no previous diagnosis of fracture.
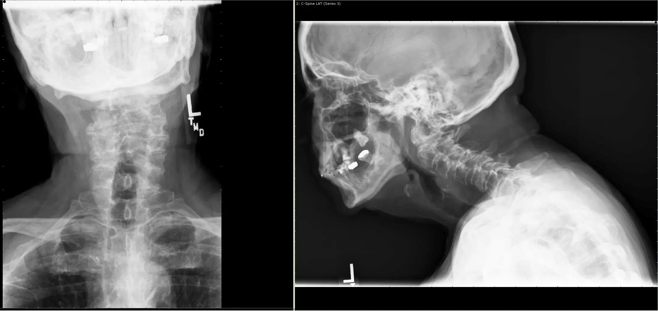
He was having balance issues along with weakness in all 4 extremities. X rays, CT scan and MRI showed a non-union of odontoid fracture with pannus formation and fibrous union, instability with compression of spinal cord at C1-2 level.



After thorough discussion with the patient, an operative management was planned. Posterior C-12 decompression with stabilization with a C1-2 screw and rod fixation was performed.

Patient started recovery in his neurological status post operatively and was sent to rehab. He recovered near complete strength and coordination in 3-4 months post operatively.

