Pilon fractures are high-energy injuries involving the distal tibia, often requiring surgical intervention. This case study provides an in-depth review of a right ankle pilon fracture treated with open reduction and internal fixation (ORIF) and subsequent hardware removal.
Patient Background
A patient presented with persistent right ankle pain following an ORIF procedure for a distal tibial shaft, medial malleolus, lateral malleolus, and posterior malleolus fracture. The injury occurred due to trauma, and surgical intervention was required. The patient experienced ongoing pain, stiffness, and limited mobility, necessitating further evaluation and treatment.

Comminuted fracture of the tibia which has been transfixed with surgical pins as well as can be determined in the position of the surgical instruments appears satisfactory. The plaster splint is in place.
Clinical Presentation
Chief Complaint: Persistent right ankle pain, stiffness, and hardware irritation.
History of Present Illness: Postoperative recovery from ORIF with persistent pain and hardware-related irritation. The patient experienced difficulty walking beyond short distances, with severe pain upon dorsiflexion and eversion-related fibular pain.

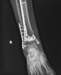
Status post ORIF with plate and screws in the distal fibula and tibia with 2 screws in the medial malleolus. A portion of the fracture line is still evident in the tibia.
Physical Examination:
Antalgic gait.
Limited dorsiflexion initially, improving with time.
Tenderness over the anterior tibial plafond and lateral fibula.
No erythema or drainage at surgical sites.
No signs of infection or secondary trauma.
Imaging Findings
Radiographs and CT scan confirmed healing fractures with a congruent mortise, but hardware impingement on dorsiflexion and eversion.
No new fractures or signs of osteomyelitis.

Status post ORIF with plate and screws in the distal fibula and distal tibia with healed fracture of the distal shaft of the tibia with mild deformity with anatomic alignment maintained.Healed fracture of the distal fibula without residual deformity.
Healed medial malleolus fracture without deformity.
Treatment Plan
Initial Conservative Measures:
Physical therapy, NSAIDs, and pain management were implemented.
Despite nonoperative treatments, the patient reported severe limitations in activities of daily living (ADLs), work, and ambulation.
Surgical Plan:
Given the ongoing pain and functional limitations, hardware removal was recommended.
The procedure included right tibial plafond ORIF hardware removal and arthrotomy with potential removal of loose bodies.
Risks, benefits, and alternatives were discussed, including the potential for residual pain, stiffness, and complications such as complex regional pain syndrome (CRPS), wound healing issues, and neurological injury.
The patient consented to the procedure.
Surgical Procedure
The patient was placed under general anesthesia.
An anterolateral incision was made, and hardware was carefully extracted to minimize soft tissue disruption.
Arthrotomy was performed, and any loose bodies were removed.
The wound was irrigated, and closure was achieved with layered suturing.
Postoperative radiographs confirmed successful hardware removal without acute complications.
Postoperative Course
One week post-op: The patient reported reduced pain but continued to experience limping.
Two weeks post-op: Incisions healed without evidence of drainage, erythema, or warmth.
Four weeks post-op: The patient demonstrated improved range of motion.
Physical therapy was continued with a focus on gait training and strengthening.
The patient was followed up regularly for functional assessment.
Conclusion
This case highlights the importance of addressing hardware-related pain and functional limitations in post-ORIF ankle fractures. While initial ORIF is essential for fracture stabilization, hardware impingement may necessitate removal for optimal recovery. This patient demonstrated significant improvement following hardware extraction, emphasizing the need for individualized postoperative management.
Disclaimer: Patient’s name, age, sex, dates, and events have been modified to protect patient privacy.


