Hombre de 78 años presenta torpeza bilateral en las manos y problemas de equilibrio. Hay antecedentes remotos de otoños hace unos 4 años, cuando tuvo dolor de cuello y fue tratado con un collar cervical. No existe un diagnóstico previo de fractura.
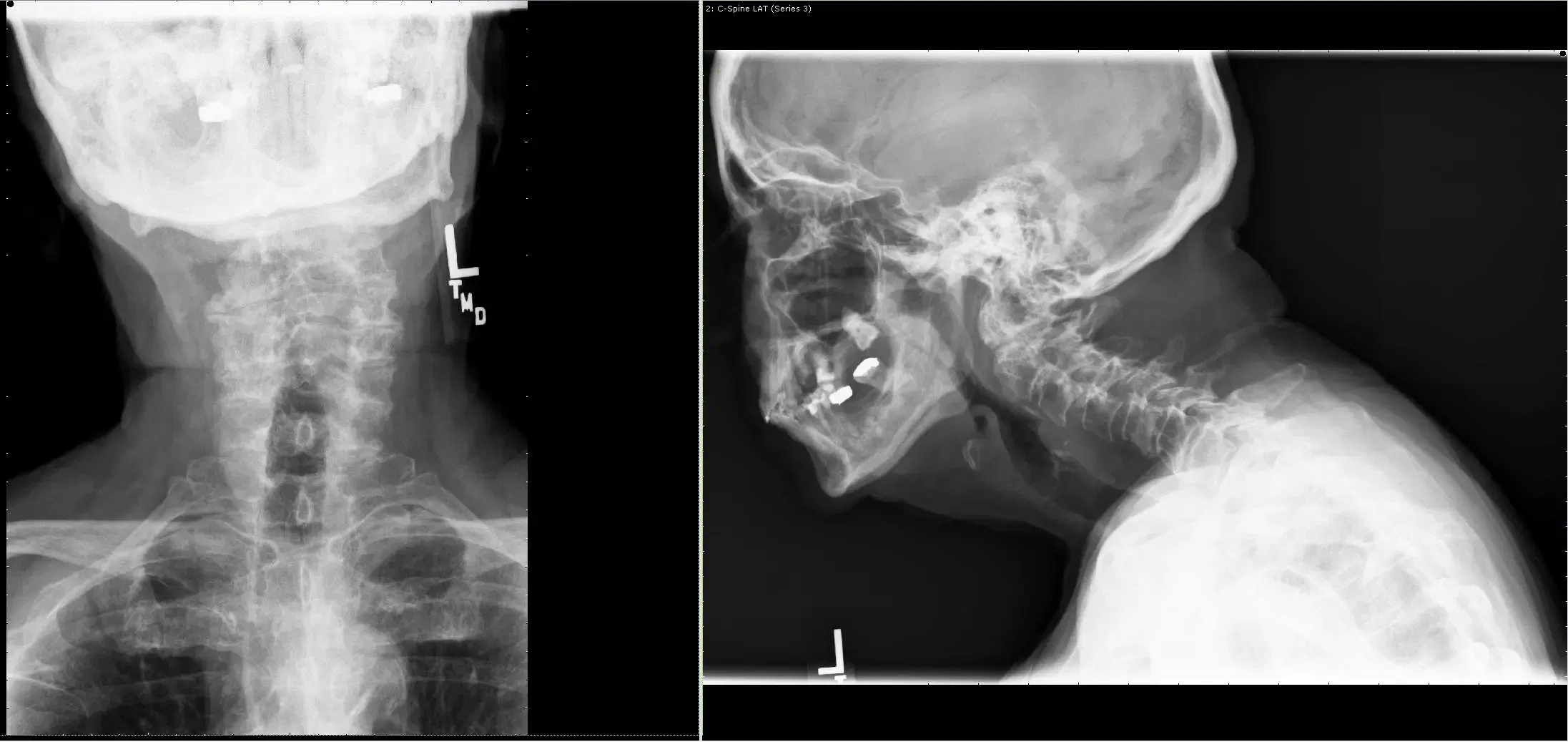
Tenía problemas de equilibrio junto con debilidad en las cuatro extremidades. Las radiografías, la tomografía computarizada y la resonancia magnética mostraron una no unión entre fractura odontoide y formación de panno y unión fibrosa, inestabilidad con compresión de la médula espinal a nivel C1-2.



Tras una discusión exhaustiva con el paciente, se planificó un manejo quirúrgico. Se realizó una descompresión posterior de C-12 con estabilización mediante fijación de tornillo y varilla C1-2.

El paciente comenzó la recuperación de su estado neurológico tras la operación y fue enviado a rehabilitación. Recuperó casi completamente la fuerza y coordinación en 3-4 meses tras la operación.

