Estudio de caso: L5-S1 Transforaminal Lumbar
Fusión intersomática con artrodesis intersomática
El paciente se presentó en la clínica de neurocirugía con signos y síntomas de espondilosis lumbar y radiculopatía a nivel L5-S1 de su columna lumbosacra. Fallaron las medidas conservadoras extensas y se recomienda la cirugía para descomprimir y estabilizar su columna lumbar.
Se les explicaron los riesgos, beneficios, alternativas y posibles complicaciones, y todas sus preguntas fueron respondidas hasta que no se plantearon más problemas y proporcionaron un consentimiento informado por escrito que se colocó en la tabla.

Degeneración moderada del disco
El paciente fue llevado a la sala de operaciones. Su identidad fue verificada. Se realizó el tiempo de espera. Se indujo anestesia general y fueron intubados por el servicio de anestesia. Se colocaron derivaciones de monitorización respiratoria y cardíaca.
Se colocaron derivaciones de neuromonitorización para el potencial evocado somatosensorial y EMG. Recibieron antibióticos intravenosos profilácticos preoperatorios. Se colocó boca abajo en un marco Jackson Relton-Hall con todos los puntos de presión cuidadosamente acolchados.
El área lumbar se preparó con clorhexidina y solución DuraPrep. Las cortinas estériles se colocaron de la manera habitual. Se infundió lidocaína al 1% con epinefrina sobre la cresta ilíaca.
Se hicieron dos incisiones de puñaladas con bisturí de 15 hojas. Los alfileres de Schanz fueron apisonados en la cresta ilíaca. Se colocó la matriz de neuronavegación. El paciente estaba cubierto. Se obtuvo una tomografía computarizada intraoperatoria y los datos se transfirieron a la computadora de neuronavegación.
Se verificó la exactitud. Se utilizaron técnicas de neuronavegación para identificar puntos de partida para incisiones lineales bilaterales que tenían aproximadamente 4 cm de la línea media y aproximadamente 2 a 3 cm de longitud.
La unidad de brazo en C se cubrió estérilmente y se utilizó para la colocación de hardware y la localización. Comenzamos en el lado derecho del paciente, donde la incisión fue infundida con lidocaína al 1% con epinefrina. La piel se abrió con un bisturí de 10 hojas. La hemostasia se obtuvo con Bovie.
Bovie fue utilizado para dividir bruscamente la fascia. Se utilizaron técnicas de neuronavegación para colocar un tornillo pedicular de titanio autoperforante y autorroscante en el pedículo L5 derecho sin dificultad debido a la esclerosis.
Se utilizó una aguja Jamshidi navegada para canular el pedículo sacro S1 derecho. Se retiró la aguja Jamshidi, y se insertó un tornillo pedicular de titanio canulado con alambre K y luego se retiró el cable K. También se navegó por el tornillo pedicular.
A continuación, dirigimos nuestra atención hacia el lado izquierdo. Una vez más, una incisión fue infiltrada con anestesia local y abierta con un bisturí de 10 hojas. La hemostasia se obtuvo con Bovie y la fascia se dividió con Bovie. Se colocó la aguja Jamshidi navegada. Colocamos K-wire en los pedículos izquierdos L5 y S1 y estos fueron sujetados con hemostáticos y cortinas.
La unidad de brazo en C se llevó al campo y se utilizaron dilatadores secuenciales para acoplar el retractor tubular sobre las articulaciones facetarias L5-S1 izquierdas. El retractor tubular se fijó rígidamente al marco de la cama con el brazo adaptador. El microscopio operativo fue equilibrado, cubierto estérilmente y llevado al campo.
El resto del procedimiento se realizó utilizando instrumentos y técnicas microquirúrgicas que tenían el propósito de la descompresión, neurólisis y fusión intercorporal.
Se utilizó taladro eléctrico de alta velocidad con irrigación estéril para realizar la facetectomía izquierda L5-S1. La hemostasia se obtuvo con electrocauterio bipolar y cera ósea.
La navegación se utilizó para guiar la trayectoria hacia el triángulo de Kambin. Se identificó la salida de la raíz nerviosa izquierda L5, parecía inflamada, estaba completamente neurolizada con la técnica de Metzenbaum-Penfield y confirmada con ganchos nerviosos.
La anulotomía se realizó con bisturí de 15 hojas, shucker y afeitadoras de paletas secuenciales junto con rongeurs micro hipofisarios en ángulo y rectos para la discectomía. Las placas terminales se prepararon con envolturas para la artrodesis. El espacio intersomático fue irrigado claro.
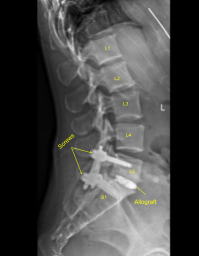
El autoinjerto morselizado seleccionado durante la descompresión, así como el aloinjerto morselizado, se canalizó hacia el interespacio con embudo y tamp, y luego el espaciador intersomático de titanio se apisonó suavemente en el interespacio bajo guía fluoroscópica y se expandió a la posición adecuada. La PA y la fluoroscopia lateral mostraron un posicionamiento apropiado.
A continuación, se obtuvo una tomografía computarizada adicional que muestra una posición ligeramente medial del alambre guía L5 izquierdo. Por lo tanto, la navegación Jamshidi se utilizó nuevamente para volver a canular el pedículo izquierdo L5 en una posición óptima. los tornillos pediculares navegados canulados se colocaron sobre los cables K y los cables K se retiraron con L5 y S1 izquierdos logrando una instrumentación no segmentaria.
El retractor tubular fue retirado después de confirmar la hemostasia con electrocauterio bipolar. Se utilizaron calibradores para determinar el tamaño de las varillas de titanio precortadas y precontorneadas.
Estos se colocaron con insertadores a través de las lengüetas extensoras y los tulipanes en tornillos pediculares bilaterales L5-S1 bajo guía fluoroscópica y se aseguraron con tapas de bloqueo que finalmente se apretaron con un dispositivo de torsión y antitorsión después de retirar los insertadores. Los grifos del extensor se retiraron con el dispositivo de interruptor. Hemostasia confirmada de nuevo.
Las heridas fueron irrigadas limpiamente. Se quitaron los pines de Schanz. Se aplicó vancomicina en polvo. Los cierres bilaterales se lograron con 0 suturas interrumpidas Vicryl pop-off para el cierre hermético de la fascia. Luego se infundió anestesia local de acción prolongada Exparel en los tejidos blandos de la fascia.
Las capas dérmicas se cerraron con suturas Vicryl 2-0. Las incisiones de la piel se cerraron con suturas subcuticulares Monocryl 4-0, se limpiaron, se secaron estérilmente y se vistieron con pegamento Dermabond. El Dermabond también se aplicó para las incisiones del pasador Schanz de la matriz de cresta ilíaca. Obtuvimos una tomografía computarizada final y radiografías finales que muestran el posicionamiento correcto de todo el hardware.

Al final de la caja, los recuentos de esponjas, agujas, agujas e instrumentos eran correctos. El paciente toleró bien el procedimiento. El paciente fue puesto en decúbito supino en el carro, extubado sin incidentes y transportado a la sala de recuperación en condición estable.
El paciente hizo un seguimiento un par de semanas después de la cirugía y luego continuó el seguimiento en nuestra oficina 4, 6, 8 semanas. En su última visita al consultorio, el paciente declaró que sus síntomas de espondilosis lumbar y radiculopatía se resolvieron. El paciente también aceptó continuar la terapia física.


Dr. Nakul Karkare
I am fellowship trained in joint replacement surgery, metabolic bone disorders, sports medicine and trauma. I specialize in total hip and knee replacements, and I have personally written most of the content on this page.
You can see my full CV at my profile page.
