Estudio de caso: Reemplazo total personalizado de la rodilla izquierda
en una mujer de 66 años
Una mujer de 66 años se presentó en nuestra oficina con quejas de empeoramiento del dolor en su rodilla izquierda desde el año pasado. Ella notó el dolor por primera vez hace dos años, pero no buscó ningún tratamiento médico entonces. Vio a un médico el año pasado que le sugirió un reemplazo de rodilla, pero no siguió adelante.
El dolor comenzó insidiosamente sin ningún historial de trauma / lesión por torsión. El dolor se localizó principalmente a lo largo del lado interno de la rodilla izquierda. El dolor era un dolor sordo en carácter y no irradiaba. La gravedad fue descrita como moderada (6/10).
Ella era una enfermera registrada que trabajaba en un hospital, pero actualmente no tenía trabajo debido al dolor. Ella informó que el dolor limitó su tolerancia a caminar a menos de una cuadra. Le resultaba extremadamente difícil subir y bajar las escaleras. Su trabajo le exigía moverse con frecuencia, pararse durante un tiempo prolongado, agacharse y levantar pacientes de las camas. Expresó su incomodidad por realizar incluso sus tareas diarias en casa.
Anteriormente había probado fisioterapia, modalidades de dolor como la estimulación nerviosa eléctrica transcutánea (TENS), bolsas de hielo e inyecciones de cortisona en la rodilla. El alivio de todas las formas de gestión conservadora fue sólo temporal. Sintió que había agotado todas sus opciones de tratamiento conservador.
Ella era una no fumadora y no bebedora . Su historial médico anterior solo fue positivo para hiperlipidemia e hipertensión, ambos bien controlados con medicamentos. Ella tuvo una ligadura de trompas y una reparación artroscópica del manguito rotador del hombro derecho en el pasado.
En el examen físico, su marcha era antálgica, con una fase de postura reducida en el lado izquierdo. Hay una leve hinchazón en la rodilla izquierda. La sensibilidad estaba presente a lo largo de la línea de la articulación medial y lateral, así como en las facetas rotulianas.
El rango de movimiento estaba lleno de crepitación articular y restringido secundario al dolor (20 grados a 80 grados). La piel que recubre la rodilla izquierda era normal sin marcas de cicatrices o tractos sinusales. No hubo aumento local de la temperatura.
El examen de la rodilla derecha, caderas bilaterales y tobillos fueron normales. No hubo evidencia de déficit neurológico distal. Los pulsos bilaterales de las extremidades inferiores fueron de buen volumen y comparables.
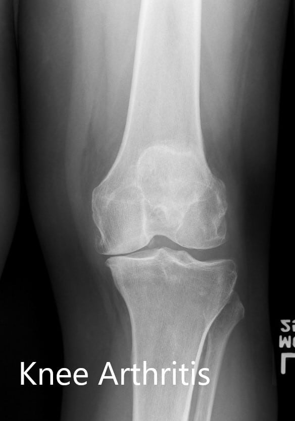
Los estudios de imágenes revelaron osteoartritis tricompartimental de la rodilla izquierda. Teniendo en cuenta el estilo de vida que limita el dolor de rodilla, se aconsejó al paciente que se sometiera a un reemplazo personalizado de rodilla izquierda. Los riesgos, beneficios y alternativas se discutieron con la paciente y su familia. Todos estuvieron de acuerdo en seguir adelante con la cirugía.
Unas semanas antes del procedimiento, se obtuvo una tomografía computarizada de las extremidades inferiores. Utilizando los datos precisos de anatomía y biomecánica, se hicieron implantes e instrumentos únicos específicos para el paciente. Aseguraron que el procedimiento menos invasivo trabajara con una pérdida ósea mínima. También se hizo un plan preoperatorio para ayudar en la cirugía.
Radiografía preoperatoria de la rodilla izquierda que muestra AP y vistas laterales.
OPERACIÓN: Artroplastia total de rodilla izquierda.
IMPLANTES UTILIZADOS: Bandeja tibial personalizada con un componente femoral personalizado con inserto de polietileno de 6 mm con rótula de 32 mm.
DESCRIPCIÓN DEL PROCEDIMIENTO: El paciente fue llevado a la sala de operaciones después de realizar un consentimiento informado y firmar el sitio quirúrgico correcto. Los riesgos, beneficios y alternativas se discutieron ampliamente con el paciente antes del procedimiento. Luego se anestesió al paciente y se cubrió y preparó la extremidad inferior izquierda de la manera estéril habitual. Se utilizó un torniquete para desangrar la extremidad.
Se utilizó una incisión recta para la artrotomía. Luego se dividieron la piel y los tejidos subcutáneos. Luego se realizó una artrotomía pararrotuliana medial. La tibia se preparó con una guía de corte y la atención se dirigió hacia el fémur. El fémur se preparó utilizando las guías de corte personalizadas.
Luego se realizó el corte de muesca. Los esparcidores de lámina se utilizaron medial y lateralmente. El resto del menisco y el cruzado se dividieron. Se realizó un balanceo de brechas y se encontró que era correcto.
La atención se dirigió entonces hacia la rótula. Luego se realizó una resección rotuliana. Se hicieron agujeros de perforación en la rótula.
A continuación, se colocó la rótula de prueba en posición. La atención se dirigió entonces hacia el fémur. Luego se colocó el fémur de prueba en posición, seguido de la tibia de prueba y el poli de prueba. La rodilla se redujo y se probó a través de un rango fisiológico completo de movimiento. No hubo inestabilidad.
Se encontró que el equilibrio de brechas era perfecto. También se encontró que el seguimiento rotuliano era perfecto. A continuación, se eliminaron los componentes del ensayo. El fémur se cementó en su posición. Se eliminó el exceso de cemento.
La tibia fue cementada en su posición. Se eliminó el exceso de cemento. Poly se colocó sobre la tibia y la rodilla se redujo y se mantuvo en extensión completa con un bulto debajo del tobillo.
La rótula se cementó en su posición y se sostuvo con una pinza rotuliana. Después de que el cemento se endureció, se retiró la pinza rotuliana. La artrotomía rotuliana medial se cerró con Vicryl y Stratafix.
La herida se cerró en capas. Luego se decepcionó un torniquete y el paciente fue trasladado a la unidad de cuidados postoperatorios en condición estable.
Radiografía postoperatoria que muestra la AP y las vistas laterales de la rodilla izquierda.
Después de la operación tuvo una excelente recuperación. Ella pudo caminar 50 pies con apoyo el mismo día de la cirugía. El dolor se manejó con medicamentos y se administró aspirina para la profilaxis de la trombosis venosa profunda.
Las suturas se retiraron sin incidentes. Se inició la fisioterapia para reconstruir la fuerza muscular y ganar rango de movimiento. Tres meses después de la operación, tenía un rango completo de movimiento con cero dolor. Ella pudo volver a su línea de base y regresar a su trabajo sin ninguna molestia. Ella estaba extremadamente feliz con el resultado.
Descargo de responsabilidad: el nombre, la edad, el sexo, las fechas y los eventos del paciente se han cambiado o modificado para proteger la privacidad del paciente.






