Estudio de caso: Rodilla izquierda personalizada
Reemplazo en un paciente de 81 años
Una mujer de 81 años se presentó a nuestra oficina con quejas de empeoramiento del dolor en ambas rodillas (izquierda mayor que derecha). Ella declaró que sufrió una lesión relacionada con el trabajo hace 14 años lesionándose las rodillas y los hombros.
Trabajó como enfermera registrada, actualmente no trabaja. Actualmente se estaba quedando con su nieta y le encantaba moverse y cocinar. Durante el año pasado, tuvo un dolor y rigidez crecientes en la rodilla izquierda. No podía realizar sus actividades diarias. Actividades como subir y bajar las escaleras, agacharse y sentarse durante un tiempo prolongado exacerbaron su dolor de rodilla.
Anteriormente, ha tenido intervenciones de rodilla en forma de inyecciones de cortisona e inyecciones hialinas. También probó otras opciones de manejo conservador en forma de fisioterapia y almohadillas térmicas. Ella dijo que tuvo un alivio mínimo que no duró con la administración conservadora.
El paciente presentaba comorbilidades en forma de diabetes mellitus que estaba bien controlada con hipoglucemiantes orales. Ella declaró que su HbA1C más reciente fue 6.0, lo que significa un buen control. Su historial quirúrgico anterior incluyó descompresión cervical anterior con fusión realizada hace 2 años. No tenía alergias conocidas a los medicamentos.
Ella describió su dolor como un dolor sordo que era moderado en intensidad. El dolor se localizó difusamente alrededor de la rodilla, pero fue mayor en el lado interno de la rodilla. Ella informó que la crepitación articular es un sonido audible creado por los huesos que se frotan entre sí. Ella negó cualquier inestabilidad o laxitud sobre la rodilla y negó cualquier lesión de torsión en la rodilla.
Su examen físico reveló una marcha constante con deformidad genu varo leve. Hubo sensibilidad a lo largo de la línea articular medial y lateral y las facetas rotulianas. No hubo evidencia de derrame clínico. No hubo cicatriz en la piel ni senos paranasales ni masa/induración.
El rango de movimiento de la rodilla izquierda era completo, con una flexión final dolorosa. Las pruebas de esfuerzo coronal, sagital y rotacional para la inestabilidad fueron negativas. No hubo déficit neurológico distal. Los pulsos bilaterales de las extremidades inferiores fueron 2+ y comparables. El examen de la rodilla derecha, la cadera bilateral y los tobillos bilaterales fueron normales. Los estudios de imagen revelaron la presencia de osteoartritis tricompartimental bilateral.
Después de una cuidadosa consideración de la edad del paciente, las comorbilidades y el estilo de vida que limitan el dolor de rodilla, se le aconsejó que se sometiera a un reemplazo total de rodilla izquierdo personalizado. Los riesgos, beneficios y alternativas, incluido el manejo no quirúrgico y quirúrgico, se discutieron extensamente con el paciente. Ella aceptó someterse a un reemplazo total de rodilla personalizado izquierdo.
Una tomografía computarizada preoperatoria de la rodilla izquierda del paciente con la cadera y el tobillo se obtuvo unas semanas antes del procedimiento. Los datos de la tomografía computarizada se utilizaron para construir un implante único específico para el paciente teniendo en cuenta la anatomía única del paciente. Los instrumentos y plantillas desechables construidos en 3D se obtuvieron después del procesamiento de los datos de los pacientes. Se formó un plan preoperatorio para ayudar en la alineación correcta de la articulación artificial de la rodilla. Estas herramientas aseguraron que el cirujano estuviera equipado para una cirugía exitosa que replicara la rodilla natural.


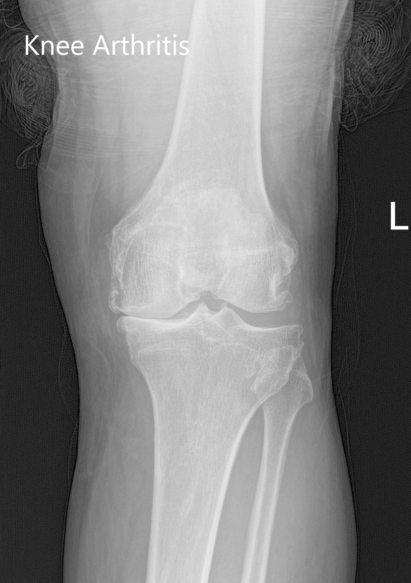
Imágenes radiográficas preoperatorias que muestran AP e imágenes laterales de la rodilla izquierda que revelan osteoartritis tricompartimental y reducción severa del espacio articular medial.
El implante utilizado: Implante femoral personalizado con bandeja tibial personalizada, con inserto de polietileno de 8 mm, con implante rotuliano personalizado de 35 mm x 7 m.
Descripción del procedimiento: El paciente Jas llevado a la sala de operaciones después de obtener el consentimiento informado y firmar el sitio quirúrgico correcto. Los riesgos, beneficios y alternativas se discutieron ampliamente con el paciente antes del procedimiento. El paciente entiende el mayor riesgo de complicaciones después del procedimiento.
El paciente se colocó definitivamente y la extremidad inferior izquierda se cubrió y preparó de la manera estéril habitual. Se utilizó una incisión recta para la artrotomía. Se incidieron la piel y los tejidos subcutáneos. Se realizó artrotomía parapatelar medial.
La tibia quedó expuesta. La resección tibial se realizó utilizando la guía tibial personalizada. La atención se volvió entonces remolque rds el fémur. El fémur se preparó utilizando las guías personalizadas. Luego se realizaron los cortes distales de chaflán y muesca. Luego se realizó la preparación tibial, se realizó el equilibrio de la brecha y se encontró que la brecha era correcta.
La atención se dirigió entonces hacia la rótula. Se realizó la resección rotuliana. Se hicieron agujeros de perforación en la rótula y la rótula de prueba como luego se colocaron en posición. El fémur de prueba se colocó en posición, la tibia de prueba se colocó en posición, la poli de prueba se colocó en posición. La rodilla se redujo entonces.
La rodilla se probó a través de un rango completo de movimiento. No hubo contractura de flexión. Se obtuvo una flexión completa. El seguimiento de la rótula fue excelente. Luego se retiraron los implantes de prueba. La inyección se administró para el alivio del dolor postoperatorio. Se le dio un lavado completo. El hueso estaba seco. El fémur se cementó en su posición.
Se eliminó el exceso de cemento. La tibia fue cementada en su posición. Se eliminó el exceso de cemento. El poli se colocó en posición. La rótula se mantuvo en extensión completa con un bulto debajo del tobillo. La rótula se cementó en su posición. Se eliminó el exceso de cemento. La rótula se mantuvo en posición con la pinza rotuliana. Después de que el cemento se endureció, se administró un riego completo.
La artrototomía parapatelar medial se cerró sin 1 Vicryl y sutura de púas. Los tejidos cutáneos se cerraron con O Vicryl. Los tejidos subcuticulares se cerraron con 2-0 Vicryl. La piel se cerró con grapas. Se aplicó un apósito estéril a la herida y luego el paciente fue trasladado a la unidad de cuidados postoperatorios en condición estable.


Imágenes radiográficas postoperatorias de la rodilla izquierda en AP y vista lateral.
Su recuperación postoperatoria no fue notable. Mantuvo un excelente control de sus niveles de azúcar en la sangre con repaglinida 1 mg dos veces al día y su dolor se manejó bien con medicamentos.
La herida quirúrgica se curó sin complicaciones. Ella pudo caminar con apoyo el mismo día de la cirugía. Continuó la terapia física para el fortalecimiento muscular y el aumento de la flexibilidad. Su programa de ejercicios en casa continuó. Ella reportó una excelente recuperación en sus visitas de seguimiento. Era capaz de conducir y moverse por la cocina sin la aprehensión del dolor.
Ella reportó disminución del dolor en la rodilla derecha secundario a la descarga de la rodilla. La paciente estaba extremadamente feliz con su procedimiento, declaró que su rodilla se sentía natural. Ella regresaría para el reemplazo personalizado de la rodilla derecha si fuera necesario.


