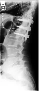
48 yo Female had a sledding injury when she landed on her buttocks following a fall. She felt a “pop” and immediate back pain. She was able to walk briefly, but quickly incapacitated by pain. Her examination suggested an injury to the lower thoracic spine. She was neurologically intact. She had uncontrolled pain. X Rays and CT scan of the patient showed fracture of T12 vertebral body.





We discussed the option of non operative Vs operative treatment for the fracture. Patietn opted for surgical treatment.
The fracture was stabilized by Minimal Invasive spine surgery with percutaneous pedicle screws in T11, 12 and L1 and rod fixation.


Patient tolerated the procedure well. She was pain free after the surgery and discharged home after 1 day. She was able to return to her usual activities in about 8 weeks.

