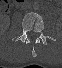
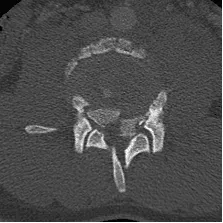
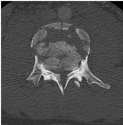
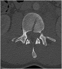
18 yo fell from 3 floors. Near complete loss of all neurological functions below the level of injury with near complete involvement of bowel and bladder





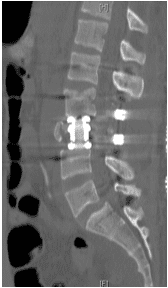
Surgery
Patient was operated and the spinal canal cleaned up of all bony fragments. The spine was fixed from the side and the back to take care of instability.


Patient was sent to a rehab facility after the surgery and she made a quick and complete recovery in 5-6 months.


