Estudio de caso: Tratamiento de la luxación de cadera – Intercambio de componentes acetabulares en el reemplazo total de cadera
Miss EM es una mujer de 35 años que, desafortunadamente, desarrolló artritis a una edad muy temprana. Ella agotó muy rápidamente las modalidades no quirúrgicas de manejo de la artritis de cadera y finalmente recibió una artroplastia total de cadera derecha a la edad de 32 años.
Se recuperó sin incidentes, pero 6 meses después de la operación experimentó una dislocación de su cadera derecha que inicialmente se manejó con una reducción cerrada y monitoreo de recurrencias. Ella pasó a experimentar 2 dislocaciones más en el año siguiente, todas las cuales eran de naturaleza relativamente baja en energía.
Regresó a la clínica después de cada uno de estos para el seguimiento y, después de numerosas discusiones sobre su inestabilidad de cadera en curso, se tomó la decisión de ofrecerle una cirugía de revisión para abordar esto. Su historial médico incluía ansiedad, hipertensión, hipercolesterolemia y fibromialgia. Ella toma medicamentos para todo lo mencionado anteriormente, pero no tiene alergias conocidas a los medicamentos.
Ella es una no fumadora. Realizamos la cirugía de revisión a través de un abordaje lateral, el enfoque utilizado para su reemplazo inicial de cadera. Expusimos su cadera artificial por completo y solo eliminamos su componente acetabular.
Nuestro plan era cambiar este componente por una alternativa que facilitara una construcción de movilidad dual, una que haya demostrado abordar muy bien el problema de la inestabilidad.
Esto se hizo sin eventos y, en extensas pruebas de estabilidad, no se observaron dislocaciones. Después de la operación, Miss EM se sometió a una extensa fisioterapia para fortalecer sus abductores tanto como sea posible, otra estrategia para abordar su problema de inestabilidad. 1 año después de la operación, todavía se queja de rigidez en la cadera, pero no ha experimentado más dislocaciones.
Preoperatorio

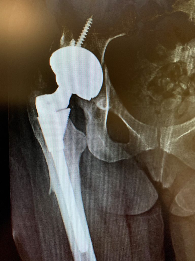
Postoperatorio

