A 70-year-old female presented to us with complaints of bilateral knee pain (left greater than the right side). The patient is a retired police officer who is avidly fond of playing tennis, she also enjoys driving around his grandkids. For the past 10 years, the patient noticed an insidious onset of dull aching pain in both knees, especially worse on the left side.
The pain worsened over the years and she tried conservative treatment in the form of knee injections, home exercise programs, and physical therapy. She is a former smoker and has a history of peptic ulcer disease. She also suffers from hyperlipidemia and hypertension, both well controlled with medications. She previously had an arthroscopic labrum repair of the right hip 7 years ago with excellent pain relief.
The patient complains of worsening pain since the past year limiting her daily activities. She finds it difficult sitting for long in a car and has since limited playing tennis secondary to pain. The patient was visibly distressed having not being able to play with her grandkids. She wanted to discuss knee arthroplasty and was motivated to return to the previous activities she enjoyed.
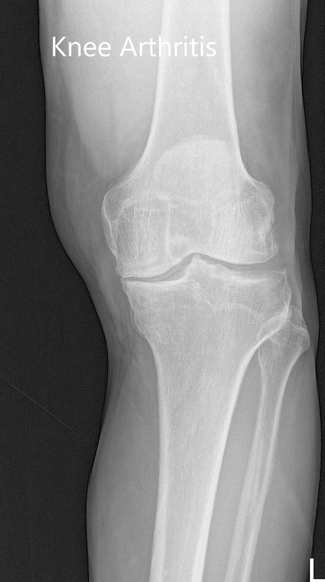
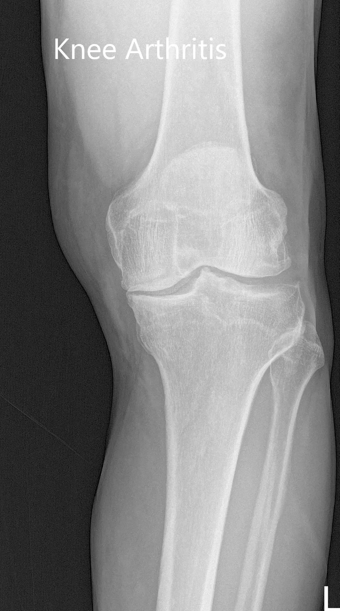
Her physical examination revealed mild knee swelling with a genu varus deformity. She had an antalgic gait with a decreased stance phase on the left side. There were no scar, sinuses or erythema on visible inspection. Palpation revealed medial joint line tenderness and medial patellar facet tenderness with copious joint crepitus on range of motion. End flexion was painful with no contracture. Imaging studies revealed tricompartmental osteoarthritic degenerative changes of the left knee.
After assessing her medical conditions, thorough physical examination and reviewing imaging studies she was deemed a suitable candidate for custom bilateral knee replacement. The patient wanted to get her left knee replaced first and then follow up for her right knee. She was informed about all other alternative treatment options. Risks and benefits of the procedure were explained to the patient. She decided to go ahead with a left custom knee replacement.


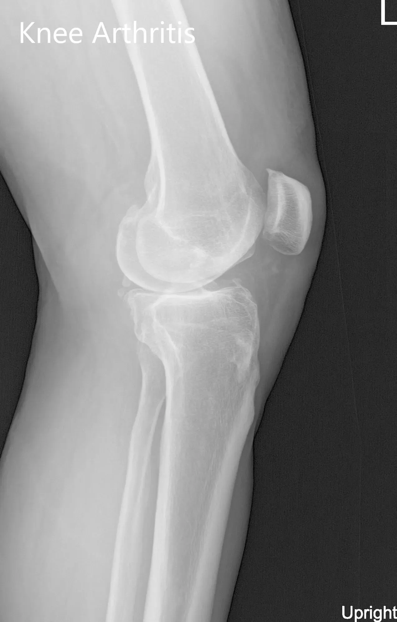
Preoperative X-ray of the left knee showing AP and lateral views
The patient had a preoperative CT scan for assessing his biomechanics and anatomy to aid in bone preserving surgery. The images were used to construct custom patient-specific implants and instruments. Unique 3D printed cutting blocks are used to preserve maximum bone. Preoperative plans are created using the 3D images to ensure correct alignment and prevent implant mismatch which is common with traditional implants.

Complete Orthopedics patient-specific surgical plan for a left custom knee replacement in a 70-year-old female.

Complete Orthopedics patient-specific surgical plan for a left custom knee replacement in a 70-year-old female (scan 2)
Operative report:
Implant – Custom femur with a custom tibia and patella with 8-mm polyethylene insert.
The patient was brought to the operating room after obtaining informed consent and signing the correct surgical site. The risks, benefits, alternatives were extensively discussed with the patient prior to the procedure. The anesthesia was obtained by the anesthesiologist. A tourniquet was placed over the left thigh, and the left lower extremity was prepped and draped in the usual sterile manner.
A straight incision was used for the arthrotomy. Skin and subcutaneous tissues were incised. Medial parapatellar arthrotomy was then performed. The tibial resection guide was then placed into position after exposure of the tibia, and the tibial resection was then made and was then checked. Attention was then turned towards the femur, and the distal cut was then performed using a jig.
Custom instruments
Custom instruments
The anterior-posterior chamfer cuts were then made using the respective cutting guides. The notch cut was then performed. The laminar spreaders were used medially and laterally, and the remainder of the meniscus and the cruciate were then divided.
The tibia was then prepared. A gap balancing was performed and was found to be perfect.
Attention was then turned to the patella. The patella was then resected, and drill holes were made in the patella. Trial patella was then placed into position. Trial femur was then placed into position followed by the trial tibia.
Poly was placed into position. The knee was then trialed through a full range of motion. The patellar stability was excellent. The full range of the knee was then obtained.
Trial components were then removed. The femur was cemented into position. Excess cement was then removed. The tibia was cemented into position. Excess cement was then removed. Poly was placed into position. The knee was then reduced and held in full extension with a bump under the ankle.
The patella was then cemented into position. Excess cement was removed and was held with a patellar clamp. The clamp was then removed after cement hardened. Thorough lavage was given.
The injection was given. Medial parapatellar arthrotomy was closed, and the remainder of the wound was closed in layers. Sterile dressing was then applied over the wound. The tourniquet was let down, and the patient was transferred to the postoperative care unit in stable condition.


Preoperative X-ray of the left knee showing AP and lateral views.
The patient had an unremarkable recovery postoperative. She was able to walk with support on the same day. Sutures inspected on subsequent visits were clean, dry and intact. Sutures were removed when the wound healed. She was started on aspirin 326 BID for deep vein thrombosis (DVT) prophylaxis. On subsequent visits, her pain score on the left knee was 0/10 and a reduced pain on the right knee secondary to offloading.
The patient was enthusiastic about the success of the surgery. She was able to return to the activities she enjoyed. She was happy that she was able to take her grandkids for drives and play with them without the apprehension of pain and stiffness.

