A 56-year-old female presented to our office with complaints of worsening left groin pain and limp. She stated she had left hip pain since she was a child and was treated with a spica-cast and brace as a child in the Dominican Republic.
The pain was better as a child but she had a limp, for which she was using a shoe raise. Over the years, she started noticing pain in the left groin but didn’t seek medical attention. In the past five years, the pain worsened and she was unable to walk for more than 5 blocks. She used a cane for ambulation.
She went to different physicians who advised her hip replacement but told her she was too young to undergo hip replacement surgery. She received hip cortisone injections and received physical therapy but with minimal relief.
The pain was severe in intensity (8/10) located in the left groin and radiating to the left knee. She described the pain as a dull ache. The pain was especially worse on activities such as getting up from a chair, walking, bending and navigating stairs. The limp was worse with the increasing intensity of pain.
She was working as an assistant to a podiatrist and currently out of work secondary to pain. She was the firstborn child and gave a history of a difficult childbirth. She had no family history of hip disorders. She distressed with her limited mobility and increasing hip stiffness interfering in her daily activities.
She was a nonsmoker and nondrinker. She had no known drug allergies. She had a history of treatment for psoriasis in the past. Currently she was taking Lipitor for dyslipidemia and Toprol XL for hypertension. She had a hysterectomy done 15 years ago for uterine fibroids.
On physical examination, she had an antalgic gait with a lurch towards the left side. The stance phase was decreased on the left side. There was no exaggerated lumbar lordosis. There was mild functional scoliosis with convexity towards the right side which disappeared on bending forward.
The right anterior superior iliac spine was at a lower level on standing with both feet on the ground. There was mild atrophy of the buttock on the left side. Both the patella and medial malleolus were at the same level.
On the supine examination, the left anterior superior iliac spine was at a higher level than the right side. On squaring the pelvis, both the apparent and true shortening was similar of 2 cms. There was no fixed adduction or flexion deformity, but the abduction, extension and internal rotation were moderately restricted.
The skin overlying the left groin was normal with no scar marks or sinus tracts. There was no swelling in the left groin or any bony swelling in the left buttock. The left trochanter was at a higher level than the right side on digital palpation. There was no broadening or thickening of the trochanter.
The telescopic test of the left hip was negative and straight leg raise was positive with pain in the left hip. The examination of the right hip, bilateral knee and ankles were normal. There was no distal neurological deficit and bilateral pulses were palpable and comparable.
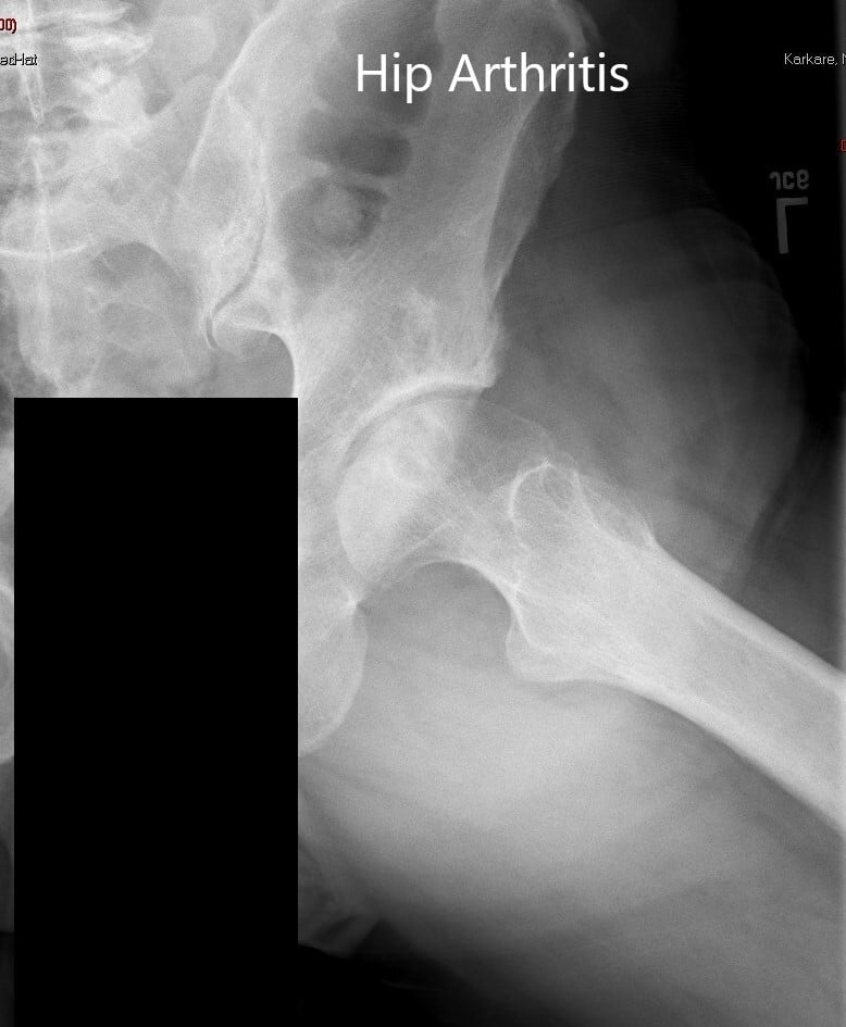
Imaging revealed severe osteoarthritis of the left hip with subchondral cysts, sclerosis, and osteophytes. The left acetabulum was shallow with a shortened left femoral neck.
After careful consideration of the patient’s condition, she was advised robotic left total hip replacement. Risks, benefits, and alternatives were discussed with the patient at length. She denied any recent intake of immunosuppressants and anticoagulants. She agreed to go ahead with the procedure.

Preoperative X-ray of the pelvis showing AP view of the pelvis with both hips.


Preoperative X-ray of the left hip in AP and frog-legged lateral views.
OPERATION: Robotic left total hip arthroplasty.
IMPLANTS USED: Acetabular shell 62 mm with 10-degree poly 36 mm with 127-degree neck stem size 6 with a ceramic head, 36-mm +O.
DESCRIPTION OF PROCEDURE: The patient was brought to the operating room after obtaining informed consent finding the correct surgical site. The risks, benefits, and alternatives were extensively discussed with the patient as well as with his wife prior to the procedure.
The patient was brought to the operating room and anesthesia was obtained by the anesthesiologist. The patient was then definitively positioned with the left hip up and the left hip was then draped and prepped in the usual sterile manner. A curved incision centered over the greater trochanter was used for the arthrotomy.
Skin and subcutaneous tissues were incised. The fascia was then divided. The posterior soft tissue structures were then taken down and tagged for future repair. The hip was then dislocated. Lesser trochanter to the center distance was measured and the neck resection was made at the correct level.
The head was removed. Attention was then turned towards the acetabulum. Acetabular exposure was obtained. On dissection of the inferior part of the acetabulum, bleeder was encountered. Because of the significant bleeder, vascular was called in. The vascular surgeon ligated the bleeder and control of the bleeding were achieved.
After the bleeding was controlled, the remainder of the labrum was then debrided. The acetabulum was then reamed and the final shell was placed into position in the correct abduction and anteversion using the robotic arm.
Before starting the procedure, three pins were placed into the iliac crest and the robotic sensors were placed over the pins in the iliac crest. There was also an EKG lead attached to over the anterior part of the patella for registration. Before the dislocation, a probe was placed over the greater trochanter and after the acetabular dissection, a probe was placed over the superior acetabulum for registration.
After the cup was inserted, excellent stability was achieved. It was not necessary to use a screw. A poly was then placed over the cup. Attention was then turned towards the femur. The femur was then sequentially broached. The final broach was left into position along with the head. The lesser trochanter to the center measurement was taken and was found to be correct.
The hip was then relocated, trialed through a full range of motion and excellent stability was achieved . Robotic measurements were compared with intraoperative measurements and it was in acceptable alignment and length. The hip was then dislocated. The final components were then placed into position.
The lesser trochanter distance was found to be correct. The tip of the greater trochanter to the center of the head was also found to be correct according to preoperative evaluation. Through lavage was given.
After the lavage, the drill holes were made at the greater trochanter and posterior soft tissue structures were then tacked to the greater trochanter through transosseous tunnels. The fascia was closed with Ethibond. Cutaneous tissues were closed with 0 Vicryl. Subcuticular tissues were closed with 2-0 Vicryl. The skin was closed using staples.
The external fixator pins over the iliac crest within the wound. Deep tissue was closed with 0 Vicryl. Subcuticular tissues were closed with 2-0 Vicryl. The skin was closed using staples. Sterile dressings were then applied over the wound. The patient was then transferred to the preoperative care unit in stable condition.


Postoperative X-ray of the left hip showing the AP and lateral views.
She had an excellent recovery post-op. Her vitals remained stable and she had no distal neurological deficit. She was advised hip precautions and aspirin was given for deep vein thrombosis prophylaxis.
Weight-bearing was allowed as tolerated and sutures were removed post-op day 14 uneventfully. Physical therapy was started to strengthen the muscles. Three months post-op she regained full movements and reported zero pain. She was walking without the support and extremely happy with the outcome. She follows up as needed.
Disclaimer – Patient’s name, age, sex, dates, events have been changed or modified to protect patient privacy.


