Estudio de caso: Reemplazo primario de rodilla navegado por computadora
Una señora de 59 años que fue atendida en nuestra clínica como paciente nueva de su rodilla derecha. Ella describe tener dolor en la rodilla que ha durado casi 2 años en el momento en que la vimos, y aunque lleva un estilo de vida relativamente sedentario, ha notado aumentos significativos en sus niveles de dolor en los últimos 6 meses. Ella trabaja como bibliotecaria en un pueblo pequeño, y ha notado que incluso moverse por la biblioteca es problemático, especialmente hacia el final del día.
Su médico de cabecera le había recetado medicamentos antiinflamatorios que le habían ayudado un poco, y aunque no había intentado ninguna fisioterapia, había comprado rodilleras que usa en el trabajo todos los días. Aunque ayudaron inicialmente, ella ya no siente que sean efectivos.
Su historial médico fue significativo para la psoriasis, la ansiedad y la cirugía previa de la vesícula biliar. Ella tiene alergia a la penicilina y es una ex fumadora, habiendo dejado de fumar hace 2 décadas.
Su examen de rodilla no fue notable, aunque estaba visiblemente incómoda durante el mismo. Sus radiografías revelan osteoartritis en varo con enfermedad posterior significativa en comparación con más anterior.
Le explicamos a la Sra. JN que probablemente requeriría un reemplazo de rodilla para aliviar sus síntomas, ya que las modalidades normales no quirúrgicas se han vuelto ineficaces para ella. Ella estuvo de acuerdo y consintió en un reemplazo total de rodilla. Le explicamos que usaríamos una técnica conocida como navegación, con una computadora que nos ayudaría a completar el procedimiento.
Durante su cirugía, utilizamos un instrumento especial diseñado para ayudar a la computadora a construir una imagen 3D de su rodilla. Una vez que la imagen se completa con suficientes puntos de referencia, la computadora se comunica con sensores en otros instrumentos que nos dicen la posición exacta y la orientación en la que deben estar las guías de corte para que los cortes óseos se alineen con precisión.
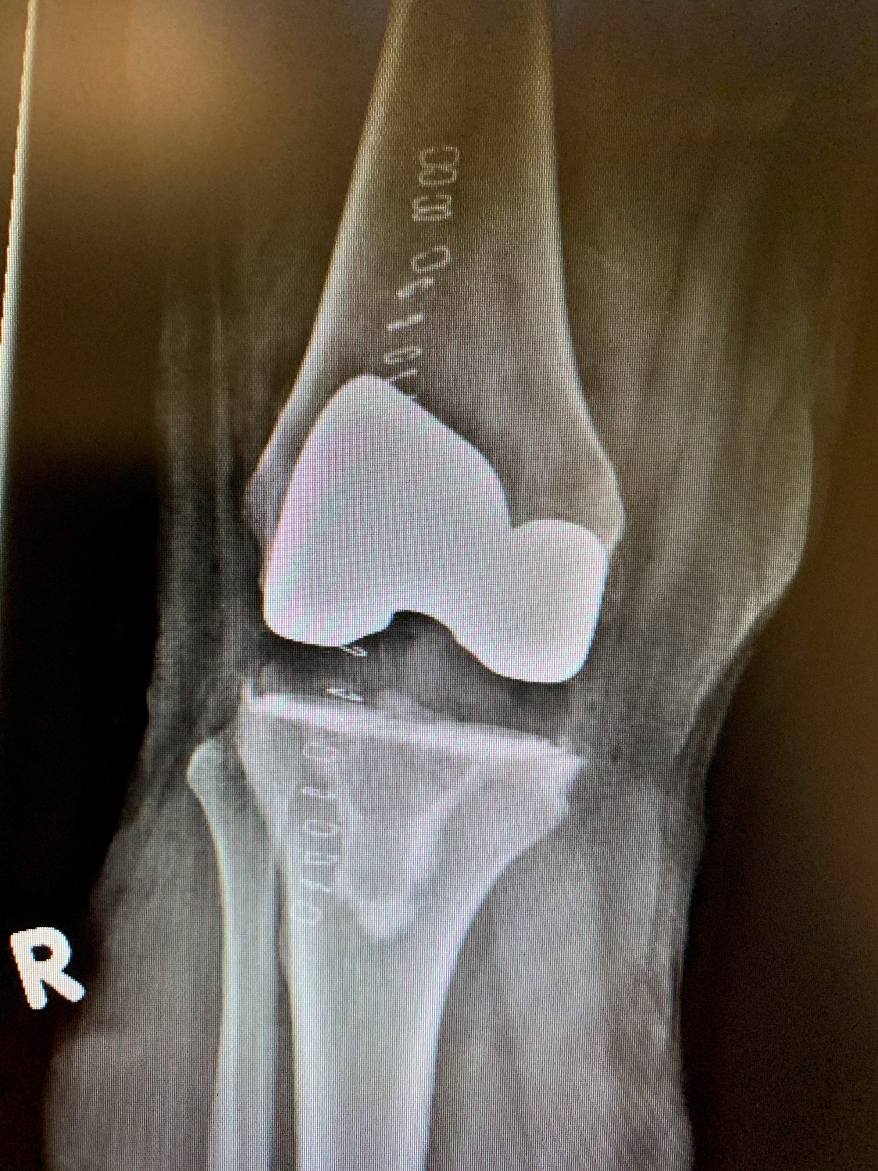
Completamos su reemplazo de rodilla con la ayuda del sistema de navegación por computadora. Se recuperó bien y salió del hospital el día después de su cirugía.
Ella recuperó la mayor parte de la fuerza de su rodilla dentro de los 3 meses de su cirugía, y todavía está feliz con cómo se siente su rodilla 2 años después de que se realizó su reemplazo.
Preoperatorio
Postoperatorio


