Tanto la meniscectomía como la condroplastia son tratamientos médicos utilizados para tratar lesiones de rodilla. La condroplastia es un procedimiento quirúrgico que consiste en reducir los colgajos inestables del cartílago para suavizar el cartílago degenerativo y estabilizar los defectos condrales.
La meniscectomía es un tratamiento ortopédico popular utilizado para aliviar el malestar de rodilla cortando los colgajos inestables de un menisco desgarrado y estableciendo un menisco remanente estable.
Un paciente masculino de 50 años acudió a la consulta para el seguimiento, pero se quejó del dolor en la rodilla derecha. También tiene cicatrices en el UL de los accidentes de tráfico. Al examinar la columna lumbar, el paciente es sensible a la palpación sobre la musculatura paraespinal (la musculatura paraespinal, que son los músculos que rodean y se unen a la columna y son los responsables de mover y estabilizar la columna, que desempeñan un papel vital para trabajar correctamente la columna y el cuerpo).
No tienen sensibilidad sobre los procesos espinosos y no presentan crepitación en el rango de movimiento, pero tiene un rango de movimiento limitado de la columna debido a las molestias.
También tiene una prueba negativa de elevación de pierna recta y una palpación no sensible sobre la bursa trocantera y la cadera. No presenta hinchazón de tejidos blandos ni equimosis, el paciente tiene rango completo y movimiento estable de las caderas. Tienen una fuerza de 5/5 y están neurovascularmente intactas distalmente. No presenta eritema, calor ni lesiones cutáneas.
La columna cervical del paciente es la misma que la columna lumbar, la diferencia es que la prueba de Spurling negativa se sitúa con la escápula prolongada y deprimida.
Es sensible a la palpación sobre el trapecio y los romboides, así como la clavícula y el codo. El paciente tiene rango y estabilidad de movimiento completo de los hombros, tiene una fuerza de 5/5 y está neurovascularmente intacto distalmente.
Como continuación del examen, la rodilla izquierda del paciente, la herida CDI tiene una fuerza de 5/5 y neurovascularmente intacta distalmente. No presenta eritema, calor ni lesiones cutáneas.
Mientras que la rodilla derecha del paciente tiene una palpación sensible a lo largo de la línea articular medial y lateral. No son sensibles a la palpación a lo largo de las facetas medial y lateral de la rótula. Le incomodan las maniobras de McMurray y la rodilla está estable.
En la historia clínica, el paciente fue sometido a una meniscectomía postparcial, medial; meniscectomía parcial, lateral; condroplastia, cóndilo femoral medial; condroplastia, articulación patelofemoral; Inyección de Depo-Medrol en la rodilla realizada hace un mes, una cirugía en la lesión del plexo braquial derecho y artrodesis en la muñeca izquierda. También ha estado usando un Weight Bearing as Tolerated (WBAT) con una muleta y haciendo fisioterapia.


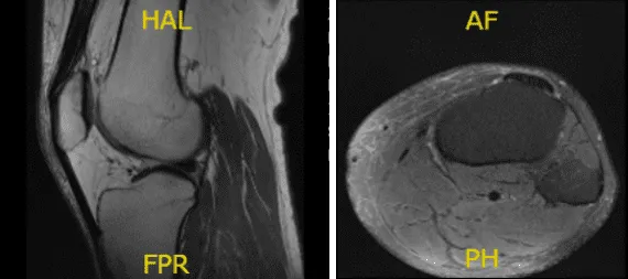
Resonancia magnética realizada y revisada por el médico. Se demostró que la rodilla izquierda del paciente está intacta en el menisco medial y lateral y no presenta lesión ósea aguda, pero sí un pequeño derrame articular. La troclea central presenta una fisura condral focal y fibrilación en la porción media del cóndilo femoral medial.
Sin embargo, la rodilla derecha del paciente previo, meniscectomía lateral parcial con diminuto cuerno anterior con una re-rotura en el cuerpo del menisco lateral. Debido a la extrusión del cuerpo, el menisco lateral causa osteoartritis tricompartmental demasiado leve a moderada con un derrame articular pequeño.
La radiografía de la rodilla izquierda que termina con rótula muestra que no hay fracturas agudas ni cambios degenerativos significativos, mientras que la rodilla derecha no tiene fracturas pero sí cambios degenerativos osteoartríticos leves.
Tras obtener los resultados, el médico responsable habló sobre las opciones de tratamiento para el diagnóstico de rodilla derecha del paciente, que incluían: vivir con la extremidad tal cual, ejercicios organizados, medicamentos, inyecciones y opciones quirúrgicas. El médico habló sobre la naturaleza y el propósito del tratamiento, así como los riesgos y beneficios esperados.
El paciente expresó su deseo de proceder con la cirugía, el médico le informó sobre el riesgo inherente e inevitable que puede ocurrir, pero no se limita a: anestesia, infección, daño en nervios y vasos sanguíneos, pérdida de sangre, coágulos de sangre e incluso la muerte.
El médico también le explicó la posibilidad de no poder volver a sus actividades o empleos anteriores, la necesidad de una futura cirugía y el síndrome de dolor regional complejo.
La posibilidad de no poder aliviar todo el malestar y no hay garantía de que la fuerza o el dolor funcionen normalmente. El paciente comprende que suele seguir al procedimiento quirúrgico un largo proceso rehabilitador y los riesgos de nuevo desgarro o de no curar.
También entiende que se pueden utilizar implantes durante la cirugía. Sin embargo, aún así elige someterse a la operación aunque sepa lo arriesgada que fue.
Se indujo anestesia general al paciente y se aplicó torniquete en la parte baja del muslo izquierdo. Se realizó un drapeado y un vendaje separados con restos y se encontraron muchos restos en la articulación de la rodilla. Había artritis patelofemoral.
Había deshilachado en el borde interno del menisco medial. Había daño de OA grado 1 a grado 2 en el cóndilo femoral. El menisco estaba desbridado hasta un margen estable. Se realizó una condroplastia en el cóndilo femoral medial.
El endoscopio se introdujo en la muesca intercondilar y se introdujo en el cóndilo femoral lateral, encontrando deshilachamiento del margen interno del menisco lateral junto con la pequeña rotura. Se realizó una meniscectomía parcial del borde interno.
La atención se centró en la articulación patelofemoral donde había daño osteocondral, de grado 1 a grado 2 en la superficie articular medial de la rótula. Estaba desbridada hasta un margen estable. Había un gran daño osteocondral, de grado 2 a grado 3 sobre la troclea, que también se desbridó. Se tomaron las fotos finales.


Tras una semana, el paciente presentó secreción de la rodilla derecha con un dolor mínimo. Dos semanas después de la cirugía de la rodilla derecha con dolor mínimo, le recetaron Keflex 500 mg para tomar como analgésicos que necesitaba.
También se le recomendó usar WBAT y rango para consolar, y ha decidido hacer fisioterapia formal así como un programa de ejercicios en casa para la rehabilitación de la rodilla. El paciente usará muletas, CPM y paquete de terapia con frío. El paciente había retirado las suturas él mismo y colocado tiras de steri en la herida.
Tras otra semana de tratamiento, está mejorando pero aún no ha empezado la fisioterapia de la rodilla derecha. Su rodilla izquierda va bien y ha conseguido buen rango de movimiento. Sin secreción, fiebre, escalofríos. Los pacientes seguían regularmente una visita a la consulta cada 3-4 semanas. El paciente se recuperó bien tras la cirugía y continuó la fisioterapia.
Aviso legal – El nombre, edad, sexo, fechas y eventos del paciente han sido modificados o modificados para proteger su privacidad.

