Mediante cirugía, los fragmentos de un hueso fracturado se fijan juntos mediante una reducción abierta y fijación interna (ORIF). El hueso destrozado se mantiene unido mediante varillas, tornillos, placas, suturas u otros dispositivos.
Decidir si puedes tratar tu lesión en casa o si necesitas acudir al médico es uno de los primeros pasos. Acude a un centro de urgencias ortopédicas si tienes la muñeca doblada de forma antinatural o la mano entumecida. Está bien esperar para visitar al médico y cuidar tu muñeca en casa si crees que está torcida.
Un paciente de 69 años estaba en nuestra consulta con quejas sobre dolor y deformidad en la muñeca derecha. Allí le pusieron una férula de azúcar y ahora está en Nueva York. Ella sufrió el dolor por la caída. Para los factores agravantes, el paciente informa de empujes/tirones y de carga de peso.
En cuanto a los síntomas asociados, informó de debilidad, hinchazón, sensibilidad al tacto y dolor al moverse, pero no informó entumecimiento, hormigueo, enrojecimiento, calor, equimosis, bloqueo/atrapamiento, chasquido, pandeo, rechinación, inestabilidad, radioterapia, drenaje, fiebre, escalofríos, pérdida de peso y cambios en los hábitos intestinales o urinarios.
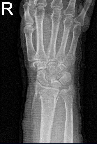
El paciente presentó un resultado de resonancia magnética que contenía fractura de Colles con angulación dorsal.

Radiografía de la muñeca derecha 3 o más vistas
Hablamos sobre las opciones de tratamiento para el diagnóstico del paciente, que incluían opciones no quirúrgicas y quirúrgicas. También discutimos la naturaleza y el propósito de las opciones de tratamiento, así como los riesgos y beneficios esperados.
Informé al paciente sobre los riesgos inherentes e inevitables que incluyen, pero no se limitan a, anestesia, infecciones, daños en nervios y vasos sanguíneos, pérdida de sangre, coágulos e incluso la muerte, que se discutieron en detalle.
También hablamos sobre la posibilidad de no poder volver a actividades o empleos anteriores, la necesidad de cirugías futuras y el síndrome de dolor regional complejo. El paciente también entiende que suele seguir al procedimiento quirúrgico un largo proceso de rehabilitación.
Hablamos de la posibilidad de no poder aliviar todo el malestar. Además, expliqué que no hay garantía de que toda la función y la resistencia vuelvan a funcionar. El paciente también comprende los riesgos de una nueva rotura o de no curar. El paciente entiende que durante esta cirugía pueden utilizarse implantes.
El paciente expresó comprensión de estos riesgos y ha decidido proceder con la cirugía. Hemos hablado del procedimiento quirúrgico así como de las expectativas realistas respecto a los riesgos, los resultados y el protocolo postoperatorio.
El paciente fue trasladado al quirófano, donde se le indujo anestesia general. El paciente fue colocado con la mano derecha sobre la mesa de mano. La extremidad superior derecha estaba preparada y colocada asépticamente de la manera habitual. Se aplicó torniquete. El tiempo del torniquete fue de 58 minutos para el procedimiento.
Ya se había administrado un antibiótico preoperatorio. La incisión se realizó desde el tendón del flexor del carpo radial. La incisión bajó hasta la vaina tendinosa y la vaina anterior del flexor del carpo radial se cortó en la línea de la incisión. El tendón se reflejó medialmente y también se cortó.
El pronador cuadrado quedó expuesto y cortado en línea con la incisión. Se usaron elevadores periostales y Freer para elevar el músculo desde el radio distal, donde quedaba expuesto el sitio de la fractura. La fractura fue malreducida.
La reducción de fractura se realizó mediante manipulación y uso del periosteo en el lugar de la fractura. Hubo que eliminar algunos callos blandos y huesos. El lugar de la fractura fue abierto y limpiado con el uso de curette. El lugar de la fractura fue lavado a fondo.
Todas las piezas se afeitaron, mordecían y mezclaban con Vitoss para usarlas más adelante. Había una cavidad de fractura en el lugar de la fractura. La fractura fue reducida y sujetada con el K-wire. La placa se colocó sobre la superficie volar y se sujetó con cables K y se comprobó que estaba en la posición aceptable.
La placa estaba fijada proximalmente con los tornillos de bloqueo. También se utilizó un tornillo de bloqueo distal para tirar de la herida hacia la placa, encontrándola en una posición aceptable. La fijación final de la placa se realizaba utilizando tornillos de bloqueo distales y tornillos de bloqueo no bloqueados proximalmente.
El tornillo antibloqueo distalmente también fue retirado y cambiado por el tornillo de bloqueo. Antes de la fijación, el Vitoss mezclado con fragmentos óseos estaba empaquetado en la cavidad fracturada. Las heridas fueron completamente irrigadas y se logró la hemostasia. Se lanzó el torniquete.
Se utilizó cirugía para lograr la hemostasia. El cierre se hizo en capas usando Vicryl #2-0 para la subcu y Monocryl #3-0 para la piel. El apósito se hizo con Xeroform, 4 x 4, Webril. Se aplicó férula de brazo corto junto con las férulas volar y dorsal, aplicando una venda Ace. El paciente fue extubado y trasladado a recuperación en estado estable.
El paciente fue atendido para un chequeo postoperatorio. Hemos decidido hacer fisioterapia formal así como un programa de ejercicios en casa para la rehabilitación de la muñeca. Los pacientes seguían regularmente una visita a la consulta cada 3-4 semanas.
El paciente se recuperó bien tras la cirugía y continuó la fisioterapia. La paciente se registró para una revisión después de un mes y notó una mejora significativa en la muñeca.
Aviso legal – El nombre, edad, sexo, fechas y eventos del paciente han sido modificados o modificados para proteger su privacidad.

