Se realiza una operación llamada meniscectomía para reparar un menisco lesionado. Un componente cartílago llamado menisco ayuda en el correcto funcionamiento de la rodilla. El menisco lateral se encuentra en la parte externa de cada rodilla y tiene dos de ellos.
Las roturas del menisco pueden causar molestias persistentes en la rodilla, sensación de que la rodilla está cediendo y limitaciones en cómo puedes moverla. La artrosis en la rodilla dañada puede ser más propensa a aparecer.
Un hombre de 28 años estaba en nuestra consulta con quejas de dolor en el cuello, la espalda, la pierna derecha y el brazo derecho. Recuerda la lesión en el cuello, la espalda, la pierna derecha y el brazo derecho causada por un accidente de tráfico. El dolor es de intensidad moderada a intensa. Pero describió el dolor como agudo y punzante.
El dolor está asociado a entumecimiento, hormigueo y dolor irradiado en la extremidad superior e inferior derecha (no dermatomal). Caminar, estar de pie, levantar pesas, hacer ejercicio, usar las escaleras y sentarse empeora los síntomas. La medicación para el dolor mejora los síntomas. Lleva años con un simulador de colocación en la parte baja de la espalda. Es alérgico a los antibióticos, la penicilina, la sulfa y la diciclomina.
Al examinar la rodilla derecha, el paciente es sensible a la palpación a lo largo de las facetas medial y lateral de la rótula. Presentan crepitación en la articulación patelofemoral con rango de movimiento y molestias en la prueba de rechinación rotuliana. El paciente no siente molestias con las maniobras de McMurray, y la rodilla es estable pero tiene un rango de movimiento limitado.
Después de una semana me visitó y me contó que había caído hace 5 días cuando su rodilla derecha cedió, tras lo cual se lesionó la derecha. Le hicieron radiografías de la rodilla derecha. Cojea por el dolor. Las actividades empeoran el dolor. Ha estado poniendo hielo y elevando, lo cual ayuda. Su movimiento está restringido.

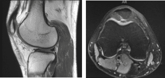
MRI-3T Rodilla derecha sin contraste
En los resultados de la resonancia mostró derrame de trazas articulares y condromalacia rotuliana mínima. Resonancia magnética sin importancia de la rodilla derecha.
Hablamos sobre las opciones de tratamiento para el diagnóstico del paciente, que incluían vivir con la extremidad tal cual, ejercicios organizados, medicamentos, inyecciones y opciones quirúrgicas. También discutimos la naturaleza y el propósito de las opciones de tratamiento, así como los riesgos y beneficios esperados.
Informé al paciente sobre los riesgos inherentes e inevitables que incluyen, pero no se limitan a, anestesia, infecciones, daños en nervios y vasos sanguíneos, pérdida de sangre, coágulos e incluso la muerte, que se discutieron en detalle.
También hablamos sobre la posibilidad de no poder volver a actividades o empleos anteriores, la necesidad de cirugías futuras y el síndrome de dolor regional complejo. El paciente también comprende los riesgos de una nueva rotura o de no curar.
También hablamos sobre el procedimiento quirúrgico, así como las expectativas realistas respecto a los riesgos, los resultados y el protocolo postoperatorio. Plan: Exploración artroscópica de la rodilla, condroplato de fascite plantar y todos los procedimientos indicados.
El paciente fue llevado al quirófano, donde lo colocaron sobre la mesa de operaciones bien acolchada. Se indujo anestesia general. La rodilla derecha estaba preparada y colocada de forma aséptica de la manera habitual. El torniquete se aplicó en la parte baja del muslo. Se aplicó una Esmarch que incluía 2,50. Se administró antibiótico preoperatorio.
Sacamos al paciente con torniquete 2,53. Lateralmente se realizó un portal de trabajo con una incisión de 2,58. El examen de la articulación patelofemoral mostró artritis y la superficie posterior de la rótula, así como en la troclea. El examen del espacio articular medial mostró artritis cóndila femoral medial, grado 2 a grado 3. El hallazgo del femelofemoral también fue de grado 3.
El telescopio se trasladó a 3.26 y se encontró intacto. Se examinó el compartimento lateral y se encontró una ruptura del menisco lateral, margen medial. El portal de entrada medial se realizó con acceso directo al cóndilo lateral mediante una aguja espinal. El menisco lateral fue recortado con una maquinadora.

Imágenes de artroscopia intraoperatoria
También se realizó condroplastia de la articulación patelofemoral y cóndilo femoral medial usando afeitadora. La rodilla estaba completamente irrigada. El cierre se realizó con nylon 4-0 y 3-0. Se realizó una inyección de 80 mg de Depo-Medrol y 19 mL de xilocaína. El vendaje se hizo usando 4 x 4, ABD, Webril y ACE wrap. El paciente fue extubado y trasladado a la zona de recuperación en estado estable.
El paciente fue atendido para un chequeo postoperatorio. Hemos decidido realizar fisioterapia formal así como un programa de ejercicios en casa para la rehabilitación de la rodilla. Seguiremos utilizando la movilización temprana y la profilaxis mecánica para reducir las probabilidades de una trombosis venosa profunda.
El paciente seguía regularmente una visita a la consulta cada 3-4 semanas. El paciente se recuperó bien tras la cirugía y continuó la fisioterapia. El paciente se registró para una visita de seguimiento después de un mes y notó una mejora significativa en la rodilla.
Aviso legal – El nombre, edad, sexo, fechas y eventos del paciente han sido modificados o modificados para proteger su privacidad.

