Si las piezas de rótula no entran en la piel, se considera que una fractura de rótula está cerrada. Las fracturas abiertas de la rótula provocan heridas complejas porque los huesos sobresalen a través de la piel. La mayoría de las fracturas de rótula son cerradas, lo que significa que la rótula no penetra la piel.
La paciente, una mujer de 73 años, fue diagnosticada con una fractura desplazada de la rótula del lado derecho tras el examen médico hace aproximadamente un mes. Recibió cuidados conservadores mientras llevaba una rodillera.
Ella puso mucho esfuerzo en su casa, especialmente durante las inundaciones, y en el proceso desalojó la fractura de rótula. Cuando la vi de nuevo en mi consulta, descubrimos que tenía una fractura de rótula dislocada.
Hablamos sobre opciones de tratamiento y optamos por el manejo quirúrgico. Tenía hipertensión no controlada y no había visto a su médico de cabecera en años. Le pidieron que recibiera atención médica, lo que nos llevó unas tres semanas. Cuando terminó, le programaron cirugía.
Hablamos sobre los riesgos, beneficios y complicaciones de la cirugía, incluyendo infección, sangrado, lesiones en los nervios y vasos sanguíneos adjuntos, fallo, necesidad de repetir la cirugía, necesidad de rehabilitación, artritis y la necesidad de retirar implantes y reemplazar la rodilla en el futuro, complicaciones sistémicas como coágulos sanguíneos, complicaciones cardíacas y pulmonares incluyendo la muerte. El paciente entendió y firmó el consentimiento informado.

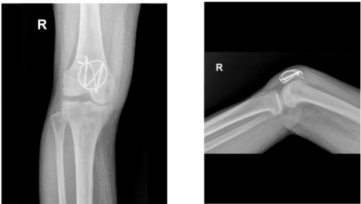
Imagen de rayos X rodilla derecha
El paciente fue llevado al quirófano y colocado sobre una mesa de operaciones resistente. Se indujo anestesia durante todo el proceso. El torniquete estaba enrollado alrededor del muslo. La extremidad inferior derecha se preparó como de costumbre y se vendó aséptica. Se anunció una pausa.
Se administró un antibiótico antes de la cirugía. Desde 2 cm proximal hasta 2 cm distal a la rótula, se realizó una incisión longitudinal, centrada sobre la rótula. La disección aguda permitió que la exposición penetrara hasta el hueso. Se hizo una ruptura.
Abrir el sitio de fractura permitió un riego completo. Se realizó un riego exhaustivo tras el artrotomo de rodilla. Hasta el tendón del cuádriceps y el tendón rotuliano a ambos lados, se veía el periostio de la rótula. Con una cureta, la fractura fue limpiada a fondo.
La fractura recibió un riego exhaustivo. La fractura se redujo y aseguró con una pinza. Tras crear una corta incisión vertical en el tendón rotuliano, se transfirieron dos hilos K del hueso distal al proximal una vez que la fractura estuvo firmemente estabilizada. Tras medir los cables K, se colocaron dos tornillos cancellados con canulación sobre los cables K para lograr la fijación.
La superficie rotuliana anterior se perforaba haciendo un ocho con un alambre de acero inoxidable calibre 18 tras haber sido enroscado a través de los dos tornillos. Los alambres estaban atados de forma muy lateral con un nudo que estaba asegurado.
Debido a la osteoporosis, hubo algo de cominución y el tornillo lateral se movió proximalmente por el alambre. Se volvió a aplicar un cableado de cerclaje al cable de calibre 18 para soportar la fijación. Se alcanzó una fijación satisfactoria una vez terminado el cerclaje y el nudo se apretó súper lateralmente.
La rodilla podía moverse cómodamente de 0 a 60 grados. Se realizó un riego y drenaje exhaustivos de la rodilla. Tras la contracción con vancomicina, el cierre se hizo en capas. Se utilizaron Vicryl 4-0 y 2-0 para el cierre, junto con grapas.
Con la ayuda de Xeroform, ABD, Webril y Ace wrap, se completó el vendaje. Se le pusieron una rodillera. Tras ser extubado, el paciente fue trasladado a la sala de recuperación en estado estable.
La paciente acudió a la consulta para su visita postoperatoria con radiografías de la rodilla derecha. Lleva un inmovilizador de rodilla, niega fiebre y tiene escalofríos. Ella camina con una férula bloqueada en extensión sin ayuda.
Tras el examen discutimos opciones de tratamiento como fisioterapia, resonancia magnética, inyección, cirugía y acordamos optar por un manejo conservador por ahora. Continúa usando inmovilizador de rodilla, extensión bloqueada cuando esté fuera de la obsesión, movimiento suave de rodilla de 0 a 60 grados según tolere, hielo/calor, elevación y toma antiinflamatorios de venta libre. El paciente hace un seguimiento tras 5 semanas y puede empezar la fisioterapia en ese momento.
Un mes después de la cirugía, el paciente fue dado de alta. Está haciendo fisioterapia ambulatoria y en casa, y está mejorando poco a poco, y el médico le aconsejó que puede acudir a la consulta si es necesario.
Aviso legal – El nombre, edad, sexo, fechas y eventos del paciente han sido modificados o modificados para proteger su privacidad.

