La cirugía de liberación lateral de la rodilla es un procedimiento artroscópico que consiste en tres pequeñas incisiones en la rodilla. La liberación lateral es una operación artroscópica utilizada para ayudar a tratar el problema de seguimiento de la rótula causado por un retináculo lateral tenso. Para permitir que la rótula siga correctamente, el retináculo lateral se «libera» o se separa.
La paciente es una mujer de 31 años, que fue atendida en la consulta con molestias de dolor patelofemoral en la rodilla derecha durante varios meses. Ha probado a gestionar de forma conservadora pero no tiene alivio.
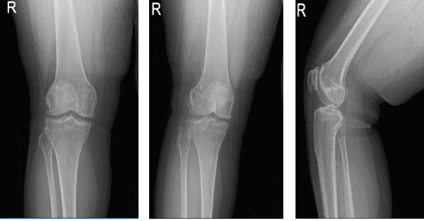
Se realizaron radiografías, el fémur distal, la rótula, la tibia proximal y el peroné proximal demuestran márgenes corticales intactos sin fractura aguda. Los espacios de la articulación medial, lateral y patelofemoral están bien mantenidos. Hay una formación leve de osteófitos mediales. Hay una formación leve de osteófitos patelofemorales.
No hay evidencia radiográfica de derrame articular. No hay evidencia radiográfica de hinchazón de tejidos blandos. La impresión es que hay cambios degenerativos osteoartríticos leves. No hay fracturas agudas.
Que mostró una inclinación lateral de la rótula hacia la troclea junto con artritis patelofemoral avanzada con artritis compartimental medial leve. Además, se realizó la resonancia magnética para confirmar los hallazgos.

Rayos X de rodilla derecha AP Vistas laterales y oblicuas 3

MRI-3T Rodilla derecha sin contraste
Se discutieron con el paciente las opciones de tratamiento, incluyendo tratamientos quirúrgicos y no quirúrgicos. El paciente optó por el manejo quirúrgico. Hablamos de liberación lateral junto con condroplastia. También hablamos de que esto podría darle cierto alivio temporal durante unos meses o años.
Puede que necesite una cirugía de reemplazo de rodilla en el futuro. Hablamos sobre riesgos y beneficios , incluyendo infecciones, hemorragias, lesiones en nervios y vasos adyacentes, hinchazón de la rodilla, necesidad de aspiración, no alivio del dolor de rodilla, necesidad de rehabilitación, fisioterapia y necesidad de reemplazo de rodilla en el futuro, entre otros.
El paciente lo entendió y firmó un consentimiento informado.
El paciente fue trasladado al quirófano, donde se le indujo anestesia general. Me administraron antibióticos preoperatorios. Se aplicó torniquete en la parte superior derecha del muslo. Se aplicó Esmarch y se elevó el torniquete. La extremidad inferior derecha estaba preparada y colocada asépticamente de la manera habitual.
Se pidió tiempo muerto. Se realizó una incisión sobre la región paravertebral central para la entrada del artroscopio. Se introdujo un artroscopio y se examinó la rodilla. Se realizó un portal de entrada medial con el uso de una aguja espinal.
El examen mostró menisco medial y lateral intactos, así como compartimentos medial y lateral intactos. Hubo cambios osteoartríticos de grado 3 a 4 tanto en la troclea como en la rótula. La superficie lateral de la rótula estaba desnudada de cartílago.
Había un osteófito sobre el cóndilo femoral medial que fue extirpado con el uso de afeitadora y muebla. Se usaba Shaver para realizar condroplastia. La varita de coblación también se utilizaba para realizar la condroplastia. Se podía observar el maltracking rotuliano. Se tomó la decisión de liberación lateral.
Se accedió al artroscopio por el portal medial y la varita de coblación por el portal lateral. La liberación lateral de la cápsula se realizó desde proximal hasta distal. Todos los sangrantes estaban cauterizados. El torniquete se liberó al final del procedimiento. No hubo sangrado activo.
La frontera también fue cortada y drenada. No hubo sangrado activo. La rodilla fue irrigada a fondo y drenada. El cierre se hizo usando nylon #3-0. Se inyectó marcaína 9 cc mezclada con 1 cc de 40 mg de Depo-Medrol en la rodilla.
El vendaje del paciente se realizó usando 4×4, ABD, Webril y Ace wrap. El paciente fue extubado y trasladado a recuperación en estado estable.

Foto intraoperatoria
Tras una semana, la paciente fue atendida en la consulta para sus visitas postoperatorias, está bien, niega fiebre, escalofríos, su dolor está bien controlado y está deambulando WBAT sin ayuda.
Tras discutir las opciones de tratamiento, hemos decidido proceder con fisioterapia formal así como con un programa de ejercicio en casa para la rehabilitación de la rodilla. Revisamos las imágenes artroscópicas y quitamos los puntos durante la visita de hoy.
Continuaremos con hielo y elevación de la rodilla para reducir la hinchazón y el dolor. Seguiremos utilizando la movilización temprana y la profilaxis mecánica para reducir las probabilidades de una trombosis venosa profunda. Reduciremos poco a poco cualquier medicamento narcótico y avanzaremos a antiinflamatorios y paracetamol, siempre que no haya contraindicaciones para estos medicamentos.
También hablamos sobre los riesgos, beneficios y efectos secundarios comunes de tomar estos medicamentos en la visita de hoy. Los veré de nuevo en tres semanas para evaluar su progreso.
Tras un mes, la paciente fue atendida para su revisión de seguimiento, así que acordamos optar por un manejo conservador por ahora. Está trabajando con fisioterapia y ha ido mejorando, pero empezó a tener dolor después de la última sesión por las pesas y está haciendo fisioterapia limitada en casa, como una bicicleta estática que puede ayudar a recuperarse.
Con la revisión de seguimiento continua, la paciente mostró progresos en ocasiones cuando visita la consulta. Se recupera tras la cirugía y con la ayuda de la fisioterapia continua.
Aviso legal – El nombre, edad, sexo, fechas y eventos del paciente han sido modificados o modificados para proteger su privacidad.

