La condroplastia es un procedimiento que consiste en suavizar el cartílago degenerativo y reducir colgajos inestables para estabilizar y tratar las lesiones condrales. Recortar los colgajos inestables de un menisco roto para crear un menisco remanente estable es lo que implica una meniscectomía parcial.
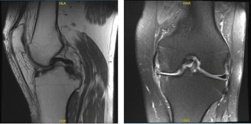
La paciente es una mujer de 57 años que ha sido vista varias veces por dolor en la parte interna de la rodilla izquierda. Habíamos hablado sobre alternativas terapéuticas. El tratamiento no quirúrgico en forma de fisioterapia y antiinflamatorios no benefició al paciente. Se realizó una resonancia magnética, que reveló un desgarro en el menisco medial así como una posible afectación de la raíz de la rodilla izquierda.
Examinamos alternativas de tratamiento y decidimos intervenir quirúrgica. Examinamos los riesgos, ventajas y problemas, que incluían infecciones, hemorragias, lesiones nerviosas y vasculares, la necesidad de repetir la cirugía, el desarrollo de artritis y la necesidad de un reemplazo total de rodilla, así como la necesidad de rehabilitación, entre otras cosas.
El paciente es fumador, y hablamos de dejarlo, especialmente si tuviéramos que hacer una reparación. El paciente lo encuentra difícil, pero tiene la intención de intentar dejar de fumar. También hablamos de preocupaciones sistémicas como coágulos sanguíneos, problemas cardíacos, pulmonares y neurológicos. El paciente comprendió y firmó un formulario de consentimiento informado.
El paciente fue trasladado al quirófano y recibido anestesia general. El paciente fue colocado en una cómoda mesa de operaciones. Como es costumbre, la rodilla izquierda fue preparada y colocada de forma aséptica. Luego se administraron 3 gramos de Ancef como antibióticos preoperatorios. Se emitió un tiempo fuera.
El artroscopio se insertó a través de una incisión parapatelar lateral. Durante un examen del compartimento patelofemoral se encontró alteraciones osteoartíticas de grado 2 en el borde superior de la parte posterior de la rótula.
El endoscopio se trasladó al compartimento tibiofemoral medial, donde se revelaron alteraciones osteoartriticas de grado 4 en la mayor parte del cóndilo femoral medial, así como una compleja ruptura a lo largo del cuerpo y el cuerno posterior del menisco medial.
Se utilizaba una aguja espinal para crear un orificio de entrada medial. La raíz se encontró intacta tras un examen de sondeo. Se decidió desbridar la rótula y el menisco usando una afeitadora y mordedores. Se obtuvo un equilibrio de margen. No hubo reparación.
Se tomaron y conservaron fotografías. Se encontró que el LCA estaba intacto cuando se examinó la muesca intercondilar. El compartimento tibiofemoral lateral reveló cartílago y menisco sanos.
Se examinó de nuevo el compartimento patelofemoral y se revelaron alteraciones osteoartíticas de grado 2 en la rótula, que estaban desbridadas con una afeitadora. El endoscopio se colocó a través del portal de entrada medial, y el menisco medial se reequilibró usando una afeitadora a través del portal lateral.
Las fotografías finales fueron tomadas y conservadas. La rodilla fue irrigada y drenada extensamente. El cierre se logró con nylon 3-0. Luego se inyectó la rodilla con 40 mg de Depo-Medrol combinados con 20 mL de Marcaína. En condición estable, el paciente fue extubado y trasladado a la recuperación.

RM-3T: rodilla izquierda sin contraste.
Tras una semana, el paciente es atendido en la consulta para sus visitas postoperatorias, aunque niega fiebre, escalofríos y no comenzó fisioterapia; sin embargo, su dolor está mejorando y la radiculopatía Rt también ha mejorado.
Decidimos usar una gestión cautelosa por el momento. Empezará la fisioterapia. Para reducir el dolor y la inflamación, seguiremos utilizando hielo y elevación, y seguiremos tomando medicamentos antiinflamatorios de venta libre.
Su revisión 4 semanas después. El paciente sigue mejorando, aunque lentamente, con la ayuda de exámenes mensuales, tratamientos físicos y en casa.
Aviso legal – El nombre, edad, sexo, fechas y eventos del paciente han sido modificados o modificados para proteger su privacidad.

