Las articulaciones tibiofibulares proximal y distal permiten que el peroné se mueva en relación con la tibia, aumentando el rango de movimiento del tobillo. La maléola lateral también sirve para sostener la articulación del tobillo formando la pared lateral de la articulación talocrural.
Los malleolos («pequeños martillos») son las extremidades distales de la fíbula y la tibia que se solapan con el talus. El extremo distal de la fíbula es el maléolo lateral, mientras que el maléolo medial y posterior forman parte de la tibia.
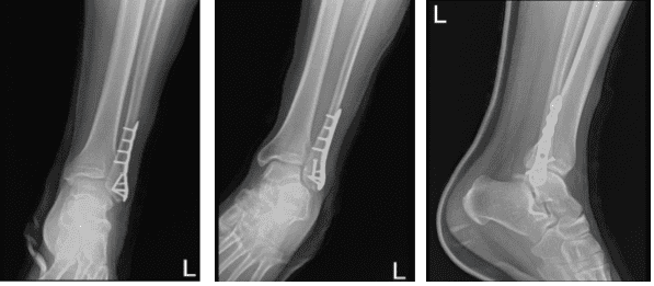
Un tornillo interfragmentario, también conocido como tornillo de retardo, se utiliza para estabilizar fracturas en espiral u oblicua del eje de un hueso.
Un paciente, un hombre de 24 años, fue visto en la consulta con dolor en el tobillo y el pie porque se cayó sobre hielo al volver del trabajo. Para los factores agravantes, el paciente informa que está de pie, camina, levanta pesos, gira, soporta peso, hace ejercicio y baja las escaleras, con síntomas asociados de debilidad, hormigueo, hinchazón, calor, sensibilidad al tacto y dolor al moverse. Radiografía Se encontró una fractura rotada desplazada del maléolo lateral.
Hablamos sobre las opciones de tratamiento y el paciente optó por el manejo quirúrgico. Hablamos sobre riesgos y beneficios, incluyendo infección, sangrado, fallo del implante, fallo de fractura, necesidad de repetir cirugías, lesiones en nervios y vasos adyacentes, necesidad de rehabilitación, coágulos sanguíneos, complicaciones cardíacas, pulmonares o neurológicas. El paciente lo entendió y firmó un consentimiento informado.
El paciente fue llevado al quirófano, donde lo colocaron sobre una mesa de quirófano bien acolchada. Se indujo anestesia general. Se aplicó torniquete. La extremidad inferior izquierda estaba preparada y colocada asépticamente de la manera habitual. Se ha pedido tiempo muerto.
Se inició una incisión sobre la maléola lateral en forma de palo de hockey y se inició en la línea de incisión. La fractura quedó expuesta. El periosteo se elevó mediante el uso de un elevador perióstico. La fractura fue abierta e irrigada. La fractura se redujeu.
Se encontró que la fractura estaba rotada externamente y colapsada. La fractura fue reducida y sujetada con una pinza. Se aplicó un tornillo interfragmentario desde la parte anterior superior hasta la posterior inferior. Se insertó un tornillo interfragmentario anterior de 3,5 y se comprobó que la fractura estaba reducida de forma segura.
Una lateral a lo largo de la fractura y sujeta con un alambre Olive. La radiografía mostró una reducción satisfactoria en la visión PA y lateral. La placa estaba fijada a la fíbula distal mediante cuatro tornillos de bloqueo distales y cuatro tornillos de bloqueo proximal.
La herida fue completamente irrigada. Se tomaron y guardaron las fotos finales. El cierre se hizo en capas usando #0 Vicryl, #2-0 Vicryl, #3-0 Monocryl. El vendaje se hizo con 4×4, Webril, férula posterior y un vendaje Ace. El paciente fue extubado y trasladado a recuperación en estado estable.
Una semana después de la cirugía, la paciente fue enviada a una radiografía. La PA, lateral y oblicua. No hay exámenes previos disponibles para comparación. El examen se realiza a través de un molde superpuesto que oculta parcialmente detalles óseos. El paciente está en estado tras fractura distal del peroné ORIF.
La línea de fractura apenas es visible. El equipo quirúrgico está intacto. Los aspectos visualizados del astrágalo izquierdo, el calcáneo y los huesos tarsianos muestran márgenes corticales intactos sin evidencia de fractura aguda. No hay cambios degenerativos significativos. La mortaja de tobillo está bien mantenida.
No hay hinchazón apreciable de tejidos blandos. No hay espolón plantar calcáneo. Da la impresión de que no existen exámenes previos disponibles para comparar.
El examen se realiza a través de un molde superpuesto que oculta parcialmente detalles óseos. El paciente está en estado tras fractura distal del peroné ORIF. La línea de fractura apenas es visible. El equipo quirúrgico está intacto.

Radiografía del tobillo izquierdo completa 3
El paciente fue atendido en la consulta para sus visitas postoperatorias con una radiografía del tobillo que fue revisada por el médico. Él niega fiebre, escalofríos, dolor y no tener nada en contra con muletas.
Acordamos optar por un manejo conservador por ahora, empezar fisioterapia, hielo y elevación para disminuir la inflamación y el dolor, y medicamentos antiinflamatorios de venta libre. También recomendamos usar botas Cam walker – pueden salir para ducharse, hacer ejercicio y caminar sin derechos de pareja. Para su revisión de seguimiento, volverá en 3 semanas.
Tras semanas, el paciente volvió a la consulta para su revisión de seguimiento, con una radiografía del tobillo para revisión. Niega fiebre, escalofríos, dolor y es WBAT con botas, sin muletas. Se revisaron y discutieron radiografías, hay una fractura quirúrgicamente tratada en el peroné distal izquierdo.
Se visualiza una línea de fractura tenue, la tibia distal izquierda es poco destacable y los aspectos visualizados del astrágego izquierdo, el calcáneo y los huesos tarsianos muestran márgenes corticales intactos sin evidencia de fractura aguda.
La mortaisa del tobillo está bien mantenida, sin embargo, hay una leve hinchazón de tejidos blandos lateralmente y no hay espolón plantar calcáneo.

Radiografía del tobillo izquierdo completa 3
Acordamos continuar con el tratamiento médico que habíamos comentado antes y el paciente indicó que volviera a las 4 semanas para su revisión de seguimiento.
Con la revisión de seguimiento, el paciente mostró progresos de vez en cuando cuando visita la consulta. Se recupera tras la operación y con la ayuda de la fisioterapia continua.
Aviso legal – El nombre, edad, sexo, fechas y eventos del paciente han sido modificados o modificados para proteger su privacidad.

