Las lesiones de rodilla implican daño en uno o más de los ligamentos, tendones, cartílago, huesos y músculos que conforman la articulación de la rodilla. Este tipo de heridas pueden ser causadas por una caída, una torsión fuerte de la rodilla, un accidente de coche con un impacto significativo u otra causa.
Con el uso de una técnica quirúrgica llamada artroscopia de rodilla, los médicos pueden inspeccionar la articulación sin tener que extraer una cantidad significativa de piel y tejido blando. Se pueden identificar y tratar numerosos problemas de rodilla mediante artroscopia.
Un paciente de 51 años estaba en nuestra consulta con quejas relacionadas con dolor en la rodilla izquierda. Ha sido tratada por el Dr. Albert y le pusieron una inyección de cortisona. Para factores agravantes, estar de pie, caminar, subir y bajar.
Para los síntomas asociados: debilidad, entumecimiento, hormigueo, hinchazón y radioterapia, pero no reporta enrojecimiento, ni calor, ni equimosis, ni bloqueo/atrapamiento, ni chasquido, ni pandeo, ni rechinar, ni inestabilidad, ni radiación, ni fiebre, ni escalofríos, ni pérdida de peso, ni cambios en los hábitos intestinales/vesiga, ni sensibilidad.
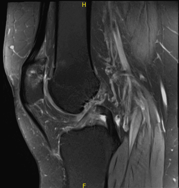
El paciente presentó resultados de resonancia magnética que mostraron condromalacia del compartimento patelofemoral moderada a marcadamente avanzada. Deshilachamiento libre del menisco medial con un colgajo horizontal orientado oblicuamente por debajo del menisco medial y condromalacia compartimental medial generalizada de leve a moderada.
Deshilachado leve del borde libre del menisco lateral sin un desgarro discreto. Derrame articular traza con un cuerpo suelto ossificado de 8 mm en la parte posterior de la articulación.

MRI-3T Rodilla izquierda sin contraste
Hablamos sobre las opciones de tratamiento para el diagnóstico del paciente, que incluían vivir con la extremidad tal cual, ejercicios organizados, medicamentos, inyecciones y opciones quirúrgicas. También discutimos la naturaleza y el propósito de las opciones de tratamiento, así como los riesgos y beneficios esperados.
Informé al paciente sobre los riesgos inherentes e inevitables que incluyen, pero no se limitan a, anestesia, infecciones, daños en nervios y vasos sanguíneos, pérdida de sangre, coágulos e incluso la muerte, que se discutieron en detalle.
También hablamos sobre la posibilidad de no poder volver a actividades o empleos anteriores, la necesidad de cirugías futuras y el síndrome de dolor regional complejo. El paciente también entiende que suele seguir al procedimiento quirúrgico un largo proceso de rehabilitación.
Hablamos de la posibilidad de no poder aliviar todo el malestar. Además, expliqué que no hay garantía de que toda la función y la resistencia vuelvan a funcionar. El paciente también comprende los riesgos de una nueva rotura o de no curar. El paciente entiende que durante esta cirugía pueden utilizarse implantes.
El paciente expresó comprensión de estos riesgos y ha decidido proceder con la cirugía. Hemos hablado del procedimiento quirúrgico así como de las expectativas realistas respecto a los riesgos, los resultados y el protocolo postoperatorio.
La paciente fue llevada al quirófano, donde la colocaron sobre una mesa de operaciones bien acolchada. Se preparó la extremidad inferior izquierda y se colocó un torniquete. Me administraron antibióticos preoperatorios. Se pidió tiempo muerto. El torniquete se elevó tras usar Esmarch.
Se creó un portal de entrada lateral e insertó un artroscopio. Se realizó un portal de entrada medial con el uso de una aguja espinal. El examen de la rodilla mostró cambios artríticos en la cabeza femoral medial, así como desgarros del menisco medial a lo largo del cuerno anterior.
No se encontró desgarro en el cuerno posterior, raíz posterior ni en el cuerpo posterior del menisco medial.
El desbridamiento del menisco medial del cuerno anterior se realizó mediante afeitadora. También se realizaba condroplastia del cóndilo femoral medial con el uso de una afeitadora. El examen de la muesca intercondilar mostró LCA intacto con degeneración.
El examen del compartimento lateral y tibiofemoral mostró el menisco lateral intacto, así como el compartimento tibiofemoral bilateral. El examen del compartimento patelofemoral mostró osteoartritis de la troclea de grado 3 a 4, así como la superficie inferior de la rótula.
El desbridamiento de la articulación patelofemoral se realizó mediante afeitadora. La condroplastia por abrasión también se realizaba con la rasuradora tanto a lo largo como en la rótula. Se tomaron las fotos finales por seguridad. La rodilla estaba completamente irrigada.

Imágenes de artroscopia intraoperatoria
El cierre se hizo usando nylon #3-0. Se inyectó 40 mg de Depo-Medrol mezclado con 9 cc de Marcaína al 0,5% en la rodilla. El aderezo se hizo con Xeroform, 4 x 8, Webril y Ace wrap. El paciente fue extubado y trasladado a recuperación en estado estable.
El paciente fue atendido para un chequeo postoperatorio. Hemos decidido realizar fisioterapia formal así como un programa de ejercicios en casa para la rehabilitación de la rodilla.
El paciente se recuperó bien tras la cirugía y continuó la fisioterapia. La paciente se registró para una revisión después de un mes y vio una mejora significativa en la rodilla.
Aviso legal – El nombre, edad, sexo, fechas y eventos del paciente han sido modificados o modificados para proteger su privacidad.

