La espinilla (tibia) está cubierta por gruesas bandas elásticas de cartílago llamadas meniscectomía medial y lateral. Sostienen la rodilla y funcionan como amortiguadores. El tamaño y la gravedad de las roturas del menisco pueden variar mucho.
Es posible el dolor articular crónico y incapacitante. Acciones simples como sentarse en una silla baja o subir una escalera pueden volverse difíciles. Además, puedes sentir desánimo si no puedes participar en tus actividades o deportes preferidos.
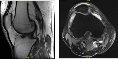
Un paciente de 57 años estaba en nuestra consulta con quejas relacionadas con dolor en la rodilla derecha. Probó fisioterapia y también medicamentos antiinflamatorios, que no le ayudaron. Le hicieron una resonancia magnética, que mostró un desgarro complejo del menisco mediano.

Resonancia magnética de rodilla derecha sin contraste
Hablamos sobre las opciones de tratamiento y optamos por el manejo quirúrgico. Hablamos sobre los riesgos y beneficios, incluyendo infecciones, sangrados, lesiones en los nervios y vasos adyacentes, fracaso de la cirugía, necesidad de repetir la cirugía, posible reemplazo total de rodilla en el futuro, entre otros.
Hablamos de complicaciones sistémicas, incluyendo coágulos sanguíneos, cardíacas, pulmonares, neurológicas, entre otras. El paciente entendió y firmó el consentimiento informado.
El paciente fue llevado al quirófano, donde lo colocaron sobre la mesa de operaciones bien acolchada. Se indujo anestesia general. Se colocó un torniquete en el muslo derecho. El torniquete se elevó a 325 mmHg y se utilizó aproximadamente media hora de torniquete para la cirugía.
Se construyó un portal de entrada lateral. El examen de los compartimentos medial, tibial y femoral mostró artritis de grado 3 a 4 del fémur medial y del cóndilo tibial. Había un desgarro en el menisco medial, que fue limpiado. El portal de acceso médico se realizó mediante el uso de una aguja espinal.
El menisco medial se limpió con afeitadora y mordedor. Se lograron márgenes equilibrados. El cartílago del cóndilo femoral medial también se afeitaba con el uso de una afeitadora. El examen de la muesca intercondilar mostró LCA intacto.
El examen del compartimento lateral mostró desgarros meniscos en el cuerno posterior junto con cambios artritis de grado 3 a 4 en el cóndilo tibial lateral y femoral. El menisco se afeitaba con el uso de una afeitadora junto con la limpieza del cartílago de los cóndilos femoral lateral y tibial.
El examen del cóndilo patelofemoral mostró cambios de grado 3 a 4 en la troclea, que se limpiaron nuevamente con una afeitadora. La rótula también mostró cambios de cartílago de grado 1 a 2 que también fueron limpiados. La rodilla ya estaba irrigada y drenada.
El cierre se hizo con el uso de nylon 3-0. Luego, se inyectaron 30 mL de Marcaína mezclados con 40 mg de Depo-Medrol en la rodilla. El apósito se utilizó con 4×4, ABD, Webril y Ace wrap. El paciente fue extubado y trasladado a Recuperación en estado estable.
El paciente fue atendido para un chequeo postoperatorio . Hemos decidido realizar fisioterapia formal así como un programa de ejercicios en casa para la rehabilitación de la rodilla. Los pacientes seguían regularmente una visita a la consulta cada 3-4 semanas.
El paciente se recuperó bien tras la cirugía y continuó la fisioterapia. El paciente se registró para una visita de seguimiento después de un mes y notó una mejora significativa en la rodilla.
Aviso legal – El nombre, edad, sexo, fechas y eventos del paciente han sido modificados o modificados para proteger su privacidad.

