La artroscopia de hombro puede aliviar signos y síntomas dolorosos de una variedad de condiciones que dañan el cartílago articular, el labrum, los tendones del manguito rotador y otros tejidos blandos alrededor de la articulación. La reparación del manguito rotador es una de las cirugías artroscópicas más frecuentes. Extracción o reparación del labrum.
Es posible que una inflamación crónica no tratada causada por un tendón del manguito rotador parcialmente roto pueda derivar en una rotura de grosor total y, finalmente, en artritis de hombro, momento en el que puede que no puedas levantar el brazo por encima debido a la debilidad y el dolor en el hombro.
Un paciente de 55 años estaba en nuestra consulta con quejas sobre dolor en el hombro izquierdo tras una caída en bicicleta de montaña y una caída sobre el hombro. Su dolor no ha mejorado. Por los factores agravantes, el paciente informó levantar pesas.
Para los síntomas asociados, hormigueo y dolor al moverse, pero no reporta debilidad, entumecimiento, hinchazón, enrojecimiento, calor, equimosis, bloqueo, chasquido, pandeo, rechinado, inestabilidad, radiación, drenaje, fiebre, escalofríos, pérdida de peso, cambio en los hábitos intestinales/vejiga y sensibilidad.
Para la ubicación, informa que está a la izquierda. Por calidad, reportó puñaladas y latidos. En cuanto a la gravedad, moderada.
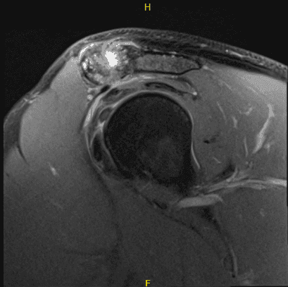
El paciente presentó un resultado de resonancia magnética que mostró una ruptura de la superficie articular de alto grado parcial en la inserción del tendón supraespinoso. Desgarro de la superficie articular de bajo grado y grosor parcial del tendón infraespinoso distal. Artrosis moderada de la articulación AC.
Un pequeño espolón subacromial predispone al paciente a un impacto externo. Desgarro no desplazado del labrum posterosuperior. Bursitis subdeltoides subacromial leve.

Imágenes de artroscopia intraoperatoria
Hablamos sobre las opciones de tratamiento y el paciente optó por el manejo quirúrgico. Hablamos sobre riesgos y beneficios, incluyendo infección, sangrado, lesiones en nervios y vasos adyacentes, fallo del dolor para desaparecer, desgarros repetidos, necesidad de cirugía repetida, complicaciones sistémicas incluyendo coágulos sanguíneos, complicaciones cardíacas, pulmonares y neurológicas, incluyendo la muerte. El paciente lo entendió y firmó un consentimiento informado.
El paciente fue llevado al quirófano, donde lo colocaron sobre una mesa de operaciones bien acolchada. Se administró anestesia general. El bloqueo supraclavicular ya se había realizado preoperatoriamente en la zona de detención.
El paciente fue colocado en la posición lateral derecha con el hombro izquierdo levantado. Le mantuvieron en posición con un puf. Todas las prominencias óseas estaban bien acolchadas. Se utilizó el enrollamiento axilar. El hombro izquierdo estaba preparado y colocado de forma aséptica como de costumbre.
Me administraron antibióticos preoperatorios. El hombro izquierdo se puso en abducción y flexión a 45 grados y en tracción con 10 libras de peso. Se hizo un portal de entrada posterior a través del punto blando e insertó un artroscopio.
Se realizó un portal de acceso médico con el uso de una aguja espinal. El examen de la articulación glenohumeral mostró cambios de osteoartritis de grado 1 a grado 2 en la fosa glenoide. El cartílago articular de la cabeza del húmero permaneció intacto. No hubo ningún desgarro en los bíceps.
Se podía observar un desgarro labral a lo largo de la parte superior sin la implicación del ancla del bíceps. El desbridamiento del labrum se realizó mediante una afeitadora. Se pueden observar desgarros de grosor parcial de alto grado en el sitio articular en el supraespinoso.
Se realizó el desbridamiento y el marcado con sutura PDS. El resto del examen de la articulación glenohumeral permaneció intacto. Se tomaron y guardaron fotos. El artroscopio se insertó en la región subacromial. Shaver se introdujo desde el portal anterosuperior. El desbridamiento de la bursa del espacio subacromial se realizó mediante el uso de una afeitadora.
Se examinó el manguito rotador en la región del SDP y se encontró que presentaba una ruptura casi completa del supraespinoso. Se usó una afeitadora para completar el desgarro. Se realizó el desbridamiento del desgarro y la cabeza del húmero en preparación para la reparación.
Se construyeron más portales accesorios para la planificación de la reparación. se introdujo en la cabeza del húmero seguido de un tap y se insertó un ancla Regenesorb Healicoil de 4,75 mm de Smith & Nephew con portales.
La sutura se extraía secuencialmente desde el portal accesorio, se cargaba en el primer camino y se pasaba secuencialmente por el manguito rotador desde la parte posterior hacia la anterior, evitando los bíceps. Las suturas se ataron entre sí para lograr una buena reparación.
Se planificó una fila lateral y seguida la inserción de las suturas en el multifix para completar la reparación lateral. La junta del aire acondicionado fue encontrada y desbridada con el uso de una afeitadora.
Se realizó un plano de escisión distal de la clavícula y se utilizó 6.0 bur para extirpar la superficie articular de la articulación AC. Aproximadamente un centímetro de la clavícula distal fue extirpado tanto hacia la puerta posterior como anterosuperior. Se tomaron y guardaron las fotos finales.

Imágenes de artroscopia intraoperatoria.
Se realizó el riego del hombro y se drenó. El cierre se hizo usando nylon #3-0. El vendaje se hizo con 4 x 8, ABD y cinta adhesiva. El paciente fue colocado en un inmovilizador de hombro y, tras la extubación, trasladado a recuperación en estado estable.
El paciente fue atendido para un chequeo postoperatorio. Hemos decidido hacer fisioterapia formal así como un programa de ejercicios en casa para la rehabilitación del hombro.
El paciente se recuperó bien tras la cirugía y continuó la fisioterapia. El paciente se registró para una revisión después de un mes y notó una mejora significativa en su hombro.
Aviso legal – El nombre, edad, sexo, fechas y eventos del paciente han sido modificados o modificados para proteger su privacidad.

