Una ayuda esencial para el diagnóstico y tratamiento del manejo de trastornos de rodilla es la artroscopia de rodilla. La meniscectomía, la extirpación de cuerpo flojo, la condroplastia, la microfractura, la irrigación y desbridamiento, y la reconstrucción de tendones son ejemplos de indicaciones. En este conjunto de artículos, ofrecemos un análisis en profundidad de la condroplastia patelofemoral y la meniscectomía medial parcial.
La condroplastia se refiere al suavizado del cartílago degenerativo y al recorte de colgajos inestables del cartílago para estabilizar y tratar lesiones condrales. La meniscectomía parcial consiste en recortar colgajos inestables de un menisco desgarrado para establecer un menisco remanente estable.
Un hombre de 45 años examinado con molestias de la rodilla izquierda. Es un trabajador cualificado que se mantiene de pie durante la mayor parte de su trabajo. Afirma que participa en un entrenamiento riguroso y que eso pudo haber influido en la lesión que sufrió. El dolor era leve, pero ha ido empeorando progresivamente y se ha asociado con la cojera. Además, los pacientes se quejan de hacer clic al moverse.
Al examinar la rodilla izquierda, el paciente se siente sensible a la palpación a lo largo de la línea articular medial y sufre un derrame. El paciente siente molestias con las maniobras de McMurray (la prueba de McMurray es una serie de movimientos de rodilla y pierna usados para diagnosticar un menisco desgarrado) y la rodilla está estable.
No tienen flexión completa secundaria al derrame, pero sí tienen extensión total. Tienen una fuerza de 5/5 y están neurovascularmente intactas distalmente. No hay eritema, calor ni lesiones cutáneas presentes. Al examinar la extremidad contralateral, el paciente no tiene sensibilidad a la palpación y tiene un excelente rango de movimiento, estabilidad y fuerza.

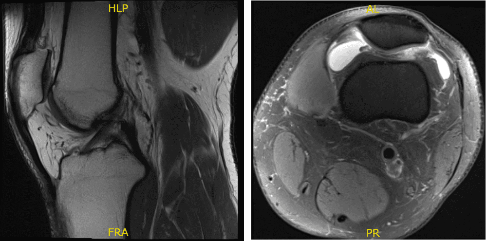
Fig. 1 Resonancia magnética de la rodilla izquierda en secciones sagital y coronal.
No hay fractura aguda ni osteonecrosis, sin embargo, hay un leve desgaste del cartílago del compartimento patelofemoral y una compleja ruptura del menisco medial que afecta al cuerpo y al cuerno posterior.
Hay una fisura cartilágica focal de grosor total sobre la troclea lateral con edema subcondral reactivo leve. La rotura muestra un componente longitudinal predominante dentro del cuerno posterior. Se observa un desgarro oblicuo horizontal adicional con deshilachado en el margen libre de los bordes.
Un edema reactivo leve está presente en la meseta tibial medial subyacente. La unión de la raíz posterior está intacta. No hay defectos de cartílago de grosor completo. Hay un derrame articular moderado. Está presente un quiste poplíteo muy pequeño. No hay cuerpos sueltos intraarticulares y sueltos.
Hablamos sobre el manejo conservador frente al quirúrgico de su patrón actual de dolor. El paciente entiende que no hay garantía de que la artroscopia vaya a eliminar todo su dolor.
Entiende que puede existir la posibilidad de que el dolor solo se reduzca mínimamente. Hablamos sobre riesgos, beneficios y complicaciones del tratamiento. Los riesgos, beneficios, alternativas y complicaciones se discutieron extensamente con el paciente.
Hablamos sobre infecciones, hemorragias, lesiones en nervios y vasos, dolor de rodilla, inflamación, la progresión de la artritis, la necesidad de inyecciones de cortisona en el futuro y la necesidad de rehabilitación. El paciente también entiende que suele seguir al procedimiento quirúrgico un largo proceso de rehabilitación. El paciente entendió y firmó su consentimiento informado.
Se realizó una cirugía artroscópica. La sonda se insertó en la puerta medial y se examinó el cuerno posterior del menisco medial. Mostraba un desgarro complejo para atar la periferia.
Hubo cambios degenerativos en el menisco con calcificación. El desgarro no se podía reparar. Se tomó la decisión de realizar una meniscectomía y se desbridó el menisco y se limpió hasta los bordes estables usando afeitadora y punzón.

Figura 2.1. Imágenes de artroscopia intraoperatoria

Figura 2.2. Imágenes de artroscopia intraoperatoria

Figura 2.3 Desgarro artroscópico del menisco lateral posterior
Se realizó desbridamiento del cartílago para eliminar los bordes sueltos. También se encontraron lesiones de OA de grado 2 a 3 en la troclea, donde se realizó desbridamiento del cartílago. La condroplastia se realizó para eliminar los bordes libres.
Se examinaron las canaletas medial y lateral. Aquí no había cuerpo suelto. Se cambió el endoscopio de la porta lateral a la medial y se realizó una condroplastia adicional de la articulación patelofemoral. Se examinó el menisco medial y se encontró estable.
Se tomaron y guardaron las fotos artroscópicas finales. La rodilla fue lavada con abundante suero fisiológico y se retiró el endoscopio. La incisión se limpió con nylon 3-0 y el vendaje con Adaptic, 4 x 4 y BD, seguido de Webril y Ace wrap.
Se retiró el torniquete. El recuento se completó al final del procedimiento. El paciente fue extubado y trasladado a la camilla y a la unidad de cuidados postoperatorios.
Después de una semana atendiendo pacientes, ha ido mejorando en cuanto al dolor y la inflamación. Cojea y ha estado usando muletas para caminar. Niega fiebre, escalofríos, relesión. Dos semanas después de la cirugía , las incisiones están cicatrizando bien, sin indicios de drenaje, eritema o calor.
Hay un rango completo de movimiento sin molestias. Hemos decidido realizar fisioterapia formal así como un programa de ejercicios en casa para la rehabilitación de la rodilla. El paciente seguía regularmente una visita a la consulta cada 3-4 semanas. El paciente se recuperó bien tras la cirugía y continuó la fisioterapia.
Aviso legal – El nombre, edad, sexo, fechas y eventos del paciente han sido modificados o modificados para proteger su privacidad.

