El principal propósito del menisco medial es reducir la tensión en la articulación de la rodilla. El borde irregular de una rotura de menisco sin control puede quedar atascado en la articulación y causar molestias y edema. Además, puede causar problemas permanentes en la rodilla, incluyendo artritis, así como otros daños ligamentosos.
Dado que el cartílago dañado puede causar inestabilidad en la rodilla, causar molestias e inflamación, o bloquear o quedar atascada, muchas personas con desgarro de menisco optan por someterse a cirugía.
El menisco dañado en tus rodillas puede ser extraído mediante un procedimiento ambulatorio llamado meniscectomía. A menudo, se realiza una operación artroscópica para completarlo. Este procedimiento incluye realizar una incisión de un centímetro de longitud para insertar una cámara mínimamente invasiva llamada artroscopio y otros dispositivos pequeños para extraer total o parcialmente el menisco.
Se utiliza una cirugía llamada condroplastia para reemplazar y remodelar cartílago desgastado en las articulaciones. El cartílago degenerativo se suaviza durante todo el tratamiento y se recortan cualquier colgajo inestable del cartílago.
Un paciente de 33 años estaba en nuestra consulta con quejas de la rodilla izquierda. Tuvo 2 episodios de pandeo hace 6 semanas. Sufre un dolor constante y intenso y cojea. Oyó un crujido en el momento del doblamiento, pero no había antecedentes de bloqueo.
El dolor empeora con manchas, flexiones profundas de las rodillas y un cambio de posición asociado a la inflamación. No tiene antecedentes médicos ni alergias conocidas. No toma nada para el dolor.
Al examinar la rodilla izquierda, el paciente es sensible a la palpación a lo largo de la línea articular medial y presenta un derrame. Son sensibles a la palpación a lo largo de las facetas medial y lateral de la rótula. Presentan crepitación en la articulación patelofemoral con rango de movimiento y molestias en la prueba de rechinación rotuliana.
El paciente siente molestias con las maniobras de McMurray y la rodilla está estable. Tienen un rango de movimiento limitado. Tienen una fuerza de 5/5 y están neurovascularmente intactos a nivel distal. No hay eritema, calor ni lesiones cutáneas presentes.

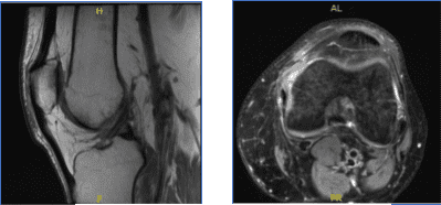
MRI-3T Rodilla Izquierda sin contraste
Se presentaron resultados para la resonancia magnética y mostraron esguince del ligamento colateral medial, sin evidencia de desgarros de alto grado. Desgarro vertical longitudinal que afecta al tercio externo del cuerpo y al menisco medial del cuerno posterior.

Extremidad Inferior Izquierda Veosa Doppler
Examen Doppler venoso normal de la extremidad inferior izquierda. No hay evidencia de trombosis venosa profunda.
Hablamos sobre las opciones de tratamiento para el diagnóstico del paciente, que incluían: vivir con la extremidad tal cual, ejercicios organizados, medicamentos, inyecciones y opciones quirúrgicas.
También hablamos sobre la posibilidad de no poder volver a actividades o empleos anteriores, la necesidad de cirugías futuras y el síndrome de dolor regional complejo. El paciente también entiende que suele seguir al procedimiento quirúrgico un largo proceso de rehabilitación.
Hablamos de la posibilidad de no poder aliviar todo el malestar. Además, expliqué que no hay garantía de que toda la función y la resistencia vuelvan a funcionar. El paciente también comprende los riesgos de una nueva rotura o de no curar.
Hemos hablado del procedimiento quirúrgico así como de las expectativas realistas respecto a los riesgos, los resultados y el protocolo postoperatorio. Hablamos sobre la meniscectomía parcial medial de la rodilla izquierda y la condroplastia.
El paciente fue llevado al quirófano, donde lo colocaron sobre una mesa de operaciones bien acolchada. Se indujo anestesia general. Se aplicó un torniquete a mitad del muslo en la extremidad inferior izquierda. La extremidad inferior izquierda fue exsanguinada con un esmarch y el torniquete se elevó a 350 mmHg.
La extremidad inferior izquierda fue preparada y drapeada asépticamente con pintura de clorhexidina. Se estableció un portal de trabajo lateral sobre la rodilla izquierda. Se introdujo el endoscopio y se realizó un examen de la rodilla. Había artritis patelofemoral en el lado medial de la rótula. Había artritis patelofemoral de grado 1 a 2 en la faceta medial de la rótula.
Había artritis de grado 1 a 2 en el cóndilo femoral medial. Se observó una rotura medial del menisco en forma de mango de cubo que afectaba al cuerno posterior que subía hacia, pero no implicaba la raíz posterior. El endoscopio se introdujo en la zona intercondilar y se pudo evaluar el desgarro.

Imágenes de artroscopia intraoperatoria
Se examinó la zona intercondilar y se encontró intacto el ligamento acromioclavicular. Se examinó el cóndilo femoral lateral y el menisco lateral permaneció intacto. No hubo daño en el cartílago del cóndilo femoral lateral.
Ahora se comenzó la reparación del desgarro en forma de mango de cubo en el cuerno posterior del menisco medial usando FasT-Fix. Se usaron cuatro FasT-Fix y, al morder, se realizó la parte periférica y luego la central del menisco.
La sutura se apretó y apretó para encontrar una buena reducción del desgarro. La rotura fue rechazada mucho después del uso de los cuatro FasT-Fix. También se realizó la condroplastia de la rótula. La rodilla fue irrigada y lavada.
El cierre se realizó con nylon #4-0. El añado se hizo con Adaptic, 4 x 4, Webril y Ace wrap. Se retiró el torniquete. Se aplicó un inmovilizador de rodilla en la rodilla izquierda. El paciente fue extubado y trasladado a la zona de retención postoperatoria en estado estable.
El paciente debe caminar con muletas, con apoyo parcial de peso en la extremidad inferior izquierda. Siempre debe usar una rodillera al caminar. Puede aflojar la férula mientras duerme. Puede quitarse la férula mientras descansa. Debe hacer un seguimiento dentro de una semana para la retirada de las suturas, la reevaluación y el inicio de la fisioterapia.
El paciente acudió después de una semana para su seguimiento postoperatorio con molestias en la reparación del menisco de la rodilla izquierda y condroplastia. El paciente tenía un dolor aumentado. Se dobló después de que su perro se le lanzara encima.
Se presentaron los resultados de su resonancia magnética y no muestran hallazgos que sugieran un nuevo trastorno interno de la rodilla izquierda. Resolución del edema previamente observado asociado con el esguince previo del ligamento colateral medial. Apariencia inalterada de una ruptura vertical periférica a través del cuerno posterior del menisco medial con condromalacia compartimental medial generalizada mínima.

MRI-3T Rodilla Izquierda sin contraste
Tras unos meses, el paciente acudió a una revisión y presentó los resultados de su resonancia magnética y mostró alteración de señal; el menisco medial posterior del cuerno puede representar un lugar de reparación primaria de la rotura del menisco medial. Correlacionado con la historia quirúrgica. No se visualiza ninguna nueva lágrima. Derrame articular traza. Cuádriceps pequeño, enthesophite.

MRI-3T Rodilla Izquierda sin contraste
El paciente se somete a otra cirugía tras un mes para reparación meniscal y meniscectomía. El paciente fue llevado al quirófano y colocado sobre una mesa de operaciones bien acolchada. Se dieron tres gramos de Ancef. Se indujo anestesia general.
La extremidad inferior izquierda fue preparada y colocada asépticamente con torniquete. El torniquete se elevó tras la aplicación de Esmarch. El portal de trabajo lateral se hizo de la manera habitual. Se introdujo el endoscopio y se examinó una articulación patelofemoral. Había una lesión condilar en la faceta patuliana medial inferior.
Se limpiaron las canaletas mediales. Se accedió al compartimento tibiofemoral medial donde había lesiones de grado 1 a grado 2. El cuerno posterior del menisco medial mostró desgarros y deshilachamiento. Se construyó un portal de trabajo medial.
Se volvió a examinar el desgarro y se encontró que era un desgarro periférico a través de la sutura con márgenes libres. Se introdujo el afeitador y se extirparon márgenes deshilachados tan débiles como el menisco y la cápsula se volvió rugosa para prepararse para la reparación.

Imágenes de artroscopia intraoperatoria
El endoscopio se trasladó a la zona intercondilar donde se encontró intacto el LCA. Se realizó una sinonovectomía parcial en esa región. El endoscopio se trasladó al compartimento femorotibial lateral, donde el menisco izquierdo permanecía intacto. No hay daño condral en el cóndilo femoral lateral.
Después, se reintrodujo el endoscopio en la articulación patelofemoral, donde se encontró que la troclea presentaba lesiones condilares de grado 1. No se realizó condroplastia en la troclea. Había lesiones de grado 2 a grado 4 en la faceta inferomedial de la rótula. Se realizó condroplastia.
Ahora, el endoscopio se movió del portal lateral al medial. El portal lateral de trabajo estaba limpio y utilizaba una afeitadora para facilitar el acceso al menisco medial.
Las cánulas específicas de zona se reutilizaron para pasar suturas a través del cuerno posterior medial y del cuerpo del menisco medial a través de la cápsula. Se usaron tres suturas horizontales y una vertical. Se sujetaron firmemente y se comprobó que habían reducido bien el menisco
Ahora se retiró el endoscopio y se hizo una incisión posteromedial justo detrás del LCM. Se vio el nervio safeno y se retrajo liberando. Se realizó una disección roma detrás de la cápsula y se extrajeron las suturas. Las suturas se tensaban consecutivamente de posterior a anterior.
Tensado y anudado. Una vez terminado, se volvió a introducir el telescopio y se comprobó que tenía una reparación satisfactoria. (07:58) se usaron para hacer cuatro agujeros en la muesca intercondilar anterior a las inserciones del LCA.
Se podían ver glóbulos de grasa. Se liberó el torniquete y se podía ver sangre saliendo de esos agujeros. Se retiró el endoscopio y se lavó y regó a fondo la rodilla.
La hemostasia se logró en la incisión posteromedial. El cierre de las heridas se realizó en capas usando Vicryl #2-0 y Monocryl #3-0. El aliño se hizo con Steri-Strips, Adaptic, 4×4, Webril y Ace wrap. Se aplicó un inmovilizador de rodilla. El paciente fue extubado y trasladado a recuperación en estado estable. El examen postoperatorio no mostró déficit neurovascular.
Tras discutir las opciones de tratamiento y los riesgos de la aspiración e inyección, el paciente quiso proceder con la aspiración e inyección para reducir el dolor y la inflamación.
Tras una preparación estéril y la inyección de anestesia local, se aspiraron 90 cc de líquido color paja desde la articulación de la rodilla izquierda. A esto le siguió una inyección interarticular, que consistía en 60 mg de Toradol seguido de 1 cc de lidocaína al 1% y 1 cc de Marcaína al 0,5%.
El paciente toleró bien el procedimiento y no hubo complicaciones. El dolor postaspiración y los signos de infección se discutieron en detalle. El paciente fue a la revisión después de un mes y vio una mejora significativa en la rodilla.
Aviso legal – El nombre, edad, sexo, fechas y eventos del paciente han sido modificados o modificados para proteger su privacidad.

