Nosotros, los humanos, tenemos la intención de levantar cosas pesadas, especialmente en nuestra vida diaria. Mientras estamos en el gimnasio, en la escuela, en casa haciendo tareas y, por supuesto, si somos trabajadores cualificados. Unos músculos superiores más fuertes ayudan a levantar mercancías pesadas en tareas habituales.
Los músculos del manguito rotador trabajan juntos para estabilizar la articulación del hombro produciendo movimientos de la cabeza húmera dentro de la fosa glenoides.
Hoy el paciente está aquí con quejas de dolor en el hombro izquierdo. No está seguro de cómo se hizo la lesión. El paciente trabaja a tiempo completo como capataz y ayuda a su compañero a levantar materiales pesados la mayor parte del tiempo.
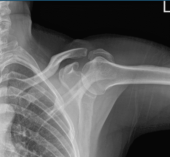
Está aquí con una radiografía del hombro izquierdo. Es dominante en la mano izquierda. No puede trabajar debido al dolor. Ha probado a estirarse en casa y a tomar paracetamol, sin ningún beneficio.
Su radiografía mostró radiografías normales del hombro izquierdo, así que decidimos hacernos una resonancia magnética para ver la causa del dolor.

Resonancia magnética del hombro izquierdo
Su resonancia mostró una rotura completa del tendón supraespinoso con 8 mm de retracción medial. Tendinosis leve de bíceps en la cabeza y subacromia/subdeltoides y subcoracoides leve.
Artrosis AC leve y degeneración del labro posterior superior superior. Hablamos sobre tratamientos quirúrgicos y no quirúrgicos y el paciente rechazó la cirugía y quiso administrar la medicación conservadora. Se recetó tramadol para el manejo del dolor.

Resonancia magnética del hombro izquierdo
Hablamos sobre las opciones de tratamiento y el paciente optó por el manejo quirúrgico. Hablamos sobre riesgos y beneficios, incluyendo infecciones, hemorragias, no curación, cirugías repetidas, lesiones en nervios y vasos adyacentes, rehabilitación y rigidez, necesidad de manipulación, entre otros. El paciente lo entendió y firmó un consentimiento informado.
El paciente fue trasladado al quirófano donde se le administró un bloqueo supraclavicular. Se indujo anestesia general. El paciente fue girado en la posición lateral derecha con el hombro izquierdo hacia arriba. Se puso el rollo axilar. Se usaban pufbags para posicionar. Todas las prominencias óseas estaban bien acolchadas.
La extremidad superior izquierda estaba preparada y colocada de forma aséptica de la manera habitual. Se administraron antibióticos preoperatorios en forma de Ancef 2 g. Se pidió tiempo muerto. Se realizó una puerta de entrada posterior para el hombro y se introdujo el endoscopio a través de la articulación glenohumeral.
La entrada al portal anterior se realizaba mediante una aguja espinal a través del intervalo rotador y se insertaba la cánula. Se utilizó la sonda examinando el hombro y se encontró osteoartritis leve, de grado 1 a grado 2 del centro glenoideo.
Hubo desgarros parciales en el subescapularis, que fue desbridado. Había una tendinitis leve en el tendón del bíceps y no se hizo nada al respecto. Se observó una rotura completa del manguito rotador en el supraespinoso e infraespinoso del hombro. Se deshilachó el labrum glenoideo, que fue desbridado con la afeitadora.
El examen del hombro fue normal. El endoscopio se introdujo a través del portal anterior, hallazgos. El alcance se introdujo en el espacio subacromial.
El examen mostró bursitis, que fue desbridada con la afeitadora. Se encontró una gran desgarro del supraespinoso e infraespinoso. El desgarro se extendía hasta el tendón del bíceps.
El hombro fue completamente irrigado y drenado. El cierre se hizo con nylon #3-0, ABD y cinta. El paciente fue extubado y trasladado a la unidad de recuperación en estado estable.

Imágenes de artroscopia intraoperatoria
Una semana después de la operación, un paciente acudió a la consulta para hablar sobre las opciones de tratamiento. Hemos decidido continuar con fisioterapia formal así como con un programa de ejercicios en casa para la rehabilitación de su hombro.
Se retiraron los puntos. La paciente seguirá usando hielo y elevando para que le ayude con su condición. Los pacientes seguían regularmente una visita a la consulta cada 3-4 semanas. El paciente se recuperó bien tras la cirugía y continuó la fisioterapia.
Aviso legal – El nombre, edad, sexo, fechas y eventos del paciente han sido modificados o modificados para proteger su privacidad.

