Una fractura rotuliana es una lesión importante que puede dificultar o incluso imposible caminar o estirar la rodilla. Llevar un yeso o férula mientras el hueso cicatriza es un tratamiento eficaz para algunas fracturas rotulianas más sencillas.
Sin embargo, en la mayoría de las fracturas de la rótula, la lesión provoca que los fragmentos óseos se descoloquen de su posición. Probablemente necesitarás cirugía si los huesos están dislocados o desalineados.
Las fracturas rotulianas que no están cerca entre sí suelen no curarse o curan lentamente. Los músculos fuertes del muslo que se conectan con la parte superior de la rótula pueden sacar los fragmentos de su posición correcta durante el proceso de curación.
Un paciente de 68 años estaba en nuestra consulta con quejas, las radiografías postoperatorias en la revisión mostraron cortes en los tornillos y fallo en la fijación con desplazamiento de la fractura. El Dr. Karkare habló sobre las opciones de tratamiento y el paciente optó por el manejo quirúrgico en forma de revisión.
Habíamos hablado de riesgos, beneficios y complicaciones, incluyendo infección, hemorragia, lesión de nervios y vasos adyacentes, posible necesidad de reparación frente a patelectectomía parcial, fallo repetido, necesidad de rehabilitación, necesidad de asistencia futura, complicaciones sistémicas como coágulos sanguíneos, cardio, pulmonares, cardíacas y neurológicas, incluyendo la muerte.
El Dr. Karkare también estaba presente en el momento de la conversación. El paciente estuvo de acuerdo y firmó un consentimiento informado.
El paciente fue trasladado al quirófano, donde se le indujo anestesia general. El paciente fue colocado en una mesa de operaciones bien acolchada. La extremidad inferior izquierda se preparó y colocó de forma aséptica de forma habitual con la aplicación de torniquete. Me administraron antibióticos preoperatorios. Se aplicó Esmarch, se exsanguinó el miembro y se elevó el torniquete.
Anteriormente, la incisión de la línea media se abría a lo largo de la misma incisión. La disección se realizó profundamente en la rótula. Un gran colgajo de tejido se elevó a ambos lados y se retrayó.
La fractura se vería desplazada con la punta del tornillo abierta hacia afuera tanto en la parte medial como lateral. Los tornillos se retiraron con un destornillador. La fractura fue completamente irrigada y drenada. Había cierta crepitación en el lado medial de la punta inferior de la rótula.
Cuando la fractura se redujo bien, se decidió probar un cableado de banda tensión. Se pasaron dos cables guía por media y lateral y se convirtió. Hallazgos en una posición aceptable en la vista AP y lateral y lo suficientemente profundos.
Se realizó el taladro sobre los cables guía y se colocaron tornillos cancellados canulados de 4 mm. Ambos tornillos de 4 mm estaban 6 mm más pequeños por medir los cables guía. Se pasaba una cinta de fibra de 2 mm a través de estos cables guía en una configuración en forma de ocho. Este FiberTape mostró una buena reducción de modo que el FiberWire se ató con un nudo en el aspecto superolateral.
La fijación se complementó con el uso de FiberTape x2 de 2 mm en forma de cerclaje alrededor de la rótula. La fijación final se logró bien. Los nudos se ataron y enterraron en el tejido. La rodilla fue completamente irrigada y drenada.
El cierre se hizo en capas usando Vicryl #0, Vicryl #2-0 y grapas. El apuesto se hizo con 4×8, ABD, Webril y Ace wrap. Se aplicó un inmovilizador de rodilla. El paciente fue extubado y trasladado a recuperación en estado estable.
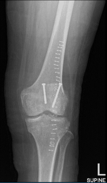
El paciente fue atendido para una visita de seguimiento y presentó resultados de radiografía que mostraron cambios postquirúrgicos sobre la rótula con una posición satisfactoria del hardware. Por lo demás, un examen poco destacable.

Radiografía de rodilla izquierda AP y lateral
El paciente fue atendido para un chequeo postoperatorio. Hemos decidido realizar fisioterapia formal así como un programa de ejercicios en casa para la rehabilitación de la rodilla.
El paciente se recuperó bien tras la cirugía y continuó la fisioterapia. La paciente se registró para una revisión después de un mes y vio una mejora significativa en la rodilla.
Aviso legal – El nombre, edad, sexo, fechas y eventos del paciente han sido modificados o modificados para proteger su privacidad.

