Una ayuda esencial para el diagnóstico y tratamiento del manejo de trastornos de rodilla es la artroscopia de rodilla. La meniscectomía, la extirpación de cuerpo flojo, la condroplastia, la microfractura, la irrigación y desbridamiento, y la reconstrucción de tendones son ejemplos de indicaciones. En este conjunto de artículos, ofrecemos un análisis en profundidad de la meniscectomía parcial medial y la cirugía de microfracturas de rótula.
El paciente es un hombre de 58 años con molestias de dolor en la rodilla izquierda desde hace más de un año. El dolor es de intensidad moderada. El paciente describe el dolor como punzante y palpitante. El dolor es constante y lo hace durante el sueño. El dolor está asociado a torcerse o doblarse. El paciente trabaja actualmente como tramoyista, lo que implica mucha actividad física.
Al examinar la rodilla izquierda, el paciente se siente sensible a la palpación a lo largo de la línea articular medial y sufre un derrame. El paciente también presenta crepitación y sensibilidad en la fascia plantar al palpar a lo largo de la línea articular fascite plantar medial y lateral. La prueba de molienda rotuliana es positiva.
El paciente siente molestias con las maniobras de McMurray y la rodilla está estable. No tienen flexión completa secundaria al derrame, pero sí tienen extensión total. Tienen una fuerza de 5/5 y están neurovascularmente intactas distalmente. No hay eritema, calor ni lesiones cutáneas presentes.
Se presentaron informes de radiografías y no hay cambios degenerativos significativos. El paciente deseaba proceder con la inyección para reducir el dolor y la inflamación. Tras una preparación estéril, se inyectaron 7 cc de lidocaína al 1% y 80 ml de Depo-Medrol en la rodilla izquierda.
El paciente toleró bien el procedimiento y no hubo complicaciones. Se discutieron en detalle el dolor post-inyección, el aumento de la glucosa en sangre, la decoloración de la piel, la atrofia grasa y los signos de infección.

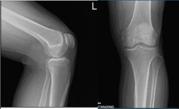
AP y Vista de Latera
Al paciente le pusieron una inyección de cortisona, que le ayudó de forma transitoria, pero el dolor volvió. Hay una leve degeneración mucoide del ligamento cruzado anterior. Existe un esguince leve del ligamento colateral medial proximal con edema periligamentoso de tejidos blandos asociado que se extiende a lo largo de la cápsula posteromedial.
Hay una leve tendinosis de inserción poplíta. Hablamos sobre las opciones de tratamiento y el paciente optó por el manejo quirúrgico, incluyendo los riesgos y complicaciones de la cirugía y la necesidad de inyección de cortisona y fisioterapia.

La anestesia general indujo al paciente; Se colocó un torniquete en la parte baja del muslo, en el lado izquierdo. La rodilla izquierda se colocó en un soporte para rodilleras. Se realizó preparación aséptica y drapeado. Se administró antibiótico preoperatorio.
El torniquete estaba inflado. Se hizo un portal de entrada lateral y se accedió al telescopio. Se detectó daño osteocondral de OA grado 3 a grado 4 en la rótula inferior lateral. Se encontraron muchos restos en la rodilla, como en la bolsa suprapatelariana y la canaleta medial.
El endoscopio de la rodilla se trasladó al compartimento medial, donde se podían ver muchos restos y desgarros del menisco medial. Se hizo un portal de entrada medial. Se introdujo una sonda y se examinaron desgarros meniscales y se hicieron fotos. fue llevado.
Se insertó una afeitadora para limpiar los restos y los márgenes del menisco medial. Se realizó el ajuste final del menisco medial. La lesión también fue desbridada. La microfractura del defecto osteocondral rotuliano se realizó mediante punzones en coleta y se pudieron observar glóbulos de grasa subcondrales desde el lugar de la microfractura.
La herida fue lavada usando grandes cantidades de solución salina normal. Se eliminó el ámbito. El cierre se realizó con nylon #4-0; Se inyectaron 20 cc de ropivacaína al 0,5% en la rodilla.
El asalzado se hizo con Adaptic, 4×4 y ABO junto con rollo de telaraña y Ace wrap. Se lanzó el torniquete. El paciente fue extubado y trasladado a la unidad postoperatoria en estado estable.


Imágenes intraoperatorias desde el inicio hasta el proceso final
Tras dos semanas, el paciente fue atendido en la consulta y hemos decidido continuar con fisioterapia formal así como con un programa de ejercicios en casa para la rehabilitación de la rodilla.
Revisamos las imágenes artroscópicas y quitamos los puntos durante la visita de hoy. Continuaremos con hielo y elevación de la rodilla para reducir la hinchazón y el dolor.
Seguiremos utilizando la movilización temprana y la profilaxis mecánica para reducir las probabilidades de una trombosis venosa profunda. Reduciremos poco a poco cualquier medicamento narcótico y avanzaremos a antiinflamatorios y paracetamol, siempre que no haya contraindicaciones para estos medicamentos.
El paciente seguía regularmente una visita a la consulta cada 3-4 semanas. El paciente se recuperó bien tras la cirugía y continuó la fisioterapia.
Aviso legal – El nombre, edad, sexo, fechas y eventos del paciente han sido modificados o modificados para proteger su privacidad.

