Un componente del cartílago llamado menisco ayuda en el funcionamiento adecuado de la rodilla. Las roturas meniscales, una dolencia frecuente de rodilla, suelen tratarse mediante una meniscectomía. El objetivo del procedimiento es eliminar las piezas de menisco que sobresalen en la articulación. Tu rodilla puede bloquearse debido a que estas piezas obstruyen la movilidad articular.
La paciente que se ha presentado hoy es una mujer de 24 años que se queja de seguir teniendo dolor en la rodilla izquierda incluso después de la cirugía, hace tres meses. La paciente que tuvo una lesión por torsión en la rodilla izquierda mientras hacía ejercicio. Su radiografía no mostró cambios degenerativos significativos ni fracturas agudas.
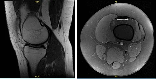
Acordamos realizar una resonancia magnética que mostró que el estado tras la reparación meniscal del desgarro del mango del cubo visto anteriormente con la apariencia es desgarro recurrente y alteración del cuerno anterior asociado al desplazamiento de un colgajo grande y la alteración focal del cuerno posterior hacia la proximidad de la inserción tibial.
Los cambios postquirúrgicos están presentes en la unión meniscocapsular y a través del tejido subcutáneo. También se visualizan portales artroscópicos hacia la grasa infrapatelar. También se observaron una enfermedad degenerativa del compartimento lateral leve y un pequeño derrame articular.

Radiografía de rodilla izquierda
La paciente fue llevada al quirófano, donde la colocaron sobre una mesa de operaciones bien acolchada. Se indujo anestesia general. La extremidad inferior izquierda fue preparada y drapeada asépticamente de forma estéril habitual e inflada a 300 mmHg.
Se utilizó un tiempo de torniquete de más de 30 minutos para la cirugía. Se ha pedido tiempo muerto. Se administró antibiótico preoperatorio. Se realizó un portal de entrada lateral y se accedió a un artroscopio. También se creó un portal de acceso médico.
El examen del compartimento medial mostró menisco y cartílago intactos. El examen de la muesca intercondilar mostró LCA intacto así como cartílago.
El examen del compartimento lateral mostró desgarros del menisco lateral y se presentaban suturas. El menisco lateral se desbridó con el uso de mordedor hacia arriba, mordidor recto y afeitador. Se realizó un desbridamiento exhaustivo. Había cierta cantidad de artritis en el cartílago tibial.
Se lograron márgenes equilibrados. Casi el 40% del menisco lateral fue resecado en el procedimiento para lograr márgenes equilibrados. Se tomaron y guardaron las fotos finales. El examen del compartimento no mostró artritis. Se tomaron y guardaron las fotos finales. La rodilla fue completamente irrigada y drenada.
El cierre se hizo con nylon #3-0. Luego, se inyectaron 30 cc de Marcaine 0,5% mezclado con 40 mg de Depo-Medrol en la rodilla. El apósito se hizo con Xeroform, 4×8, ABD, Webril y Ace wrap. El paciente fue extubado y trasladado a recuperación en estado estable.

Imágenes intraoperatorias
El paciente fue sometido a una evaluación postoperatoria y se determinó que continuaría con fisioterapia formal así como con un programa de ejercicios en casa para la rehabilitación de rodillas. Seguiremos aplicando hielo y elevando la rodilla para aliviar el dolor y la hinchazón, además de reducir el riesgo de una trombosis venosa profunda.
También utilizaremos movilización temprana y profilaxis mecánica. Mientras no haya contraindicaciones para estos medicamentos, pasaremos a antiinflamatorios y paracetamol después de haberlos dejado de tomar narcóticos. También seguirá tomando aspirina. En tres semanas, volveré a reunirme con ellos para evaluar su evolución.
Aviso legal – El nombre, edad, sexo, fechas y eventos del paciente han sido modificados o modificados para proteger su privacidad.

