El ligamento lesionado se restaura en una reconstrucción del LCA con un injerto de tejido de un donante (aloinjerto) o de tu propio cuerpo (autoinjerto).
Los resultados clínicos con autoinjertos son comparables o ligeramente mejores que los con aloinjertos en la restauración del LCA. A pesar de la capacidad del autoinjerto para promover la curación ósea, presenta varias desventajas.
Entre ellos se encuentran procedimientos quirúrgicos adicionales, mayor riesgo de infección, mayor pérdida de sangre, cantidad limitada y hipersensibilidad o morbilidad al sitio donante.
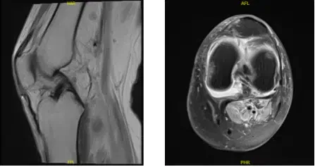
La paciente es una mujer de 33 años que ha sido vista en la consulta durante casi seis meses. Sufrió un accidente de coche y sufrió dolor y edema en la rodilla izquierda. Una resonancia reveló un desgarro medial del menisco en el mango de cubo completo en la muesca intercondilar.
El paciente tiene una deformidad de flexión de 30 grados y no puede extenderse. El paciente lleva un tiempo cojeando. Hablamos con el paciente sobre las opciones terapéuticas, que eligió el manejo quirúrgico. Debido a limitaciones sociales, el paciente no ha podido someterse a la cirugía. El paciente rechaza la intervención quirúrgica.
Abordamos los peligros y beneficios, incluyendo infecciones, hemorragias, daños en los nervios y vasos sanguíneos, la necesidad de más cirugías y la necesidad de rehabilitación. Hablamos sobre el potencial de que se desarrolle artritis en el futuro, la necesidad de un reemplazo y otros problemas como coágulos sanguíneos, etc. El paciente firmó el consentimiento tras comprenderlo completamente.

MRI-3T Rodilla Izquierda sin contraste
El paciente fue llevado al quirófano. El equipo anestésico administró un bloqueo nervioso al paciente. Se administró un antibiótico preoperatorio. Bajo anestesia, las pruebas de Lachman y el cajón anterior dieron positivo, mientras que la prueba de desplazamiento de pivote fue negativa.
Se aplicó un torniquete en el muslo alto y se preparó y colocó de forma aséptica la extremidad inferior izquierda de forma habitual con una pinza. Se ha pedido un tiempo muerto.
Se realizó una incisión suprapatelana media para extraer el tendón del cuádriceps y se delimitaron los hilos óseos. El paratenón se desprendió de la línea de la incisión y el tendón fue limpiado y separado.
El tendón se marcaba con un ancho de unos 10 mm y se cortaba por ambos lados con la hoja antes de insertar el colector de injerto óseo Arthrex. Se extrajeron y cortaron un total de 70 mm de injerto con un cortador de puros.
En la mesa trasera, la herida estaba tapada y el injerto se preparó con Arthrex QuadLink usando cinta de fibra y alambre de fibra, con un botón endoajustable para el lado femoral y la misma preparación para el lado tibial pero sin botón endo.
El injerto se estiró sobre la mesa trasera y medía 9 mm de ancho y 65 mm de largo después de prepararse. En el injerto se hicieron marcas. El trasplante fue revestido con solución fisiológica normal saturada de vancomicina. Se utilizó Esmarch y se levantó el torniquete.
El portal lateral se utilizó para implantar el artroscopio. Reveló una rotura en la cápsula del lado lateral del tendón del cuádriceps. Se pretendía cerrar y se realizó una incisión separada para ello.
La artroscopia se reinició una vez completada. En los compartimentos patelofemoral, medial o lateral, no hubo alteraciones osteoartíticas. El LCA no estaba presente.
El menisco medial tenía una rotura en el mango del cubo que colgaba en la muesca intercondilar. Se creó un portal anterior medial y se redujo con éxito la desgarradura del mango del cubo. Se decidió repararlo desde dentro hacia fuera. Para preparar los márgenes, se utilizó un pinza de menisco.
Se utilizaron tres veces suturas meniscales Arthrex para reparar suturas horizontales de colchón, y la reparación fue exitosa. Se tomaron y conservaron fotografías. Se priorizó el LCA y se preparó la superficie medial del cóndilo femoral lateral para la cirugía del LCA.
La meseta tibial fue tratada de forma similar y marcada con la varita ArthroCare. Se colocó otro artroscopio a través del portal medial, seguido de la inserción de una plantilla femoral y la inserción de una manga.
La piel se preparó para permitir la inserción de la manga, que luego se clavaba en el hueso. La manga se cortaba con un cortador de volteretas que se colocaba a través de la funda. Una vez dentro, el FlipCutter se desplegó a 9,5 mm y se creó un túnel de 25 mm en el lado femoral.
El FlipCutter se giraba hacia atrás y se extendía, luego se insertaba el truco y la sutura se ataba a sí misma para mantener la patente del canal. El artroscopio se introducía ahora por la puerta lateral, una plantilla tibial por la puerta medial y la manga por una segunda incisión en la espinilla medial.
El taladro se insertaba de forma similar y se giraba una vez dentro de la unión para crear un túnel de 9 mm x 25 mm. El taladro fue vuelto a girar y retirado una vez más. Se utilizó sutura mediante palo de fibra para mantener patente el canal.
La rodilla fue irrigada extensamente para eliminar cualquier residuo de la herida antes de ser retirada y drenada. Ambos lazos de sutura se retiraron por el mismo pasaje en el lado medial, y se amplió el portal medial.
Se extrajo el tendón del cuádriceps y se colocó primero en el lado femoral antes de ser extraído. El extremo tibial también se arrastraba hacia fuera con el lazo una vez dentro de la rodilla. El tendón se posicionaba según sus marcas y se tensaba a ambos lados, el lado tibial en un botón axial.
La rodilla se cicló 30 veces en flexión y extensión, el ligamento se tensó a ambos lados y se anudaron y cortaron las suturas. Las imágenes finales se almacenaron y guardaron.
Se realizó una acromioplastia para eliminar un pinzamiento en el cóndilo femoral lateral. Como resultado, no hubo impacto. Las fotografías finales fueron tomadas y conservadas. La herida fue irrigada y drenada cuidadosamente.
El lugar de extracción del tendón cuádruple se cerró en capas con 0 Vicryl, 2-0 Vicryl y Monocryl, y las incisiones artroscópicas se cerraron con nailon. Se usaron Dermabond, Telfa, 4×4, ABD, Webril y Ace wrap para el vestido. Además, se utilizó un inmovilizador de rodilla. En estado estable, el paciente fue extubado y enviado a Recuperación.
Rafael Robenov estuvo presente durante la segunda mitad de la cirugía y fue importante para ayudar en la inserción del tendón, fijación, tensión, hemostasis y cierre de la herida.

Imágenes intraoperatorias
La paciente atendida en la consulta durante su visita postoperatoria de una semana, su dolor está mal controlado aunque mejor que antes, y está usando inmovilizador y muletas también niega fiebre y escalofríos.
Optamos por continuar con la fisioterapia oficial así como con un régimen de entrenamiento en casa para la rehabilitación de rodillas tras analizar las opciones de tratamiento. Durante la visita, revisamos las imágenes de la artroscopia y retiramos los puntos. Seguiremos usando hielo y elevando la rodilla para reducir la hinchazón y el dolor.
Para limitar el riesgo de trombosis venosa profunda, seguiremos utilizando movilización temprana y profilaxis mecánica. Poco a poco los iremos retirando de cualquier medicamento narcótico y pasándolos a antiinflamatorios y paracetamol, siempre que no haya contraindicaciones.
También abordamos los riesgos y beneficios de tomar estos medicamentos, así como los efectos secundarios más frecuentes. El paciente regresará en tres semanas para evaluar su progreso.
La paciente acudió a la consulta para su visita postoperatoria, su dolor estaba bien controlado y mejoraba con el rango de movimiento y el apoyo de peso durante casi un mes cuando tuvo una caída en el restaurante Burger King y se volvió a lesionar la rodilla izquierda.
Desde entonces su dolor ha ido empeorando y no puede extender la rodilla. Ella usa un inmovilizador y muletas y niega fiebre o escalofríos. Hablamos sobre opciones de tratamiento como fisioterapia, resonancia magnética, inyección, cirugía y acordamos empezar con 3 Tesla MRI y fisioterapia como se había acordado.
El paciente sigue mejorando, aunque lentamente, con la ayuda de exámenes mensuales, tratamientos físicos y en casa.
Aviso legal – El nombre, edad, sexo, fechas y eventos del paciente han sido modificados o modificados para proteger su privacidad.

