Reparación del tendón del cuádriceps para el LCA, o ligamento cruzado anterior. Un autoinjerto es un tratamiento quirúrgico en el que una porción del tendón del cuádriceps extraída de tu propia pierna se utiliza para reparar o reconstruir un ligamento roto del LCA en la rodilla. Situado por encima de la rótula o rótula, el tendón del cuádriceps es un tejido grueso.
Con frecuencia se siente una sensación de desgarro o chasquido cuando se rompe un tendón rotuliano. Normalmente, tendrás dolor e inflamación, y puede que no puedas estirar la rodilla. El tendón rotuliano se desgarró, dejando una hendidura en la base de la rótula como síntomas adicionales.
Un paciente de 26 años estaba en nuestra consulta con quejas de dolor en la rodilla izquierda. Le hicieron radiografías de la rodilla izquierda. Como factores agravantes, los pacientes informaron estar de pie, caminar, levantar pesos, girar, empujar/tirar, lanzar, moverse, apoyar peso, hacer ejercicio, cirugías previas, arriba, abajo y por la noche.
Para los síntomas asociados, informó de debilidad, entumecimiento, hormigueo, hinchazón, enrojecimiento, calor, chasquidos o chasquidos, pandeos, inestabilidad, radiación, sensibilidad al tacto y dolor al moverse, pero no reportó enrojecimiento, equimosis, rechinar, radiación, fiebre, escalofríos, pérdida de peso y cambios en los hábitos intestinales/vesiga.
Para la ubicación, a la izquierda. En cuanto a la calidad, reportó dolor, ardor, punzadas, palpitaciones, agudeza, frecuentes, constantes y sin cambios. Actualmente trabaja como electricista. No puede doblar ni alargar la rodilla y está cojeando y sin poder soportar peso en el pie.
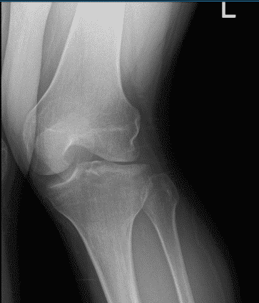
El paciente presentó resultados de radiografías que mostraron un leve estrechamiento del espacio del compartimento lateral de las articulaciones. Por lo demás, no tiene nada de especial. La posición es subóptima porque el paciente no puede estirar la rodilla.

Radiografía de rodilla izquierda y radiografía lateral con vistas oblicuas 3
En su resonancia, el resultado mostró una morfología anormal del LCA, probablemente relacionada con una alteración parcial o posiblemente una alteración total (imágenes limitadas por el movimiento). Desgarro del mango del cubo del menisco medial.

MRI-3T Rodilla izquierda sin contraste
Hablamos sobre las opciones de tratamiento y el paciente optó por el manejo quirúrgico. Hablamos sobre riesgos y beneficios , incluyendo infecciones, hemorragias, lesiones en nervios y vasos adyacentes, necesidad de rehabilitación, posibilidad de fallo, necesidad de repetir cirugías, desarrollo de artritis de rodilla y posible necesidad de reemplazo de rodilla en el futuro, entre otros.
También discutimos complicaciones sistémicas, incluyendo coágulos sanguíneos, cardíacas, neurológicas o pulmonares, entre otras. El paciente lo entendió y firmó un consentimiento informado.
El paciente fue llevado al quirófano, donde lo colocaron sobre una mesa de operaciones bien acolchada. Se indujo anestesia general. Su extremidad inferior izquierda fue preparada y colocada asépticamente de forma habitual tras la aplicación del torniquete. Me administraron antibióticos preoperatorios.
Se realizó un examen bajo anestesia que mostró laxitud del LCA o prueba de Lachman sin punto final. Se construyó un portal de entrada lateral. Se introdujo el artroscopio y se realizó un portal de entrada medial con la ayuda de una aguja espinal.
El examen de la rodilla mostró un desgarro medial en mango de cubo desde el cuerno posterior hasta la mitad del cuerpo. También mostró avulsión y lesión del ligamento cruzado anterior con colapso. El compartimento lateral no mostró desgarros ni lesiones. El compartimento patelofemoral estaba normal. Decidimos extraer el autoinjerto del cuádriceps como estábamos planeados.
Se retiró el artroscopio y se realizó una incisión de 3 cm sobre el polo proximal de la rótula. El tejido subcutáneo y el paratenón se cortaron en la línea de excisión. Se usó RayTec para delimitar el tendón. Se utilizó un cuchillo doble de cosecha predefinido para cuádriceps Arthrex y el tendón se cortó a ambos lados.
El extremo distal se elevaba desde el polo proximal de la rótula mediante una hoja. Proximalmente, el tendón fue cortado a través de la intrasustancia. Se utilizó un cortador de tendones para extraer 18 mm de tendones. Se aplicó FiberTape sobre el lado femoral proximal. El tendón se preparó en la mesa trasera y también el lado tibial.

Imágenes de artroscopia intraoperatoria
Mientras tanto, se insertó de nuevo un artroscopio en la rodilla. Se planificó la reparación del menisco medial del interior utilizando cánulas específicas de zona del menisco. Secuencial desde el cuerno posterior hasta la mitad del cuerpo. Todas las agujas se extrajeron de la rodilla medial.
Se cortaron las agujas y las suturas se sujetaron con un hemostato. Se realizó desbridamiento de LCA. La unión femoral del LCA se preparó usando la afeitadora. La unión tibial también se preparó usando la maquinadora.
Se utilizó e insertó una plantilla de ligamento femoral del LCA. Se realizó una incisión sobre el cóndilo femoral lateral y se cortó la fascia en la línea de incisión. El jig se introducía en la rodilla y se conectaba. El jig se pasaba al hueso y se golpeaba hacia dentro.
Se usaba FlipCutter y se perforaba en la rodilla. Una vez que el taladro estaba dentro de la rodilla, se volteaba hacia atrás y se realizaba un giro de 25 mm. El escariador se volvió a insertar en la rodilla, volvió a la posición normal y se retiró. Se insertó y recuperó un FiberLink.
De manera similar, se realizó un túnel tibial utilizando una plantilla tibial para la entrada medial. Se utilizó un ángulo de 60 grados. FlipCutter se volvió a utilizar para hacer un túnel de 30 mm de forma similar. Se insertó un FiberLink y se sujetaron las suturas unas a otras.
Una vez que el tendón del cuádriceps estuvo listo, se marcó e insertó sobre el FiberLink en el lado femoral y pasó al túnel. Luego, el lado tibial también se pasaba al túnel tibial usando el FiberLink.
El paciente fue atendido para un chequeo postoperatorio. Hemos decidido realizar fisioterapia formal así como un programa de ejercicios en casa para la rehabilitación de la rodilla. Los pacientes seguían regularmente una visita a la consulta cada 3-4 semanas.
El paciente se recuperó bien tras la cirugía y continuó la fisioterapia. El paciente se registró para una visita de seguimiento después de un mes y notó una mejora significativa en la rodilla.
Aviso legal – El nombre, edad, sexo, fechas y eventos del paciente han sido modificados o modificados para proteger su privacidad.

