La artroscopia es utilizada por cirujanos ortopédicos para diagnosticar y tratar problemas de rodilla. Este procedimiento se utiliza en afecciones que afectan al cartílago, ligamentos, tendones y otros tejidos blandos que rodean, protegen y permiten que tu rodilla funcione correctamente.
Una meniscectomía parcial es una cirugía para extirpar una porción del menisco, un fragmento de cartílago en forma de media luna en la rodilla. El menisco actúa como amortiguador y ayuda a mantener la rodilla estable. Puede dañarse por una lesión o por desgaste a lo largo del tiempo. La condroplastia es un procedimiento quirúrgico que consiste en suavizar el cartílago degenerativo y recortar cualquier colgajo inestable del cartílago.
Se examinó a una mujer de 51 años con quejas de dolor en las rodillas bilaterales. La paciente no recuerda haberse lesionado. Recientemente ha empezado a correr y hacer ejercicio cuando se dio cuenta. El dolor es de intensidad moderada a intensa.
El dolor es constante, pero no me molesta mientras duermo. El dolor está asociado a hinchazón, crepitación y cedimiento. Los pacientes tienen una discapacidad considerable y dificultades tanto en las actividades diarias como en la recreación. Cuando descansa, los síntomas mejoran.
Al examinar la rodilla izquierda, el paciente se siente sensible a la palpación a lo largo de la línea articular medial y sufre un derrame. El paciente también presenta crepitación y sensibilidad en la fascia plantar al palpar a lo largo de la línea articular fascite plantar medial y lateral. La prueba de molienda rotuliana es positiva.
El paciente siente molestias con las maniobras de McMurray y la rodilla está estable. No tienen flexión completa secundaria al derrame, pero sí tienen extensión total. Tienen una fuerza de 5/5 y están neurovascularmente intactas distalmente.
No hay eritema, calor ni lesiones cutáneas presentes. Al examinar la extremidad contralateral, el paciente no tiene sensibilidad a la palpación y tiene un excelente rango de movimiento, estabilidad y fuerza.
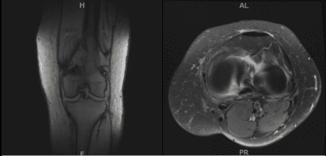
Se realizó una resonancia magnética para el diagnóstico. Hay un derrame articular de tamaño moderado e inflamación capsular. Los ligamentos cruzados anterior y posterior están intactos. Existe una compleja desgarro del cuerpo y del cuerno posterior del menisco medial. El menisco lateral está intacto.
El tendón del cuádriceps y el tendón rotuliano están intactos. Los ligamentos colaterales medial y lateral están intactos. Hay condromalacia patelofemoral moderada con erosión parcial de 15 mm que afecta a la faceta medial de la rótula. No se identificó ningún defecto subcondral ni fractura. Hay un encondroma de 10 mm en la metáfisis distal del fémur medialmente.
No se identificó ningún defecto o fractura osteocondral. En el resultado de la resonancia, se detectó una compleja desgarro del cuerpo y del cuerno posterior del menisco medial. Condromalacia patelofemoral moderada asociada a derrame articular de tamaño moderado e inflamación capsular.

MRI-3T Rodilla Izquierda sin contraste
Tras el diagnóstico, hablamos sobre las opciones de tratamiento, que incluyen vivir con la extremidad tal cual, ejercicios organizados, medicamentos, inyecciones y opciones quirúrgicas. También discutimos la naturaleza y el propósito de las opciones de tratamiento, así como los riesgos y beneficios esperados.
El paciente ha expresado su deseo de proceder con la cirugía, que es una opción razonable. También hablamos sobre la posibilidad de no poder volver a actividades o empleos anteriores, la necesidad de cirugías futuras y el síndrome de dolor regional complejo. El paciente también entiende que suele seguir al procedimiento quirúrgico un largo proceso de rehabilitación.
Hablamos de la posibilidad de no poder aliviar todo el malestar. Además, explicamos que no hay garantía de que toda la función y la fuerza vuelvan a funcionar.
El paciente también comprende los riesgos de una nueva rotura o de no curar. El paciente entiende que durante esta cirugía pueden utilizarse implantes. El paciente lo entendió y firmó un consentimiento informado.
Se construyó un portal lateral. Se introdujo el endoscopio y se examinó la rodilla. Había artritis patelofemoral. El endoscopio se introdujo en el compartimento medial. El portal de entrada medial se realizó utilizando una aguja espinal.
Se examinó el menisco medial y se encontró que el margen se deshilachaba en el margen, así como degeneración de la superficie inferior del cuerno posterior del menisco medial.

La afeitadora se usaba para eliminar todo el deshilachado y equilibrar el menisco. El endoscopio se introdujo en el compartimento lateral, donde también se encontró que el menisco lateral estaba intacto.
Hubo artritis del cóndilo femoral de etapa II a III, que se limpó con una afeitadora. No hubo daño condral en el cóndilo femoral lateral.
El endoscopio se introdujo en la articulación patelofemoral, donde había artritis de grado 3 a 4, y sobre la troclea, de grado 1 a grado 2 sobre la superficie posterior de la rótula.
Se usaban afeitadores y ponches para extraer todo el cartílago de la tróclea así como de la rótula. El cartílago se equilibró a un margen estable. La rodilla fue examinada de nuevo y se encontró adecuadamente desbridada.

La rodilla fue abundantemente irrigada con solución fisiológica normal. Se guardaron las imágenes finales. Se retiró el endoscopio y se cerró la incisión usando nylon #4-0.
Se introdujo un 18 cc de Depo-Medrol mezclado con 6 cc de Marcaína al 0,5% en la articulación de la rodilla. El vestido estaba hecho. Se retiró el torniquete. El paciente fue extubado y trasladado a la unidad de cuidados postoperatorios en estado estable.
Tras una semana de la operación, ha estado caminando con bastón o sin ayuda. Ella niega fiebre, frío o relesiones. Ha ido mejorando con el dolor.
No está tomando narcóticos para medicación para el dolor. El paciente tiene una revisión de seguimiento regular en la consulta. La paciente ha recibido fisioterapia, lo que ayuda mucho a su recuperación completa.
Aviso legal – El nombre, edad, sexo, fechas y eventos del paciente han sido modificados o modificados para proteger su privacidad.

