Muchas desgarros del labrum se tratan con artroscopio. Si el desgarro es pequeño y se engancha en gran medida al mover el hombro, simplemente eliminar los bordes irregulares y cualquier fragmento suelto del labrum puede aliviar tus problemas.
El desbridamiento consiste en la eliminación de piezas de tendones sueltas, bursa engrosada y otros materiales de la articulación del hombro. Para aliviar el dolor crónico de hombro, los cirujanos de hombro realizan una operación de resección distal de la clavícula.
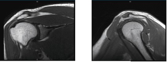
Durante los últimos meses, un paciente masculino de 36 años acudió a la consulta debido a un dolor en el hombro derecho. Realizamos una resonancia magnética que reveló enfermedad en las regiones subacromial y del labrum. La articulación AC también es sensible para el afectado. El paciente recibió tratamiento conservador, pero no se le proporcionó alivio.
Hallazgos de resonancia magnética; La evaluación de las estructuras óseas regionales no muestra evidencia de edema de médula ni deformidad de contorno que sugiera lesión ósea. Se forma un quiste subcondral, inespecífico, en la cabeza humeral superolateral poster. Las articulaciones glenohumeral y acromioclavicular suelen estar alineadas.
El proceso acromial es posterolateral inclinado hacia abajo y su superficie inferior suele ser recta en su configuración. El arco coracoacromial se acerca estrechamente al músculo/tendón supraespinoso subyacente, lo que puede manifestarse clínicamente como pinzamiento subacromial.
Hay una ruptura de las fibras insertionales inferiores del tendón infraespinoso. Los tendones supraespinoso, subescapular y tere menor no tienen nada de especial apariencia. Existe una rotura/tendinopatía parcial del tendón del bíceps intraarticular.
El segmento intertuberculoso del tendón del bíceps muestra curso y morfología normales. Hay deshilachamiento del labrum superior, así como deshilachamiento del ancla superior del tendón labrum-bíceps del tubérculo supraglenoideo. Esto es compatible con una lesión SLAP (labrum anterior-posterior superior).
El resto del labrum glenoide permanece intacto. La musculatura regional está bien desarrollada, sin evidencia de edema o atrofia. Hay una pequeña cantidad de líquido fisiológico dentro de la articulación glenohumeral.
No hay fluido dentro de las bursas subacromiales-subdeltoides o subcoracoideas. Se nota incidental sobre un lipoma subcutáneo en los tejidos blandos en la parte posterosuperior del proceso acromión. Mide aproximadamente 2,5 cm en la máxima dimensión.
A pesar de nuestras discusiones sobre las diferentes opciones terapéuticas, el paciente eligió la intervención quirúrgica. Hablamos sobre la necesidad de tratamiento físico y rehabilitación.
Hablamos, entre otras cosas, de la necesidad de rehabilitación, el daño a los nervios y músculos cercanos, el hormigueo, el entumecimiento y la equimosis. El cliente estaba al tanto y dio su consentimiento informado.

MRI-3T Hombro derecho sin contraste
El paciente fue llevado al quirófano y colocado sobre una mesa de operaciones bien acolchada. Se indujo anestesia durante todo el proceso. El hombro derecho se levantó mientras el paciente se colocaba en posición lateral izquierda. El hombro derecho se preparó como de costumbre y se vendó asépticamente.
En una tracción de 10 libras, el hombro derecho se posicionaba en 10 grados de flexión y 45 grados de abducción. Se ordenó un tiempo muerto. Se administró un antibiótico antes de la cirugía.
A través de una zona blanda, se creó el orificio de entrada posterior. A través del portal posterior, el artroscopio se insertaba en la articulación glenohumeral. Al examinar la articulación glenohumeral, se descubrió que tanto el labrum superior como el posterior estaban desgarrados.
Además, reveló un manguito rotador parcial del supraespinoso en el lado articular en la zona del intervalo rotador. Se realizó desbridamiento para extraer el manguito rotador y el deshilachamiento y desgarro del labrum superior. Se examinó el resto del hombro y todo estaba bien. Se capturaron y almacenaron imágenes.
El portal anterior se utilizó para introducir el artroscopio, que luego se empleó para confirmar los resultados y realizar el desbridamiento. Se observó que la superficie anterior del acromión y el ligamento CA se estaban deshilachando al insertarse el artroscopio en la región subacromial.
Durante el procedimiento de acromioplastia se utilizó una varita térmica, seguida de una fresa. El ligamento del CA fue liberado. Cuando se reveló la articulación AC, se descubrieron cambios degenerativos. Utilizando la varita térmica y la fresa a través de las portas anterior y posterior, se extirpó la clavícula distal. Se le retiró el centímetro superior de la clavícula. Se capturaron y almacenaron las imágenes finales.
El hombro fue irrigado y drenado cuidadosamente. Las incisiones artroscópicas se hicieron con nylon #4-0. El asalzado se completó con. El brazo del paciente estaba colgado sobre su hombro. En estado estable, el paciente fue extubado y trasladado a la unidad de recuperación.
El paciente atendido en la consulta postoperatoria niega fiebre y escalofríos. Tiene dolor ocasional en el hombro derecho, aunque puede moverlo.
Tiene casi toda su amplitud de movimiento y fuerza, y está trabajando con su fisioterapeuta y está mejorando porque ahora puede realizar todas las actividades habituales y puede volver al trabajo. Tras el examen, acordamos proceder con fisioterapia formal así como un programa de ejercicio en casa, usar hielo, elevación y AINEs para el dolor PRN del hombro.
El paciente se recuperó bien tras la cirugía y, con la ayuda de la fisioterapia, está mejorando, poco a poco. El médico aconsejó al paciente que acudiera a la consulta siempre que lo necesitara.
Aviso legal – El nombre, edad, sexo, fechas y eventos del paciente han sido modificados o modificados para proteger su privacidad.

