La cirugía de escisión distal de la clavícula se utiliza para aliviar el malestar y el deterioro del hombro causados por artritis o pinzamiento mediante la extirpación de la porción externa de la clavícula (clavícula).
Las fracturas óseas no tratadas pueden provocar un retraso o la no unión del hueso. En el primer escenario, el hueso no se cura en absoluto, por lo tanto seguirá roto. Como resultado, con el tiempo, la hinchazón, el dolor y las molestias solo empeorarán.
Un paciente de 45 años visitó nuestra consulta con quejas sobre dolor en el hombro derecho debido a un accidente de coche. Ha estado probando fisioterapia y medicamentos antiinflamatorios, pero no ha tenido alivio.
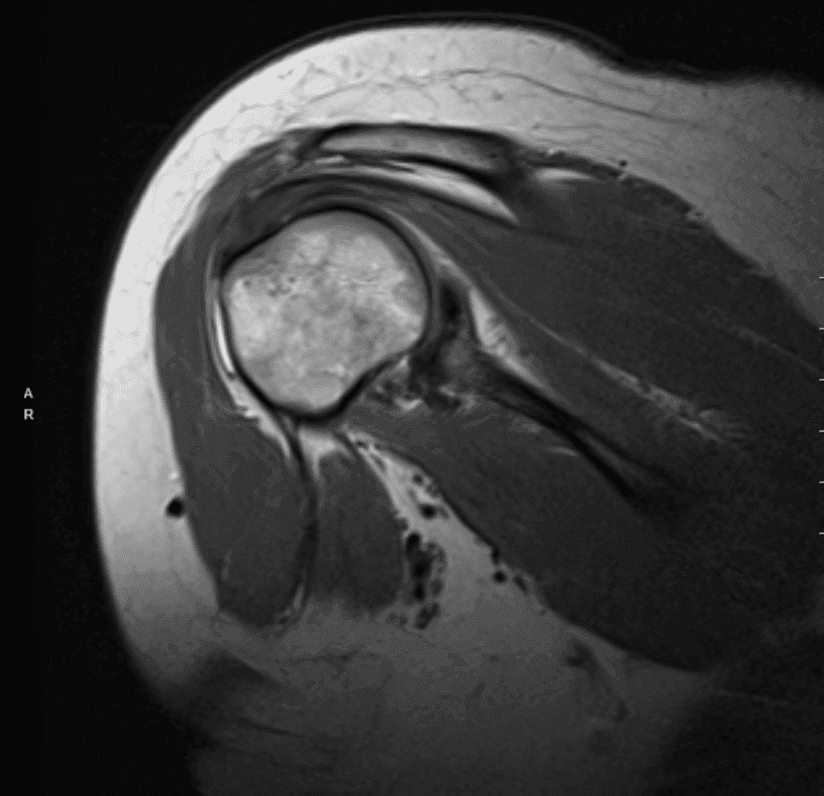
Realizó una resonancia magnética para el hombro derecho y mostró tendinosis difusa con una ruptura de grosor parcial de la huella de inserción anterior del tendón supraespinoso. Tendinosis difusa del infraespinoso con desgarro parcial intersticial. Tendinosis subescapularia.
Desgarro difuso del labrum superior/desgarro de SLAP. Desgarro del labrum posterior-inferior con desprendimiento parcial. Esguince capsular inferior frente a capsulitis adhesiva. Pequeño derrame. Quiste subcondral focal y defecto cartílago focal a lo largo del borde glenoideo posterior con patrón de desgaste subcondral temprano.
Bursitis subdeltoides subacromial. Cambio hipertrófico de la articulación AC con esguince capsular de grado I. Edema en la clavícula distal y el acrómio, que puede representar contusión o reacción al estrés. Estrechamiento del espacio subacromial. Edema de médula ósea con mayor tuberosidad compatible con la contusión ósea.

Resonancia magnética del hombro derecho
El paciente también presentó los resultados de una radiografía y mostró radiografías normales del hombro derecho.

Radiografía del hombro derecho
Hablamos sobre las opciones de tratamiento para el diagnóstico del paciente, que incluían vivir con la extremidad tal cual, ejercicios organizados, medicamentos, inyecciones y opciones quirúrgicas. También discutimos la naturaleza y el propósito de las opciones de tratamiento, así como los riesgos y beneficios esperados.
Informé al paciente sobre los riesgos inherentes e inevitables que incluyen, pero no se limitan a, anestesia, infecciones, daños en nervios y vasos sanguíneos, pérdida de sangre, coágulos e incluso la muerte, que se discutieron en detalle.
También hablamos sobre la posibilidad de no poder volver a actividades o empleos anteriores, la necesidad de cirugías futuras y el síndrome de dolor regional complejo. El paciente también entiende que suele seguir al procedimiento quirúrgico un largo proceso de rehabilitación.
Hablamos de la posibilidad de no poder aliviar todo el malestar. Además, expliqué que no hay garantía de que toda la función y la resistencia vuelvan a funcionar. El paciente también comprende los riesgos de una nueva rotura o de no curar.
El paciente entiende que durante esta cirugía pueden utilizarse implantes. El paciente expresó comprensión de estos riesgos y ha decidido proceder con la cirugía. Hemos hablado del procedimiento quirúrgico así como de las expectativas realistas respecto a los riesgos, el resultado y el protocolo postoperatorio.
El paciente fue trasladado al quirófano, donde se le realizó un bloqueo supraclavicular. Se indujo anestesia general y el paciente fue intubado. Estaba girada en posición lateral izquierda con el hombro derecho levantado en una posición lateral flácida y sujeta con un puf.
Todas las prominencias óseas estaban bien acolchadas. Se insertó un enrollamiento axilar. Se administró antibiótico preoperatorio. El hombro derecho estaba preparado y colocado asépticamente de la manera habitual. Se hizo un portal de entrada posterior a través del punto blando.
El artroscopio se insertó en la articulación glenohumeral, donde el examen mostró deshilachamiento de la parte lateral del tendón subescapular, deshilachamiento del labrum anterior y posterior, lesión de grado 1 a grado 2 del cartílago de la cabeza glenoidea, deshilachamiento y desgarro parcial del manguito rotador en el lado articular.
El desbridamiento se realizó mediante el uso de afeitadora para el labrum glenoide, el tendón subescapular, el cartílago articular de la cabeza húmeral y el manguito rotador. El artroscopio se insertaba en el espacio subacromial. El examen mostró una liberación parcial del manguito rotador a lo largo del supraespinoso.
Había espolones laterales anteriores del acromión, así como artritis de CA. Se usó una máquina de afeitar seguida de una varita de coblación para limpiar el acromion y la articulación de aire alterno.
La reparación del desgarro del manguito rotador se realizó mediante el uso de un pequeño implante Regeneten, que se colocó mediante múltiples punches a través de la lateral y el accesorio superior del portal. Se tomaron fotos para el draft.

Imágenes de artroscopia intraoperatoria
La acromioplastia se realizó con el uso de una bura #6-0, seguida de una escisión distal de la clavicular que extirpó aproximadamente 1 cm de la clavícula distal a través de la parte posterior y seguida por la puerta anterior. Todas las fotos fueron tomadas y guardadas.
El hombro fue completamente irrigado y drenado. El cierre se hizo usando nylon #3-0. El vendaje se hizo con cinta adhesiva 4 x 4, ABD. El paciente fue extubado, colocado en un cabestrillo para el hombro y trasladado a Recuperación en estado estable.
El paciente fue atendido para un chequeo postoperatorio. Hemos decidido hacer fisioterapia formal así como un programa de ejercicios en casa para la rehabilitación del hombro. Los pacientes seguían regularmente una visita a la consulta cada 3-4 semanas.
El paciente se recuperó bien tras la cirugía y continuó la fisioterapia. La paciente se registró para una revisión después de un mes y notó una mejora significativa en el hombro.
Aviso legal – El nombre, edad, sexo, fechas y eventos del paciente han sido modificados o modificados para proteger su privacidad.

