Los cirujanos utilizan la cirugía artroscópica, que es menos intrusiva y acelera la recuperación del paciente, para reparar el LCA. El ligamento desgarrado se restaura durante una reconstrucción del LCA con un injerto de tejido de un donante (aloinjerto) o de tu propio cuerpo (autoinjerto).
Una paciente de 59 años que bajaba las escaleras cuando se perdió un escalón se queja de dolor en la rodilla izquierda. Se dobló y experimentó inestabilidad en la rodilla izquierda.
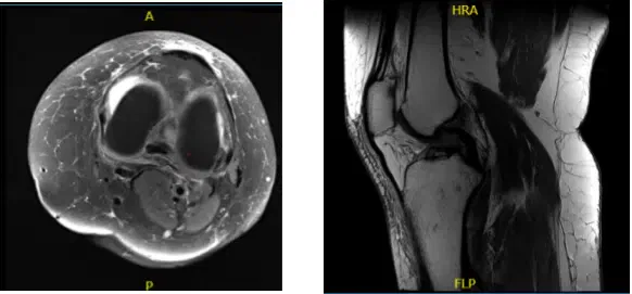
Realizamos una resonancia magnética que reveló una lesión parcial de LCA de alto grado. Ten en cuenta que el paciente era joven, estaba enfermo, y hablamos sobre nuestras alternativas. La rodilla también tenía muy poca artritis. Se exploraron alternativas de tratamiento, incluyendo el conocido manejo quirúrgico.
El paciente eligió un procedimiento quirúrgico muy conocido. Infecciones, hemorragias, daños en nervios y vasos sanguíneos cercanos, fallo quirúrgico, necesidad de repetir cirugías, artritis, necesidad de reemplazo de rodilla en el futuro, necesidad de rehabilitación de rodilla, complicaciones sistémicas incluyendo coágulos sanguíneos, resultados cardíacos y complicaciones neurológicas como la muerte fueron algunos de los riesgos y beneficios que comentamos. El cliente estaba al tanto y dio su consentimiento informado.

MRI-3T Rodilla Izquierda sin contraste
El paciente fue llevado al quirófano y colocado sobre una mesa de operaciones resistente. Se indujo anestesia durante todo el proceso. Tras acceder asépticamente a la extremidad inferior izquierda, se colocó un torniquete hasta la altura del muslo en el lado izquierdo y se examinó. Se ordenó un tiempo muerto.
Se administraron 1 g de ácido tranexámico y antibióticos preoperatorios. Tras el procedimiento, se administró otro gramo de ácido tranexámico. Se creó un portal de entrada lateral utilizando un bisturí, y un examen artroscópico del compartimento patelofemoral reveló que el cartílago de la rótula seguía intacto.
La troclea tiene artritis de grado 1. Cuando se examinó el compartimento tibiofemoral medial, tanto el menisco como el cartílago estaban en buen estado. Además, el menisco y el cartílago examinados en el compartimento tibiofemoral lateral estaban en buen estado.
El examen de la muesca intercondilar mostró una rotura parcial de alto grado del LCA. Se tomó la decisión de realizar la reconstrucción del LCA con un tendón cuádricepte. Se retiró el artroscopio y se realizó una incisión sobre el muslo distal, desde el polo superior de la rótula hacia arriba y por debajo.
Comenzó una disección aguda en el tendón del cuádriceps. Se tomó un decapador de tendón de cuádriceps de 10 mm de Arthrex y el tendón se cortó unos 70 mm. Inicialmente se realizó una disección aguda para respetar el injerto del tendón.
Se utilizaba un FiberTak para conectarlo al extremo femoral del tendón para la preparación del injerto. Ahora, se usaba el cortador de puros para diseccionar más el tendón y se cortaba un tendón de unos 65 mm.
En la mesa trasera, el tendón estaba preparado con FiberTak en el lado opuesto también. Para evitar fugas de líquido causadas por la apertura iatrogénica de la cápsula articular durante el procedimiento, la herida proximal se cerró en ese intervalo. De nuevo en la rodilla, se introdujo el artroscopio y se desbridó el LCA tanto en el lado femoral como en el tibial.
La plantilla del LCA femoral se colocó desde el portal lateral tras un desbridamiento completo. Se colocó una manga externa y se hizo una incisión en la piel. Hasta el hueso, se insertó la funda. Se creó un túnel femoral utilizando el Flip Cutter. Tras voltear el cúter, se creó un túnel de 30 mm en general.
El FiberLoop se utilizó para marcar el canal. De manera similar, el portal medial se utilizaba ahora para insertar la plantilla tibial y una manga para designar la incisión cutánea. La manga se colocaba sobre el hueso tras la incisión cutánea.
El túnel se construyó de nuevo usando un FlipCutter. La canaleta se volteaba una vez insertada la perforadora y se creaba un túnel de 25 mm. El túnel parecía un poco corto. FiberStick volvió a usarse para etiquetar el túnel.
Para acomodar el injerto, se ensanchó el sitio de entrada medial del artroscopio P. El mismo portal medial se utilizaba para pasar los lazos FiberStick, además de cargar y pasar el lado femoral del tendón del cuádriceps hasta el túnel femoral y recuperar y accionar un botón. Para permitir que el tendón fluyera hacia el túnel, el RT de cuerda funa se fue ajustando gradualmente.
Ahora el botón estaba invertido y el extremo tibial del cuádriceps también estaba pasado de forma similar. El lado del cuádriceps estaba efectivamente tenso. En el lado tibial, que estaba tenso cuando las suturas estaban tensas, se aflojó algo.
Hubo 30 ciclos de los. #4.75 SwiveLock se usó para sumergir las suturas en la tibia. Era posible aplicar una buena tensión en el LCA, y se tomaron y conservaron fotos. Con la ayuda de la condral, se realizó una microfractura condroplastia para liberar médula ósea y promover una cicatrización rápida.
Tras dos semanas, la paciente fue atendida en la consulta para su visita postoperatoria. Su dolor está mejorando y está usando muletas e inmovilizador de rodillas. Tras discutir las opciones de tratamiento, hemos decidido proceder con fisioterapia formal así como con un programa de ejercicio en casa para la rehabilitación de la rodilla.
Repasamos las imágenes artroscópicas y retiramos los puntos durante la visita. Continuaremos con hielo y elevación de la rodilla para reducir la hinchazón y el dolor. Seguiremos utilizando la movilización temprana y la profilaxis mecánica para reducir las probabilidades de una trombosis venosa profunda.
Reduciremos poco a poco cualquier medicamento narcótico y avanzaremos a antiinflamatorios y paracetamol, siempre que no haya contraindicaciones para estos medicamentos. También hablamos sobre los riesgos, beneficios y efectos secundarios comunes de tomar estos medicamentos. El paciente volverá en tres semanas para evaluar su progreso.
La paciente fue atendida en la consulta tras un mes de su visita postoperatoria. Su dolor está mejorando, aunque está usando un bastón y un inmovilizador de rodillas. Está trabajando con fisioterapia avanzada y mejorando su rango de movimiento y fuerza. Es subdirectora y planea volver al trabajo con restricciones.
Hablamos de opciones de tratamiento como fisioterapia, resonancia magnética, inyección y cirugía. Hemos acordado optar por una gestión conservadora por ahora. Fisioterapia continuaré, hielo/calor, elevación y toma de antiinflamatorios de venta libre. Revisión cada 4 semanas.
Con visitas regulares, fisioterapia y ejercicios caseros para la rodilla, el paciente se recupera y se recupera.
Aviso legal – El nombre, edad, sexo, fechas y eventos del paciente han sido modificados o modificados para proteger su privacidad.

