Cuando el ligamento cruzado anterior (LCA) de la rodilla está sobreestirado o desgarrado, esto se denomina lesión del ligamento cruzado anterior. Son posibles desgarros parciales y completos. Una articulación articular de bisagra llamada rodilla se forma por los ligamentos que conectan el enorme hueso de la pierna inferior (tibia) y el hueso de la pierna superior (fémur).
Tu rodilla puede volverse extremadamente inestable y perder todo su rango de movimiento si se rompe el LCA . Ciertos movimientos, incluido girar inmediatamente, pueden resultar complicados como consecuencia. Puede que sea imposible practicar algunos deportes.
El ligamento dañado se extrae durante la reparación del LCA y se reemplaza por un tendón, una tira de tejido que normalmente une músculo al hueso. El tendón donante u otra zona de tu rodilla se utiliza para el trasplante de tendón.
Un paciente de 51 años estaba en nuestra consulta con quejas sobre inestabilidad en la rodilla derecha. Estaba en una tienda, pisó un charco y resbaló y cayó, lastimándose ambas rodillas y la cadera RT. Para factores agravantes, estar de pie, caminar, girar, subir y bajar.
Por síntomas asociados: debilidad, hinchazón y chasquidos o chasquidos pero no reporta entumecimiento, ni hormigueo, ni enrojecimiento, ni calor, ni equismosis, ni agarre/bloqueo, ni pandeo, ni rechinar, ni inestabilidad, ni radiación, ni secreción, ni fiebre, ni escalofríos, ni pérdida de peso, ni cambios en los hábitos intestinales/vejiga, ni sensibilidad.
Para la ubicación, izquierda (rodilla) y derecha (rodilla y cadera). Por calidad, dolorosa, aguda y frecuente. En cuanto a la gravedad, severa. En cuanto al momento, informó de recurrencia. Para que se entienda, informó de una caída. En cirugías anteriores, no reporta ninguna.
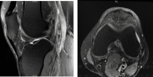
La paciente presentó resultados de resonancia magnética que mostraron cuádriceps insertional leves a moderados y tendinosis patuliana proximal. Hay un espolón prominente a lo largo del polo inferior de la rótula sin un fragmento osífico separado ni edema de médula ósea circundante, indicativo de una lesión previa por tracción.
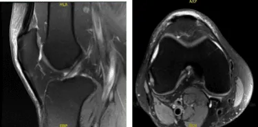
No hay desgarro meniscal ni lesión de ligamentos. El cartílago se conserva. En la rodilla derecha, los resultados de la radiografía han mostrado desgarro superficial bajo la parte inferior en la unión del cuerno posterior/cuerpo del menisco medial y deshilachamiento inferior del cuerno posterior.
Cuádriceps leve y tendinosis rotuliana, sin desgarro. Bursitis prepateliana leve y edema moderado de tejidos blandos circundantes. Hablamos del tratamiento con el paciente. El paciente había probado fisioterapia en el pasado.

MRI-3T Rodilla Izquierda sin contraste

MRI-3t Rodilla derecha sin contraste
Hablamos sobre opciones de tratamiento y al paciente se le ofreció manejo quirúrgico. Hablamos de los riesgos y beneficios, incluyendo infecciones, sangrados, lesiones en nervios y vasos, fracaso de la cirugía, rerupción del conjunto y necesidad de repetir la cirugía, artritis, entre otros temas.
Hablamos de complicaciones sistémicas, incluyendo coágulos sanguíneos, complicaciones cardíacas o pulmonares, entre otras. El paciente entendió y firmó su consentimiento informado.
El paciente fue llevado al quirófano, donde lo colocaron en la mesa del quirófano. El paciente fue sedado y se le inyectaron 15 cc de Marcaína al 2%, 15 cc de Lidocaína al 2% y 15 cc de Marcaína al 0,5% mezclada con epinefrina para un bloqueo local. Se aplicó un torniquete. El paciente fue mantenido sedado durante el procedimiento.
La rodilla derecha estaba preparada y colocada de forma aséptica de la manera habitual. Se pidió un tiempo muerto. Ya se habían administrado antibióticos preoperatorios. Se aplicó Esmarch y se elevó el torniquete. Se realizó el portal anterior lateral con una incisión e insertó el artroscopio.
El portal anterior medial se realizó mediante el uso de una aguja espinal y un cuchillo. El examen del compartimento femoral medial mostró desgarros horizontales y oblicuos del margen libre lateral a lo largo del cuerpo del homor posterior. Esto se hacía usando mordedores rectos y afeitadores.
Se podrían lograr márgenes equilibrados. El examen del resto del compartimento tibiofemoral fue bueno. El examen de la muesca infrapatela mostró un LCA intacto. El examen del compartimento tibial lateral mostró menisco intacto.
Hubo una lesión medial de grado III en el cartílago articular, que fue desbridada hasta obtener márgenes equilibrados. El hueso quedó entonces expuesto. El examen del compartimento patelofemoral mostró cartílago intacto. Se tomaron y guardaron las fotos finales.

Imágenes de artroscopia intraoperatoria
La rodilla fue completamente irrigada y drenada. El cierre se hizo con el uso de nylon 4-0. El vendaje se realizó con Xeroform, 4 x 4, ABD, Webril y envoltorio ACE. El paciente fue extubado y trasladado a la sala de recuperación en estado estable.
El paciente fue atendido para un chequeo postoperatorio. Hemos decidido realizar fisioterapia formal así como un programa de ejercicios en casa para la rehabilitación de la rodilla. Los pacientes seguían regularmente una visita a la consulta cada 3-4 semanas.
El paciente se recuperó bien tras la cirugía y continuó la fisioterapia. El paciente se registró para una visita de seguimiento después de un mes y notó una mejora significativa en la rodilla.
Aviso legal – El nombre, edad, sexo, fechas y eventos del paciente han sido modificados o modificados para proteger su privacidad.

