Dentro de la rodilla, dos piezas de cartílago se encuentran entre el fémur y la espinilla. (tibia). El menisco es este tejido. Las cuñas gomosas del cartílago actúan como amortiguadores para la rodilla, proporcionando amortiguación a tus huesos y rodillas.
El cartílago de tus rodillas se desgasta y se debilita a medida que maduras. Este cartílago más débil es más propenso a desgarros. Una rotura del menisco también puede ser causada por artritis (la descomposición del cartílago en las articulaciones).
Una rotura del menisco es una lesión de rodilla muy frecuente. Las roturas del menisco son comunes en deportistas y jugadores recreativos. La lesión también es frecuente en personas mayores y en quienes padecen artritis de rodilla.
La paciente es una mujer de 55 años que se queja de molestias en la rodilla izquierda. No recuerda haber sido herida. Empezó a sentir dolor hace un año. La agonía es insoportablemente dolorosa. El paciente describe la incomodidad como aguda.
El dolor es constante e interfiere con el sueño. La molestia va acompañada de hinchazón. Desde sus inicios, el problema ha empeorado. Caminar y estar de pie agrava los síntomas. Nada alivia la incomodidad.
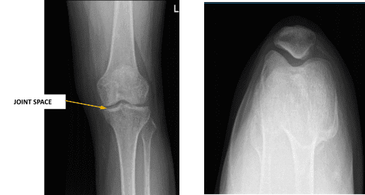
La XR mostró una artrosis muy leve de la rodilla izquierda, preferentemente afectando al compartimento medial. La artrosis se produce debido al desgaste del cartílago en las articulaciones. Normalmente ocurre debido al envejecimiento o al uso intenso de las articulaciones durante deportes, ejercicio u otras actividades.
El espacio articular se estrecha mínimamente en la parte medial del compartimento femorotibial medial. Hay osteófitos marginales muy pequeños. Hay un derrame muy pequeño en la articulación de la rodilla izquierda.

Radiografía de rodilla izquierda con rótula
También se realizó una resonancia magnética y se detectó un desgarro oblicuo del cuerpo y del cuerno posterior del menisco medial, además de defectos en el cartílago articular del compartimento medial y patelofemoral. La rótula está ligeramente subluxada lateralmente en relación con el fémur.
Al examinar la rodilla izquierda, el paciente se siente sensible a la palpación a lo largo de la línea articular medial y sufre un derrame. El paciente también presenta crepitación y sensibilidad en la fascia plantar al palpar a lo largo de la línea articular fascite plantar medial y lateral. La prueba de molienda rotuliana es positiva.
El paciente siente molestias con las maniobras de McMurray y la rodilla está estable. No tienen flexión completa secundaria al derrame, pero sí tienen extensión total. Tienen una fuerza de 5/5 y están neurovascularmente intactas distalmente. No hay eritema, calor ni lesiones cutáneas presentes.
Al examinar la extremidad contralateral, el paciente no tiene sensibilidad a la palpación y tiene un excelente rango de movimiento, estabilidad y fuerza.
Hablamos sobre las opciones de tratamiento para el diagnóstico del paciente, que incluían: vivir con la extremidad tal como está, ejercicios organizados, medicamentos, inyecciones y opciones quirúrgicas. También discutimos la naturaleza y el propósito de las opciones de tratamiento, así como los riesgos y beneficios esperados.
El paciente ha expresado su deseo de proceder con la cirugía. Informé al paciente sobre los riesgos inherentes e inevitables que incluyen, pero no se limitan a: anestesia, infección, daño a los nervios y vasos sanguíneos, pérdida de sangre, coágulos e incluso la muerte, se discutieron en detalle.
También hablamos sobre la posibilidad de no poder volver a actividades o empleos anteriores, la necesidad de cirugías futuras y el síndrome de dolor regional complejo.
El paciente también es consciente de que suele seguir al tratamiento quirúrgico un largo proceso de rehabilitación. Hablamos sobre la posibilidad de no poder aliviar todo el malestar. También dije que no hay garantía de que toda la función y fuerza se restauren. Tenemos la intención de realizar una meniscectomía medial y una condroplastia en la rodilla izquierda.
Se administró anestesia. Tras aplicar un torniquete a mitad del muslo y aplicar pintura con clorhexidina, se preparó la extremidad inferior izquierda. Tras la exanguinación, la ligadura se elevó a 350 Hg. La extremidad inferior del 1Jft se colocó en un soporte para la pierna. La extremidad inferior izquierda estaba colgada de forma aséptica.
El endoscopio de rodilla se insertaba entonces a través de una apertura lateral de trabajo en la rodilla izquierda. Un examen de rodilla reveló artritis patelofemoral, especialmente en la articulación patelina medial distal.
La troclea presentó cambios de grado OA 1 a 2, y el componente rotuliano inferior medial presentó cambios de grado OA 3 a 4. La condroplastia del aspecto rotuliano inferomedial se combinó con una sinonovectomía por canaleta femoral medial.

Imágenes artroscópicas intraoperatorias tomadas durante la operación
La rodilla estaba completamente irrigada y mudada. La rodilla estaba cerrada con suturas de nylon #3-0. El tratamiento seco se realizó con Adaptic, 4 x 4, y Webril. Se usó medias TED en los muslos. La ligadura fue retirada. El paciente fue extubado con éxito.

Fotos finales tomadas durante la operación
Tras una semana de recuperación, se atendió al paciente y un examen de la rodilla izquierda reveló un pequeño derrame. Las heridas se están curando bien, sin signos de secreción, eritema ni calor.
Debido a la incomodidad, el rango de movimiento es limitado. La fuerza de distancia es 5/5. No hay dolor en la pantorrilla y el signo de Homan es negativo. A nivel distal, la sensibilidad se mantiene intacta al contacto ligero y el relleno capilar es rápido.
Decidimos continuar con fisioterapia formal así como con un programa de ejercicios en casa para la rehabilitación de rodilla tras hablar sobre las opciones de tratamiento. Seguiremos usando hielo y elevando la pierna para reducir la hinchazón y el dolor.
Para minimizar el riesgo de trombosis venosa profunda, seguiremos utilizando la movilización temprana y la profilaxis mecánica. El paciente volvía a la clínica cada 3-4 semanas. El paciente se recuperó bien de la cirugía y procedió a fisioterapia.
Aviso legal – El nombre, edad, sexo, fechas y eventos del paciente han sido modificados o modificados para proteger su privacidad.

