El menisco protege los huesos de las enormes presiones que atraviesan la articulación de la rodilla al movernos. Como resultado, los huesos tienen una superficie lisa que facilita el movimiento.
Durante giros bruscos de rodilla, como los que ocurren en deportes o caídas, los meniscos se dañan con frecuencia. Como resultado, la articulación puede agrandarse y puede producirse sangrado, lo que tiende a desgarrar parte del cartílago.
En los deportes de contacto, las lesiones de menisco son frecuentes; frecuentemente coocurren con lesiones ligamentoras, especialmente cuando afecta el menisco medial. Esto se debe en parte a que el menisco medial está conectado al ligamento colateral medial y en parte a que con frecuencia se hacen placajes en el lado lateral de la rodilla, lo que provoca que la tibia gire hacia el exterior.
La lesión en el menisco medial está asociada a molestias en la rodilla, hinchazón y bloqueo, que ocurre cuando el paciente no puede estirar completamente la pierna. También podría acompañar una sensación de chasquido.
Un paciente masculino de 25 años visitó nuestra consulta, con quejas de dolor en la rodilla izquierda que tuvo hace unos meses. El paciente estaba jugando al fútbol y empezó el dolor. El dolor mejoró con el tiempo, pero volvió a lesionarse y desde entonces ha tenido dolor. El dolor es intermitente y sí interrumpe el sueño.
El dolor está asociado a hematomas, pero no a hinchazón, hormigueo, entumecimiento, dolor irradiado, debilidad, anomalías intestinales o vesiga, problemas de marcha, cesión o cojera, dificultad en la función de las manos.
El problema ha ido empeorando desde que empezó. Además, el paciente es fumador. Con la ayuda de la fisioterapia, los síntomas mejoran. El paciente está tomando Advil actualmente.
Al examinar la rodilla izquierda, el paciente es sensible a la palpación a lo largo de la línea articular medial y presenta un derrame. El paciente siente molestias con las maniobras de McMurray y la rodilla está estable. No tienen flexión completa secundaria al derrame, pero sí tienen extensión total.
No hay eritema, calor ni lesiones cutáneas presentes. Al examinar la extremidad contralateral, el paciente no tiene sensibilidad a la palpación y tiene un excelente rango de movimiento, estabilidad y fuerza.

Radiografía de rodilla izquierda AP y vistas laterales con oblicuos 3
Durante la visita se presentaron los resultados de las radiografías y no mostraron cambios degenerativos significativos. No hay fracturas agudas. No hay fractura, subluxación ni luxación. No se pueden identificar lesiones osteoblásticas ni osteolíticas. Se conservan los espacios de las articulaciones. La corteza subarticular es lisa. Se demuestra un derrame articular.

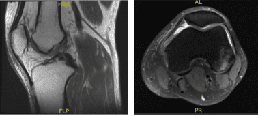
Resonancia magnética – 3T rodilla izquierda sin contraste
Hoy se ha presentado el resultado de la resonancia magnética y ha mostrado un desgarro complejo del cuerno posterior del menisco medial, una pequeña escisión, una pequeña clivación horizontal del cuerpo del menisco lateral, una lesión por impacto en la parte posterior no portante del cóndilo femoral lateral con fractura pequeña,
Lesión del ligamento colateral medial grado 2 con desgarro longitudinal vertical, contusión en la parte inferior medial de la rótula, derrame articular moderado con sinovitis.
Hablamos sobre las opciones de tratamiento para el diagnóstico del paciente, que incluían vivir con la extremidad tal cual, ejercicios organizados, medicamentos, inyecciones y opciones quirúrgicas. También discutimos la naturaleza y el propósito de las opciones de tratamiento, así como los riesgos y beneficios esperados.
Informé al paciente sobre los riesgos inherentes e inevitables que incluyen, pero no se limitan a: anestesia, infección, daño a los nervios y vasos sanguíneos, pérdida de sangre, coágulos e incluso la muerte, se discutieron en detalle.
Hablamos sobre la posibilidad de no poder volver a actividades o empleos anteriores, la necesidad de una cirugía futura y el síndrome de dolor regional complejo, y entendemos que suele seguir al procedimiento quirúrgico un proceso de rehabilitación largo.
También me explicó que no hay garantía de que toda la función y la resistencia vuelvan a funcionar. El paciente también comprende los riesgos de una nueva rotura o de no curar. El paciente expresó comprensión de estos riesgos y ha decidido proceder con la cirugía.
También hablamos sobre la reparación frente al desbridamiento del menisco medial. Dejar de fumar por parte del paciente es fundamental para un tratamiento exitoso. También hablamos sobre la posibilidad de desgarro y reparación del LCA frente a la reconstrucción del LCA. El paciente declinó someterse a la reconstrucción del LCA , pero estaba preparado para una reparación si era necesario.
El paciente fue llevado al quirófano y colocado sobre una mesa de operaciones bien acolchada. Se indujo anestesia general. El extremo inferior izquierdo fue colocado en torniquete. Estaba preparado y colocado de forma aséptica como de costumbre. El muslo izquierdo se colocó en un soporte para la rodilla. Se administró antibiótico preoperatorio.
Se aplicó Esmarch y el torniquete se infló a 300 mmHg. Se encontró que la articulación patelofemoral estaba en buen estado, sin daño en el cartílago. El endoscopio se llevó a la canaleta medial, donde había un colgajo sinovial. El compartimento medial mostró una lesión en rampa de la parte posterior del menisco medial.
Se insertó la sonda y se volvió a revisar el desgarro del menisco . Afectaba a la parte posterior del menisco medial a lo largo de la cápsula. Se decidió reparar la lesión de la rampa utilizando una sutura totalmente interna con FasT-Fix.
Se utilizaron dos FasT-Fixes curvas y dos curvas inversas para completar la reparación tras la abrasión del menisco, junto con una abrasión en cápsula realizada con la afeitadora. Se comprobó que la reparación estaba en buen lugar.

Imágenes de artroscopia intraoperatoria
Ahora el endoscopio se trasladó a la zona interna del troclear donde el LCA era deficiente. El desbridamiento estaba hecho. El endoscopio se trasladó al compartimento lateral, donde encontramos deshilachamiento en el borde medial, así como un pequeño desgarro en el mango de un cubo en el borde medial del menisco lateral.
Un examen más detallado mostró una rotura horizontal que subía hasta la periferia del menisco lateral de la parte posterior del cuerpo. Se utilizaron tres FasT-Fixes para la reparación de la lesión horizontal del menisco lateral.
Antes de eso, se realizaba una incisión posterolateral anterior al peroné. Con una disección aguda y roma que formó un plano detrás del LCL y entre la cápsula de rodilla en la cabeza lateral del gastrocnemio, se formó un plano.
Se insertó el espéculo de Sims para proteger los haces neurovasculares posteriores. Una vez terminado, se volvió a introducir el telescopio y se realizó la reparación del menisco izquierdo con FasT-Fixes de forma satisfactoria. La microfractura de la muesca troclear se realizó mediante fijación por fibrado.
Se liberó el torniquete y se pudo ver hueso sangrante desde el lugar de la microfractura. La incisión de la herida posterolateral fue lavada y cerrada. Se logró la hemostasia. El cierre se hacía en capas. La incisión posterolateral se cerró con Monocryl. Los portales artroscópicos se cerraron con nailon.
Se aplicó el vendaje. La rodilla fue colocada en un movilizador de rodilla. El paciente fue extubado y trasladado a la unidad postoperatoria en buen estado.
Hemos decidido continuar con fisioterapia formal así como con un programa de ejercicios en casa para la rehabilitación de la rodilla. Se retiraron puntos durante la visita de hoy.
Continuaremos con hielo y elevación de la rodilla para disminuir la inflamación y el dolor, y también seguiremos utilizando la movilización temprana y la profilaxis mecánica para reducir las probabilidades de una trombosis venosa profunda.
Reduciremos poco a poco cualquier medicamento narcótico y avanzaremos hacia antiinflamatorios y paracetamol si no hay contraindicaciones para estos medicamentos. El paciente se registró para una visita de seguimiento tras unas semanas y notó una mejora significativa en la rodilla.
Aviso legal – El nombre, edad, sexo, fechas y eventos del paciente han sido modificados o modificados para proteger su privacidad.

