Un estudiante varón de 12º curso fue visto en la oficina quejándose de su hombro y cuello izquierdos lesionados en un accidente de tráfico hace un mes. El paciente iba al colegio en el autobús escolar, sentado de lado y el autobús fue golpeado por detrás desde atrás.
Tenía un balanceo lateral del cuello y la cabeza. Fue atendido en el hospital donde le hicieron un TAC de cuello y cabeza y se comprobó que estaba normal. La fisioterapia la empezó su pediatra, pero ha tenido 2 sesiones en la última semana. No ha tenido alivio del dolor y tiene una rigidez severa en el cuello.
El dolor afecta a su sueño. Actualmente está haciendo agracejo, que actualmente no puede hacer. Actualmente está tomando ibuprofeno. También tiene dolor en el hombro izquierdo que sube a la parte delantera del brazo, asociado a hormigueo y entumecimiento. No hay anomalías en la marcha, intestino o vejiga. Niega fiebre, escalofríos o dolor previo en el cuello o el hombro.
Al examinar la columna cervical, el paciente es sensible a la palpación sobre la musculatura paraespinal y la línea media, desde el suboccipital hasta el omóplato izquierdo y el trapecio b/l. Existe una limitación severa en el rango de movimiento de la columna debido a las molestias. La prueba de Spurling no pudo realizarse. Se sientan con el escapulario prolongado y deprimido.
Son sensibles a la palpación sobre el trapecio y los romboides. No son sensibles a la palpación sobre clavícula y codo. No hay hinchazón de tejidos blandos ni equimosis. Tienen una fuerza de 5/5 y están neurovascularmente intactas distalmente. No hay eritema, calor ni lesiones cutáneas presentes.
Al examinar el hombro izquierdo, el paciente se sienta con la escápula extendida y deprimida. Son sensibles a la palpación sobre el supraespinoso anterior y el bíceps proximal. Hay crepitación palpable leve en el espacio subacromial con rango. El paciente presenta un rango de movimiento moderadamente restringido tras una abducción por encima de la cabeza a 80 grados, y molestias con el rango de movimiento por encima del hombro.
El paciente siente molestias con maniobras de pinzamiento (prueba de Whipple). La estabilidad no pudo ser probada. Tienen una fuerza de 5/5 en el distal, y están neurovascularmente intactos en el nivel distal. No hay eritema, calor ni lesiones cutáneas presentes.
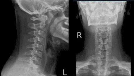
Durante la visita se presentaron radiografías de la columna vertebral y del hombro izquierdo; la radiografía de la columna cervical mostró un enderezamiento anormal de la curva cervical, aunque el hombro izquierdo mostró radiografías normales. En esta revisión, aconsejé al paciente que siguiera tomando ibuprofeno y que se realizará una resonancia magnética la semana siguiente.

Radiografía de la columna cervical 2 vistas

Radiografía del hombro izquierdo
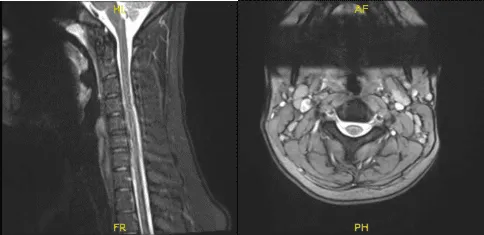
Tras una semana, el paciente regresó con resultados de la resonancia magnética y mostró que la columna cervical mostró un resultado significativo de enderezamiento de la lordosis cervical normal, compatible con un elemento de espasmo muscular, y la resonancia magnética mostró desgarro del labrum glenoides superior que se extendía hacia el ancla, la cabeza larga y el tendón del bíceps.
En este caso, aconsejó al paciente continuar con la fisioterapia y acudir a un médico especializado en el manejo del dolor. También hablamos sobre el tratamiento quirúrgico y no quirúrgico para su condición de hombro.

MRI-3T Columna cervical sin contraste

Artrograma MRI-3T en hombro izquierdo
El paciente decidió optar por un tratamiento quirúrgico. Hablamos sobre opciones de tratamiento, riesgos, beneficios y complicaciones tanto del manejo quirúrgico como no quirúrgico.
Hablamos de rigidez, infección, sangrado, lesiones en nervios y músculos adyacentes, necesidad de repetir la cirugía, no aliviar el dolor y necesidad de fisioterapia. El paciente y su madre lo entendieron bien y firmaron un consentimiento informado.
Se indujo una anestesia general y se colocó al paciente en decúbio lateral y colocado con la bolsa de frijoles en su sitio. El hombro izquierdo estaba preparado y colocado de forma aséptica como de costumbre. El brazo izquierdo se puso en flexión y abducción sobre un poste. Se realizó un examen previo al drapeado bajo anestesia y no se encontró inestabilidad ni subluxación.
Un portal posterior de entrada estaba formado por el hombro. El endoscopio se introdujo en la articulación glenohumeral. Se examinó la articulación glenohumeral y se encontró cierto deshilachamiento de la superficie articular del manguito rotador, así como deshilachamiento del labrum glenoideo anterosuperior y hasta el tendón del bíceps.
El tendón del bíceps estaba intacto. El IGHL, MGHL, subescapular, labrum inferior y posterior estaban intactos. Se tomaron y guardaron fotos.

El desbridamiento del labrum glenoides y del manguito rotador se realizó mediante una afeitadora. El cierre se hizo con nylon. Se realizó el vestir. El brazo izquierdo fue colocado en un cabestrillo para el hombro y el paciente fue extubado y trasladado a la unidad de recuperación en estado estable.
Después de una semana atendiendo pacientes, ha ido mejorando en cuanto al dolor y la inflamación. Cojea y ha estado usando muletas para caminar. Niega fiebre, escalofríos, relesión. A las dos semanas de la operación, las incisiones cicatrizan bien, sin indicios de drenaje, eritema o calor.
Hay un rango completo de movimiento sin molestias. Hemos decidido realizar fisioterapia formal así como un programa de ejercicios en casa para la rehabilitación de la rodilla. El paciente seguía regularmente una visita a la consulta cada 3-4 semanas. El paciente se recuperó bien tras la cirugía y continuó la fisioterapia.
Aviso legal – El nombre, edad, sexo, fechas y eventos del paciente han sido modificados o modificados para proteger su privacidad.

