Un artroscopio, una pequeña cámara utilizada en artroscopias de hombro, es insertado por el cirujano en la articulación del hombro. Tu cirujano utiliza las imágenes de la cámara para guiar pequeñas herramientas quirúrgicas tal como se muestran en un monitor de televisión.
El rango de movimiento de una persona también puede variar, junto con síntomas como dolor, hinchazón, entumecimiento, hormigueo, debilidad, cambios de temperatura o color. Las causas más frecuentes de lesiones en el hombro incluyen actividades deportivas, tareas laborales, proyectos de mejora del hogar y caídas. Los dolores y molestias leves pueden aliviarse frecuentemente en casa.
Un paciente de 65 años estaba en nuestra consulta con quejas relacionadas con dolor de cuello, hombro izquierdo, parte superior e inferior de la espalda. El paciente no tenía dolor en estas partes del cuerpo antes de la lesión actual. Para los factores agravantes, el paciente informa que está de pie y levanta pesos.
Para la ubicación, a la izquierda. Por calidad, palpitante, aguda y constante. En cuanto a gravedad, ella informa de moderada. Para la fecha de inicio, se presenta el 1-11-21. Para el momento, agudo. Para que te hagas una idea, ella denunció la enfermedad de la enfermedad de la enfermedad (MVA). Para aliviar factores, hielo, descanso y medicación de venta libre.
Por los síntomas asociados: sin debilidad, sin entumecimiento, sin hormigueo, sin hinchazón, sin enrojecimiento, sin calor, sin equimosis, sin ataduras o bloqueos, sin chasquidos ni pandeos, sin pandeo, sin rechinar, sin inestabilidad, sin radiación, sin secreción, sin fiebre, sin escalofríos, sin pérdida de peso, sin cambios en los hábitos intestinales/vesiga, y sin sensibilidad.
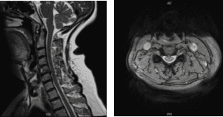
El paciente presentó resultados para la resonancia magnética en la columna cervical y mostró hernias discales posteroventrales en C4-C5 y C6-C7, que hendieran el saco tecal ventral y la superficie de la médula ventral. Bulto anular/espolón vertebral en C5-C6, asociado a espolón bilateral uncovertebral, ligeramente mayor en el lado derecho.
Los hallazgos resultan en un efecto masivo sobre el saco tecal y la médula espinal, una invasión foraminal bilateral y un ligero empeoramiento en la derecha. Estenosis cervical espinal leve. Artropatía facetaria en la región cervical superior, más marcada en la izquierda.

Resonancia magnética de columna cervical sin contraste
También se presentaron resultados de la resonancia magnética para su hombro que mostraron una rotura de grosor total del tendón supraespinoso de 1,4 cm en dimensión AP. Tendinosis y desgarro parcial del lado articular en el tendón infraespinoso de 0,8 cm de dimensión AP.
Desgarro parcial del tendón subescapular superior. Gran masa grasa en el interior y hasta la profundidad del músculo menor del árbol, que mide 6,8 x 3,7 x 4,3 cm, sin componentes del paciente ni sólidos.
La masa limita con el margen posterior del glenoides y con partes de la parte posterior de la cabeza y el cuello del húmer. Derrame moderado de la articulación glenohumeral. Espolón subsuperficial del acromion con mayor riesgo de impacto subacromial.

Resonancia magnética hombro izquierdo sin contraste
El equipo de anestesia administró un bloqueo supraclavicular en la zona preoperatoria. Se utilizaba una mesa de operaciones bien acolchada cuando el paciente era llevado al quirófano. Tras la sedación, la colocaron con el hombro derecho hacia arriba y el izquierdo lateral.
Prominencias óseas bien acolchadas por todos lados. El puff la mantenía firmemente en su sitio. Se insertó un rollo de axila. El hombro derecho se preparó como de costumbre y se vendó asépticamente. Se ordenó un tiempo muerto. Se administró un antibiótico antes de la cirugía.
Como era difícil acceder a la articulación glenohumeral a través del punto blando, se introdujo un artroscopio en la región subacromial. La resonancia magnética no reveló ninguna enfermedad en la articulación glenohumeral. Se examinó la zona subacromial y se encontró bursitis subacromial, que fue desbridada con una afeitadora.
El supraespinoso presenta un grosor parcial que se desgarra alrededor de su inserción en la tuberosidad mayor. Se observó espolón acromial anterior con pinzamiento. Se utilizó una varita de coblación para aflojar el ligamento coracoacromial, así como para limpiar y preparar el acromion para la acromioplastia.
El espolón acromial se retiró con una fresa y se realizó la acromioplastia. Se decidió reconstruir el tendón supraespinoso con un implante de rotación médica Regeneten. Se introdujo a través del portal lateral.
Para colocar las tachuelas, se creó una puerta auxiliar superior. Se colocaba al tendón del manguito rotador con chinchetas PLLA colocadas en la región tendinosa. Se usaron dos chinchetas óseas para fijarla sobre el hueso. Las fotografías finales fueron tomadas y conservadas.
El hombro había sido regado y drenado por completo. Se usaron capas de Vicryl 2-0 y nylon 3-0 para cerrar la distancia. Se usaban adaptic, 4 x 4, ABD y cinta adhesiva para el vestido. En condición estable, el paciente fue colocado en un cabestrillo para el hombro y trasladado a la recuperación.

Imágenes de artroscopia intraoperatoria
El paciente fue atendido para un chequeo postoperatorio. Hemos decidido hacer fisioterapia formal así como un programa de ejercicios en casa para la rehabilitación del hombro. Los pacientes seguían regularmente una visita a la consulta cada 3-4 semanas.
El paciente se recuperó bien tras la cirugía y continuó la fisioterapia. La paciente se registró para una revisión después de un mes y notó una mejora significativa en el hombro.
Aviso legal – El nombre, edad, sexo, fechas y eventos del paciente han sido modificados o modificados para proteger su privacidad.

