La artroscopia de rodilla puede ayudar con los síntomas insoportables de diversas afecciones que dañan los tejidos blandos y las superficies del cartílago alrededor de la articulación. La lesión en uno o más de los ligamentos, tendones, cartílago, huesos o músculos que conforman la articulación de la rodilla constituye una lesión de rodilla.
Estas lesiones pueden ser causadas por caídas, torcer violentamente la rodilla, impactos fuertes de un accidente de tráfico u otras fuerzas.
Un paciente de 69 años estaba en nuestra consulta con quejas sobre dolor en la rodilla izquierda tras girar. Por factores agravantes, los pacientes informaron estar de pie, caminar, girar, apoyar peso, subir y bajar las escaleras.
Para los síntomas asociados, reportó hinchazón, deformación, inestabilidad, sensibilidad al tacto y dolor al moverse, pero no reportó debilidad, ni entumecimiento, ni hormigueo, ni enrojecimiento, ni calor, ni equimosis, ni atrapamientos/bloqueos, ni chasquidos ni rechinaciones, ni radiación, ni secreción, ni fiebre, ni escalofríos, ni pérdida de peso ni cambios en los hábitos intestinales/vesiga.
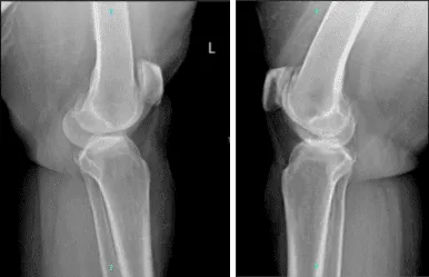
La paciente también trajo y presentó los resultados de radiografías de ambas rodillas. En el lado izquierdo, hay cambios degenerativos osteoartríticos leves. No hay fracturas agudas. Sin embargo, en el lado derecho, hay cambios degenerativos osteoartríticos moderados. Derrame articular. No hay fracturas.

Radiografía completa de la rótula de rodilla izquierda y derecha
Hablamos sobre las opciones de tratamiento para el diagnóstico del paciente, que incluían vivir con la extremidad tal cual, ejercicios organizados, medicamentos, inyecciones y opciones quirúrgicas. También discutimos la naturaleza y el propósito de las opciones de tratamiento, así como los riesgos y beneficios esperados.
Informé al paciente sobre los riesgos inherentes e inevitables que incluyen, pero no se limitan a, anestesia, infecciones, daños en nervios y vasos sanguíneos, pérdida de sangre, coágulos e incluso la muerte, que se discutieron en detalle.
También hablamos sobre la posibilidad de no poder volver a actividades o empleos anteriores, la necesidad de cirugías futuras y el síndrome de dolor regional complejo. El paciente también entiende que suele seguir al procedimiento quirúrgico un largo proceso de rehabilitación.
Hablamos de la posibilidad de no poder aliviar todo el malestar. Además, expliqué que no hay garantía de que toda la función y la resistencia vuelvan a funcionar. El paciente también comprende los riesgos de una nueva rotura o de no curar.
El paciente entiende que durante esta cirugía pueden utilizarse implantes. El paciente expresó comprensión de estos riesgos y ha decidido proceder con la cirugía. Hemos hablado del procedimiento quirúrgico así como de las expectativas realistas respecto a los riesgos, el resultado y el protocolo postoperatorio.
La paciente fue llevada al quirófano, donde la colocaron sobre una mesa de quirófano bien acolchada. Se indujo anestesia general. Se administraron antibióticos preoperatorios. La extremidad inferior izquierda estaba preparada y colocada asépticamente de la manera habitual.
Se creó un portal de entrada lateral e insertó un artroscopio. El examen de la articulación patelofemoral mostró parches de artritis grado 4 y artrosis grado 1 en el resto de la rótula y la troclea.
El examen del compartimento tibiofemoral medial mostró desgarros que afectan al cuerno posterior del menisco medial con delaminación horizontal. Se realizó un portal de entrada medial con el uso de una aguja espinal.
La afeitadora se introdujo a través de la puerta medial y se realizó una meniscectomía con el uso de afeitadora, así como de afeitadora hacia arriba y mordida recta. Se logró el equilibrio de márgenes.
El examen del compartimento cóndilo femoral medial mostró cambios osteoartríticos de grado 1 en el cóndilo femoral medial. El examen de la muesca intercondilar mostró LCA intacto. El examen del compartimento lateral mostró menisco y cartílago intactos.
Se introdujo otra afeitadora desde la puerta lateral y la cámara desde la puerta medial, y se realizó un equilibrio de los márgenes del menisco medial mediante el uso de la afeitadora.
También se realizó condroplastia de rótula y troclea. La rodilla fue completamente irrigada y drenada. El cierre se hizo usando nylon #3-0. Se inyectó marcaína al 0,5% 30 cc mezclada con 40 mg de Depo-Medrol en la rodilla. El apósito se hizo con Xeroform, Webril, 4 x 8, ABD y Ace wrap. El paciente fue extubado y trasladado a recuperación en estado estable.
El paciente deseaba proceder con la inyección para reducir el dolor y la inflamación. Tras una preparación estéril, se inyectaron 7 cc de marcaína al 0,5 % y 80 mg de depo-medrol en la rodilla izquierda.
El paciente toleró bien el procedimiento y no hubo complicaciones. Se discutieron en detalle el dolor post-inyección, el aumento de la glucosa en sangre, la decoloración de la piel, la atrofia grasa y los signos de infección.
El paciente fue atendido para un chequeo postoperatorio. Hemos decidido realizar fisioterapia formal así como un programa de ejercicios en casa para la rehabilitación de la rodilla.
El paciente se recuperó bien tras la cirugía y continuó la fisioterapia. La paciente se registró para una revisión después de un mes y vio una mejora significativa en la rodilla.
Aviso legal – El nombre, edad, sexo, fechas y eventos del paciente han sido modificados o modificados para proteger su privacidad.

