Para apoyar la rodilla y ayudar a prevenir lesiones adicionales en la articulación, una reconstrucción MPFL implica la creación de un nuevo ligamento patelofemoral medial. El MPFL se lesiona con mayor frecuencia durante una luxación rotuliana lateral.
Esto suele ocurrir cuando el pie está plantado y se aplica una fuerza rotatoria interna a la rodilla flexionada en el valgo. Es la estructura más importante que sufre daño en casos de luxación aguda de la rótula.
Un paciente de 21 años estaba en nuestra consulta con quejas sobre dolor en la rodilla izquierda debido a una caída. Tiene una recurrencia de luxación de la rótula que se ha ido haciendo más frecuente. No puede soportar peso y lleva inmovilizador de rodilla y muletas.
Para factores agravantes, estar de pie, caminar, apoyar peso, hacer ejercicio, arriba y abajo. Para los síntomas asociados, sensible al tacto. Para la calidad, reportaba con frecuencia y constantemente. Para la gravedad, leve.
Para el momento, informó del tiempo crónico y nocturno. Para aliviar los factores, hielo y descanso. En cirugías anteriores, ninguna. En las inyecciones anteriores, supuestamente ayudó un poco. El paciente presentó resultados de radiografías que mostraron un pequeño derrame en la articulación de la rodilla derecha. Radiografías de rodilla derecha sin mucho recuerdo.

Radiografía de rodilla con rótula
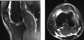
El paciente también presentó un resultado de resonancia magnética que mostró hallazgos acordes con reciente dislocación patuliana lateral transitoria con contusiones de impactación de la rótula inferomedial y del fémur distal anterolateral. Desgarro parcial en la unión rotuliana del retináculo medial. Derrame articular moderado. Quiste poplíteo parcialmente roto.

Resonancia magnética de rodilla izquierda sin contraste
Hablamos sobre las opciones de tratamiento para el diagnóstico del paciente, que incluían vivir con la extremidad tal cual, ejercicios organizados, medicamentos, inyecciones y opciones quirúrgicas. También hablé sobre la naturaleza y el propósito de las opciones de tratamiento, así como los riesgos y beneficios esperados.
Informé al paciente sobre los riesgos inherentes e inevitables que incluyen, pero no se limitan a, infección, rigidez, daño en nervios y vasos sanguíneos, pérdida de sangre que puede requerir transfusiones, coágulos sanguíneos, dolor persistente o empeoró, aflojamiento o fallo de implantes, inestabilidad, hormigueo o entumecimiento, anestesia y complicaciones sistémicas como cardíacas, pulmonares, neurológicas e incluso la muerte.
También hablé sobre la posibilidad de no poder volver a actividades o empleos anteriores, la necesidad de una cirugía futura y el síndrome de dolor regional complejo. El paciente también entiende que suele seguir al procedimiento quirúrgico un largo proceso de rehabilitación.
Hablé de la posibilidad de no poder aliviar todo el malestar. Además, expliqué que no hay garantía de que toda la función y la resistencia vuelvan a funcionar. Hablé sobre el tipo de implantes que podrían utilizarse durante esta cirugía.
El paciente expresó comprensión de estos riesgos y ha decidido proceder con la cirugía. Hablé sobre la medicación y alergias del paciente y la posible necesidad de autorizaciones médicas y de otro tipo si fuera necesario. He hablado sobre el procedimiento quirúrgico así como sobre las expectativas realistas respecto a los riesgos, el resultado y el protocolo postoperatorio.
La paciente fue llevada al quirófano, donde la colocaron sobre una mesa de quirófano bien acolchada. Se indujo anestesia general. Se administraron antibióticos preoperatorios. Se aplicó un torniquete sobre el muslo izquierdo. El muslo izquierdo estaba preparado y colocado de forma aséptica como de costumbre. Se aplicó Esmarch.
La rodilla se mantenía en triángulo y se marcaban prominencias óseas. Se realizó una incisión a lo largo del margen medial de la rótula proximal. En el caso de Bovie, el margen medial de la rótula superior fue disecado de forma limpia y desprendió su huella de tejido blando.
La cápsula estaba intacta. Se preparó un injerto de semitendinosus sobre la mesa trasera con cada uno y un punto de látigo con un FiberLoop. Se utilizaba un taladro para preparar o insertar el injerto en la rótula con un SwiveLock de 4,75 mm x2.
Se hicieron dos agujeros de perforación, uno en la parte media de la rótula y otro en el cuadrante superior superior de la rótula. El injerto se cargó en el SwiveLock x2. La inserí en cada agujero. Se realizó un loop. Ahora se introdujo un fluoroscopio de vídeo para marcar el punto Schottle.
Se pudo encontrar un punto de Schottle y se realizó una incisión sobre la piel. La incisión fue diseccionada profundamente en el hueso. Ahora, la guía se volvió a usar y, con varios intentos, se podía encontrar un punto Schottle a través de la guía.
De nuevo, el alambre guía se perforaba en el hueso y se guiaba proximal y anteriormente. Se disecó una capa entre la segunda y tercera capa de la rodilla, superficial a la cápsula. El injerto fue expulsado y se encontró que era un poco corto. No hubo injerto, que medía más de 20 cm.
Así que se abrirá otro injerto y se hará un lazo dentro de este injerto para alargar la longitud. Se usaba un FiberLoop para coser el injerto en este lazo de la fibra. El injerto se colocó alrededor del alambre guía y se revisó la flexión y extensión de la rodilla. Se comprobó que el injerto estaba en una posición aceptable con flexión y extensión.
La preparación para fijar el injerto en el cóndilo femoral. El pin Beath fue pasado lateralmente y sujeto con un hemostato. Se taladró sobre este pasador Beath a través de casi todo el ancho mediolateral del fémur. Las suturas del injerto se introducían en el pin Beath y el pin Beath se extraía lateralmente.
Una vez insertado el injerto, se colocaba un alambre de nitinol junto al injerto y se fijaba con un tornillo biocompuesto de 6 mm x 23 mm. La fijación final se revisó de nuevo y se encontró satisfactoria. La herida fue completamente irrigada y drenada.
El cierre se hizo en capas usando #0 Vicryl, # 2-0 Vicryl y #3-0 Monocryl. El aderezo se realizó con Xeroform y Steri-Strips, 4 x 8, ABD, Webril y Ace wrap. Se aplicó un inmovilizador de rodilla y el paciente fue extubado y trasladado a recuperación en estado estable.
El paciente fue atendido para un chequeo postoperatorio. Hemos decidido realizar fisioterapia formal así como un programa de ejercicios en casa para la rehabilitación de la rodilla. Los pacientes seguían regularmente una visita a la consulta cada 3-4 semanas.
El paciente se recuperó bien tras la cirugía y continuó la fisioterapia. La paciente se registró para una revisión después de un mes y vio una mejora significativa en la rodilla.
Aviso legal – El nombre, edad, sexo, fechas y eventos del paciente han sido modificados o modificados para proteger su privacidad.

