Se realiza un procedimiento mínimamente invasivo llamado artroscopia de hombro para identificar y tratar problemas en el hombro. Para lesiones de pinzamiento de hombro o del manguito rotador, podrías someterse a una artroscopia. Se requieren incisiones más pequeñas para procedimientos mínimamente invasivos que para la cirugía convencional.
El tamaño de cada corte es comparable al de una cerradura. El propósito de la cirugía de reparación del manguito rotador es reducir el dolor resistente a las terapias convencionales y ayudar al hombro a recuperar su flexibilidad y función.
El paciente, un hombre de 73 años, vino a mi clínica quejándose de dolor en el hombro izquierdo tras una caída. Antes de eso, había estado sufriendo dolor en el hombro izquierdo. No pudo levantar el hombro izquierdo porque había perdido toda función en él.
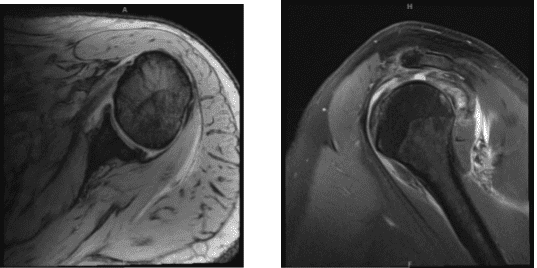
Tras realizar una resonancia magnética, se descubrió que el supraespinoso e infraespinoso del hombro izquierdo estaban completamente desgarrados. También se notó la ausencia del tendón del bíceps.
Hablamos sobre nuestras alternativas de tratamiento y decidimos por el tratamiento quirúrgico. Infección, hemorragia, daño en nervios y vasos sanguíneos cercanos, falta de curación, necesidad de una segunda operación, necesidad de reemplazo en el futuro y posible necesidad de tenodesis bíceps fueron solo algunos de los riesgos y beneficios que analizamos.
Hablamos de problemas sistémicos como coágulos sanguíneos, problemas cardíacos, pulmonares y neurológicos como la muerte. El cliente estaba al tanto y dio su consentimiento informado.

MRI-3T Hombro izquierdo sin contraste
El paciente fue llevado al quirófano y colocado sobre una mesa de operaciones bien acolchada. Se administró anestesia. Se emitió un tiempo fuera. Se administró clindamicina 900 mg como antibiótico preoperatorio. Al paciente se le administró un bloqueo supraclavicular antes de la cirugía. T
El paciente fue colocado sobre su lado derecho, con el hombro izquierdo levantado. Como de costumbre, el hombro izquierdo estaba preparado y colocado asépticamente. Se emitió un tiempo fuera. El artroscopio se introdujo en la articulación glenohumeral a través de un sitio de entrada posterior. Se observó una lesión significativa en el manguito rotador.
El subescapular estaba parcialmente desgarrado, que estaba desbridado. El labrum glenoide presentaba desgarros degenerativos parciales que fueron desbridados. La aguja espinal y la afeitadora se utilizaron para crear la puerta de entrada y la puerta dorsal medial para este desbridamiento.
El alcance se avanzó entonces al espacio subacromial, donde se realizó la descompresión subacromial usando una afeitadora. Se veía y se preparaba un desgarro significativo del puño. Se utilizó una muela para preparar la huella.
Se colocaron dos sacacorchos triples en las huellas anterior y posterior en ubicaciones predeterminadas. Las suturas se enfilaron a través del tendón del manguito rotador de forma secuencial.
Antes de comenzar la reparación del manguito rotador, se utilizó una sutura tipo Allen Mason para aproximar los tendones supra e infraespinoso. Las suturas se pasaban sucesivamente y se unían entre sí. La reparación se consideró suficiente. Las suturas habían sido perforadas.
Se realizó acromioplastia con la banda de Coblation, seguida de la burla. Se detectó artritis por AC. La excisión distal de la clavícula se realizaba con una varita de coblación, seguida de una rebarbada. Se extirpó un centímetro de la clavícula distal. Las fotografías finales fueron tomadas y conservadas.
El hombro fue limpiado a fondo, regado y cubierto. El procedimiento para la tenodesis del bíceps se pospuso debido a la ausencia de bíceps y a la posibilidad de fibrosis tendinosa en los márgenes del codo.
Esto se planificó y comunicó con el paciente antes de la cirugía. La herida se cerró con nylon #4-0 y el vendaje se aplicó con Xeroform.
Tras una semana, el médico atienda al paciente para su consulta postoperatoria, no se necesitan radiografías. Su dolor está bien controlado, niega fiebre o escalofríos y está usando el inmovilizador de hombro.
Decidimos continuar con la fisioterapia oficial así como con un régimen de ejercicio en casa para la rehabilitación del hombro tras analizar las opciones de tratamiento. Durante la visita, quitamos los puntos. Seguiremos usando hielo y elevando el hombro para reducir la hinchazón y el dolor.
Poco a poco los iremos retirando de cualquier medicamento narcótico y pasándolos a antiinflamatorios y paracetamol, siempre que no haya contraindicaciones. También abordamos los riesgos y beneficios de tomar estos medicamentos, así como los efectos secundarios más frecuentes. El paciente regresará en tres semanas para evaluar su progreso.
Tras un mes, el paciente fue a la consulta postoperatoria y no hicieron falta radiografías. Como antes, su dolor está bien controlado, no tiene síntomas de fiebre ni escalofríos y sigue usando el inmovilizador de hombro.
Decidimos usar una gestión cautelosa por el momento. Empezará la fisioterapia. Para reducir el dolor y la inflamación, seguiremos utilizando hielo y elevación, y seguiremos tomando medicamentos antiinflamatorios de venta libre. Su revisión 4 semanas después.
El paciente regresa a la consulta dos meses después para su consulta postoperatoria; No se requieren radiografías. Su malestar se controla eficazmente y no tiene fiebre ni escalofríos. Sigue llevando el inmovilizador de hombro.
Actualmente está trabajando con fisioterapia y avanzando bien. El progreso y desarrollo del paciente han sido innegables gracias a la continuidad del tratamiento físico y la asistencia regular a sus revisiones.
Aviso legal – El nombre, edad, sexo, fechas y eventos del paciente han sido modificados o modificados para proteger su privacidad.

