Las lesiones de rodilla implican traumatismo en uno o más tejidos como ligamentos, tendones, cartílago, huesos y músculos. Estas lesiones pueden producirse debido a una caída, una torsión brusca de la rodilla o cualquier accidente. Las lesiones comunes de rodilla incluyen fracturas, luxaciones, desgarros y esguinces.
El paciente acudió a la consulta con una queja sobre el dolor en la rodilla derecha. Afirmó que se lesionó la rodilla al salir de la piscina y sintió un «chasquido» en la rodilla derecha. Afirmó que la intensidad del dolor es muy intensa.
El momento del dolor es constante y le molesta mientras duerme. También hay hinchazón, debilidad y cojera. El paciente es ambulante con un andador. Le costaba mucho hacer sus actividades físicas. Dijo que descansar le ayuda con los síntomas. Se sometió a una operación de rodilla en 2013-2014.
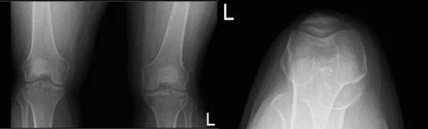
Se realizó una resonancia magnética y una radiografía, que muestran una rotura del menisco lateral. Hablamos sobre las opciones de tratamiento y el paciente optó por el manejo quirúrgico. Hablamos sobre los riesgos, beneficios y complicaciones de la cirugía. Hablamos sobre la posible reparación meniscal frente a la meniscectomía. El paciente lo entendió y firmó un consentimiento informado.


Se realizó cirugía artroscópica. Se realizó el portal anterior lateral para la observación artroscópica. Se introdujo el telescopio y se introdujo la cámara. La cámara mostró un desgarro del cuerno posterior y acercó el cuerpo posterior del menisco lateral alrededor del hiato poplíteo en su periferia.
El desgarro se podía reparar y decidí hacerlo. Había una lesión condral de grado 2 a grado 3 sobre la rótula así como el cóndilo lateral del fémur. Se realizó condroplastia. La raspa meniscal se utilizaba para preparar tanto la inserción capsular como la meniscal.

Se construyó un plano entre el poplíteo y el gastrocnemio con los recipientes detrás. El espéculo de Sims se utilizaba para retraer los vasos hacia atrás. Se reintrodujo otro endoscopio en el borde lateral y la reparación integral se realizó usando FasT-Fix con un implante curvo entero interno y suturas curvas Nephew.
Tres de ellos se colocaron en la parte posterior y medial del cuerpo al músculo poplíteo y uno se colocó lateralmente al músculo poplíteo. La reducción y reparación resultaron ser adecuadas. Se liberó el torniquete y se encontró un buen coágulo de sangre en su interior.

La incisión estaba cerrada. Se inyectaron marcaine 1% 10 cc en la articulación. El vestido se realizó con 4×4 ABD, Webril y Ace wrap. Se colocó una rodillera de Bledsoe con extensión bloqueada. El paciente fue trasladado a la unidad de cuidados postoperatorios tras la extubación en estado estable.
Tras una semana de cirugía postoperatoria, había estado usando una rodillera (ROM) y negó fiebre y escalofríos. Un mes después, las incisiones estaban bien curadas, sin indicios de drenaje, eritema o calor. Le aconsejaron que hiciera fisioterapia y tomara algunos antiinflamatorios hasta que tuviera un alivio total.
Aviso legal – El nombre, edad, sexo, fechas y eventos del paciente han sido modificados o modificados para proteger su privacidad.

