Una prótesis total de cadera, también conocida como artroplastia total de cadera, consiste en la extirpación del hueso y cartílago enfermos y su sustitución por partes artificiales. Se inserta un tallo metálico en el centro hueco del fémur para reemplazar la fractura de la cabeza femoral.
Las distensiones de cadera ocurren cuando uno de los músculos que sostiene la articulación de la cadera está sobreextendido o dañado. De acuerdo con la gravedad del daño, las distensiones pueden variar desde leves hasta graves. Una distensión significativa puede limitar el rango de movimiento de tu cadera.
Un paciente visitó nuestra consulta con quejas sobre dolor bilateral de cadera. La cadera izquierda mejoró, pero la derecha ha empeorado a pesar de usar ejercicios de estiramiento y AINEs. Cojea y no puede funcionar completamente todo el día debido al dolor.
Para los síntomas asociados, el paciente no reportó debilidad, entumecimiento, hormigueo, hinchazón, enrojecimiento, calor, echimosis, bloqueo, chasquidos o chasquidos, pandeos, rechinaciones, inestabilidad, radioterapia, drenaje, fiebre, escalofríos, pérdida de peso, cambios en los hábitos intestinales/vejiga y sensibilidad.
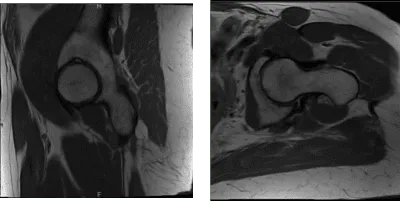
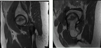
Presentó resultados de resonancia magnética en ambas caderas que mostraron tendinosis común leve en el isquiotibial con una pequeña rotura intrasustancial y edema circundante en la tuberosidad isquial. Necrosis avascular extensa de la cabeza femoral derecha. Cambios degenerativos en la parte baja de la columna lumbar de su cadera izquierda.
Necrosis avascular extensa que afecta la mayor parte de la cabeza femoral derecha y edema de médula ósea circundante que se extiende hasta el cuello femoral. La línea de fractura subcondral en forma de media luna se observa medialmente sin colapso o fragmentación articular.
Existen cambios osteofíticos leves en la articulación acetabular femoral derecha y un derrame articular moderado. Tendinosis leve del gluteo mínimo sin desgarro, para la cadera derecha.

Resonancia magnética Sin contraste en la cadera izquierda

Resonancia magnética Sin contraste en la cadera derecha
Hablamos sobre las opciones de tratamiento para el diagnóstico del paciente, que incluían vivir con la extremidad tal cual, ejercicios organizados, medicamentos, inyecciones y opciones quirúrgicas. También discutimos la naturaleza y el propósito de las opciones de tratamiento, así como los riesgos y beneficios esperados.
Informé al paciente sobre los riesgos inherentes e inevitables que incluyen, pero no se limitan a, anestesia, infecciones, daños en nervios y vasos sanguíneos, pérdida de sangre, coágulos e incluso la muerte, que se discutieron en detalle.
También hablamos sobre la posibilidad de no poder volver a actividades o empleos anteriores, la necesidad de cirugías futuras y el síndrome de dolor regional complejo. El paciente también entiende que suele seguir al procedimiento quirúrgico un largo proceso de rehabilitación.
Hablamos de la posibilidad de no poder aliviar todo el malestar. Además, expliqué que no hay garantía de que toda la función y la resistencia vuelvan a funcionar. El paciente también comprende los riesgos de una nueva rotura o de no curar.
El paciente expresó comprensión de estos riesgos y ha decidido proceder con la cirugía. Hemos hablado del procedimiento quirúrgico así como de las expectativas realistas respecto a los riesgos, el resultado y el protocolo postoperatorio.
El paciente fue llevado al quirófano tras obtener el consentimiento informado y firmar el lugar quirúrgico correcto. Los riesgos, beneficios y alternativas se discutieron extensamente con el paciente antes del procedimiento.
La paciente entiende el aumento del riesgo de ser joven y que podría necesitar una revisión en el futuro. El anestesiólogo obtuvo anestesia. El paciente fue colocado definitivamente con la cadera derecha hacia arriba y la cadera derecha se colocó y preparó de forma estéril habitual.
Para la artrotomía se utilizó una incisión curva centrada sobre el trocánter mayor. Se incisionaron la piel y los tejidos subcutáneos. La fascia se dividió entonces. La cadera se colocó entonces en rotación interna. Luego se tacharon las estructuras posteriores de tejidos blandos y se dislocó la cadera.
La resección del cuello se realizó entonces al nivel correcto. Luego se retiró la cabeza. Entonces la atención se centró en el acetábulo. El acetábulo se desbridó y escarió, y la concha se colocó en el acetábulo en la correcta abducción y anteversión. El tornillo se utilizó para fijaciones adicionales. Luego se colocó el poliuretano sobre la carcasa.
Entonces la atención se centró en el fémur. El fémur se rompió secuencialmente. El último broche quedó en su posición. El muñón y la cabeza se colocaban sobre el broche y la cadera se reducía.
A continuación, se probó la cadera en un rango fisiológico completo de movimiento y se comprobó estable en todos los rangos fisiológicos. Se comprobó que la versión combinada era correcta. Luego se dislocó la cadera. Luego se retiraron los componentes de la prueba. Los componentes finales se colocaron en su posición y la cadera se reubicó.
Se administró un lavado exhaustivo. Se le aplicó la inyección. Las estructuras posteriores de tejidos blandos se añadieron al trocánter mayor a través de túneles transóseos. Se administró un lavado exhaustivo. La fascia se cerró con Ethibond. El cierre fue realizado por el cirujano plástico, el Dr. Kote.
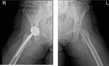
A la paciente se le dio el estado tras la artroplastia total de cadera derecha usando Zimmer, dijo que durmió de lado «por error» y que sintió la cadera dislocada. Presentó una radiografía que mostró una artroplastia total de cadera derecha, en buena alineación. No hay fracturas.

Cadera bilateral con pelvis 3 o 4 más vista
El paciente fue atendido para un chequeo postoperatorio. Hemos decidido hacer fisioterapia formal así como un programa de ejercicios en casa para la rehabilitación de la cadera.
El paciente se recuperó bien tras la cirugía y continuó la fisioterapia. La paciente fue a una revisión después de un mes y notó una mejora significativa en las caderas.
Aviso legal – El nombre, edad, sexo, fechas y eventos del paciente han sido modificados o modificados para proteger su privacidad.

