Las desgarras de la raíz meniscal son una lesión cada vez más común que, si no se trata, puede provocar restricciones funcionales significativas, una rápida degeneración del cartílago en el compartimento afectado y un riesgo posterior de reemplazo total de rodilla.
La extrusión meniscal ocurre frecuentemente junto con desgarros radiculares, lo que afecta la transferencia de cargas circunferenciales en los aros. Esto eleva drásticamente la presión de contacto tibiofemoral y modifica la cinemática y biomecánica de la rodilla.
Las reparaciones de la raíz menisca se realizan aislando la raíz, cosiendo al menos dos suturas en la conexión meniscal restante y luego intentando mover la raíz de nuevo a una ubicación más anatómica. El cuerno posterior del menisco puede necesitar ser liberado ocasionalmente del tejido cicatricial para ser reubicado.
Un paciente de 53 años estaba en nuestra consulta, con quejas de dolor en la rodilla izquierda. La paciente afirmó que había líquido en su rodilla. El dolor es de intensidad leve a moderada y se describió como agudo. El dolor es intermitente.
El dolor está asociado a hinchazón y cojera, pero no se asocia con hematomas, hormigueo, entumecimiento, dolor irradiado, debilidad, anomalía intestinal o vesiga, problemas de marcha, cesión o dificultad en la función de las manos.
El problema ha ido empeorando desde que empezó. Pero con la ayuda del hielo y la medicación inflamatoria mejoran los síntomas. El paciente se ha sometido a cirugía dos veces pero no quiso declararlo por teléfono. El paciente no tiene alergias ni fuma.
Al examinar la rodilla izquierda, el paciente es sensible a la palpación a lo largo de la línea articular lateral y presenta un derrame. Son sensibles a la palpación a lo largo de las facetas medial y lateral de la rótula. Presentan crepitación en la articulación patelofemoral con rango de movimiento y molestias en la prueba de rechinación rotuliana.
El paciente no siente incomodidad con las maniobras de McMurray y la rodilla está estable. Tienen un rango de movimiento limitado. No hay eritema, calor ni lesiones cutáneas presentes.
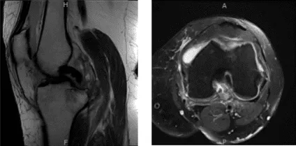
Durante la visita de seguimiento se presentó un resultado de resonancia magnética que mostró osteoartrosis con pérdida de cartílago de alto grado en el compartimento medial y pérdida de cartílago de alto grado cartílago troclear central con pérdida condral de bajo grado cartílago rotuliano.
Se observan cambios quísticos subcondrales y edema en la tibia medial. Esto puede ser secundario a la osteoartritis, aunque no puedo excluir que se desarrolle insuficiencia fractura tibia medial.
Gran desgarro radial del cuerno posterior del menisco medial, que está extruido periféricamente. Bursitis por anserina. Derrame articular de rodilla grande con cuerpo intraarticular flojo.

Resonancia magnética – Rodilla izquierda sin contraste
Hablamos sobre opciones de tratamiento y optamos por el manejo quirúrgico.
Hablamos sobre riesgos y beneficios, incluyendo infecciones, lesiones en nervios y vasos adyacentes, dolor en la rodilla, dolor crónico, síndrome de dolor regional complejo, necesidad de cirugía repetida, necesidad de cortisonas en el futuro, necesidad de reemplazo de rodilla en el futuro, complicaciones sistémicas como trombosis venosa profunda, complicaciones cardíacas, pulmonares y neurológicas, entre otras.
La paciente lo entendió y firmó su consentimiento informado.
El paciente fue trasladado al quirófano, donde se le indujo anestesia general. La colocaron sobre una mesa de operaciones bien acolchada. Se administraron antibióticos intravenosos. La extremidad inferior izquierda estaba preparada y colocada asépticamente de la manera habitual. Se aplicó un torniquete bajo. El torniquete estaba inflado.
Se creó un portal de entrada lateral y se accedió al telescopio. Se encontró un desgarro del cuerno posterior del menisco medial. Se construyó un portal de entrada medial. Se insertó la sonda y se volvió a examinar el desgarro. Se encontró una avulsión radicular en el cuerno posterior del menisco medial.
Había artritis patelofemoral así como artritis cóndila femoral medial. Se tomó la decisión de hacer la reparación de la raíz. Se realizó condroplastia de la artritis patelofemoral, que fue de grado 2 a grado 3, así como del cóndilo femoral medial, que fue de grado 3 a grado 4.

Imágenes de artroscopia intraoperatoria
Curette se utilizó para preparar el parterre para la raíz. La sutura FiberWire #2 se pasó por la raíz tras la preparación. Se utilizó curette para preparar la cama retirando el cartílago articular así como el hueso. Se usaba escorpión para pasar las suturas.
Se utilizó zig ACL para localizar el sitio de inserción de la raíz. Guiando a través del zig del LCA, se realizó una incisión lateral sobre la espinilla y se insertó la guía. Se utilizaba una broca de 2,5 mm para perforar hasta el lugar de inserción. Al considerarlo satisfactorio, se insertó un recuperador de suturas.
Las suturas se pasaban por el recuperador de suturas y se extraían por la espinilla lateral de la tibia. Al encontrarlo en una posición satisfactoria al apretarse, las suturas se ataron sobre un EndoButton. La rodilla fue irrigada a fondo.
El cierre se realizó con nylon #4-0. Luego se inyectaron 30 cc de Naroin en la rodilla. El vendaje se hizo usando 4 x 4, ABD, Webril, Ace wrap y se aplicó un inmovilizador de rodilla. El paciente fue extubado y trasladado a recuperación en estado estable.
Se informó al paciente que llevara el inmovilizador de rodilla y que apoyara el peso según la toleración, con la rodilla en extensión. Puede quitarse el inmovilizador y doblar las rodillas hasta 90 grados sin que tenga que cargar con peso. Debe usar el andador para deambular.
El paciente fue atendido para un chequeo postoperatorio. Hemos decidido realizar fisioterapia formal así como un programa de ejercicios en casa para la rehabilitación de la rodilla.
El paciente seguía regularmente una visita a la consulta cada 3-4 semanas. El paciente se recuperó bien tras la cirugía y continuó la fisioterapia. La paciente se registró para una revisión después de un mes y vio una mejora significativa en la rodilla.
Aviso legal – El nombre, edad, sexo, fechas y eventos del paciente han sido modificados o modificados para proteger su privacidad.

