Un enfoque de Henry modificado para el radio distal y un enfoque más cubital, destinados a exponer tanto el nervio medio como el radio distal, son los dos principales métodos quirúrgicos palmares en el radio distal. Para la mayoría de las fracturas distales del radio, el método de Henry modificado es apropiado.
El radio distal es la porción del radio que conecta con la articulación de la muñeca. A veces, una fractura en esta región se denomina «muñeca rota». Las causas más frecuentes de fracturas distales del radio son golpes directos en la muñeca o caer sobre una mano extendida.
La paciente es una mujer de 63 años vista en la consulta con dolor en la muñeca izquierda debido a una caída sobre la muñeca. Fue atendida en Mather por el Dr. Karkare, donde se realizó una reducción. Le hicieron un TAC.
El médico revisó y debatió los TAC; Existe una fractura conminuta del radio distal con extensión intraarticular donde el desplazamiento mide aproximadamente 1 mm. El desplazamiento máximo de fractura mide aproximadamente 9 mm.
Están presentes aproximadamente 20 grados de angulación palmar. También se identifica una fractura desplazada del estiloides cubital. Están presentes cambios degenerativos leves en el triscafo y en las primeras articulaciones carpometacarpianas.
Hablamos sobre las opciones de tratamiento y optamos por el manejo quirúrgico. Hablamos sobre riesgos y beneficios, incluyendo infección, hemorragia, lesiones en nervios y vasos adyacentes, no cicatrización, necesidad de repetir cirugías, rehabilitación, complicaciones sistémicas como coágulos sanguíneos, complicaciones cardíacas, pulmonares y neurológicas, incluyendo la muerte. El paciente lo entendió y firmó un consentimiento informado.

La paciente fue llevada al quirófano, donde la colocaron sobre una mesa de operaciones bien acolchada. Se indujo anestesia general. La extremidad superior izquierda estaba preparada y colocada de forma aséptica de la manera habitual. Loban se utilizó como lugar quirúrgico.
La fractura fue revisada bajo el fluoro y se encontró desplazada de forma voluntaria. Se realizó una incisión sobre el tendón del flexor carpo, radial. La vaina anterior del flexor del carpo radial se cortó en la línea de la incisión.
El tendón fue retraído medialmente y se cortó la vaina posterior. Se alcanzó el pronador cuadrado, que se cortó con el uso de Bovie a lo largo de la línea radial. El lugar de la fractura quedó expuesto. La fractura fue conminuta y desplazada.
Con manipulación, la fractura se redujo y se mantuvo sujeta con K-wire. La placa reductora se utilizaba y se sujetaba con hilos K oliva. Se comprobó que esto movió la fractura en buena reducción. La placa se fijó al extremo proximal mediante dos tornillos corticales.
Se tomaron fotos y se descubrió que la fractura estaba bien reducida. La fijación de la placa al fragmento distal se realizaba mediante múltiples tornillos de bloqueo. Se colocaron dos tornillos corticales proximalmente. Se tomaron las fotos finales y se encontró en una posición satisfactoria. Estaba en el lugar de la fractura.
La fractura fue completamente irrigada y rellena de Vitoss. Hubo subluxación radioulnar. La muñeca se colocó en supinación y se pasó un K-wire de 1 a 1,5 mm desde el radio hasta el cúbito, que transfixaba la articulación radioulnar distal. Se tomaron y guardaron las fotos finales.
La herida fue completamente irrigada y drenada. El cierre se hizo en capas usando Vicryl #2-0 y Monocryl #3-0. El apósito se realizó con Xeroform, 4 x 8, Webril. Se aplicó una férula posterior de brazo largo. El paciente fue extubado y trasladado a la sala de recuperación en estado estable.
La paciente atendida en la consulta para su visita postoperatoria con radiografías. Niega la fiebre, se estremece y tiene poca tolerancia y control al dolor. No puede mover bien los dedos y tiene hinchazón en los dedos y el pulgar.
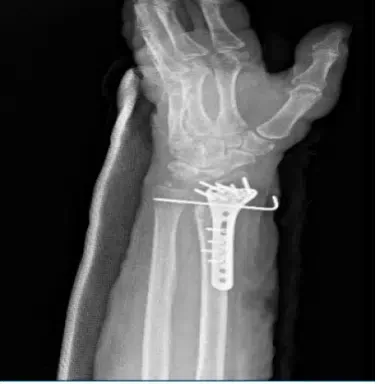
El médico revisó y discutió las radiografías; el paciente se encuentra en estado post-ORIF fractura del radio distal y del proceso estiloide cubital. El hardware quirúrgico está instalado en el radio distal. Hay un alfiler de fijación que se extiende a lo largo del radio distal y el cúbito. Los fragmentos de fractura aparecen en una posición y alineación satisfactorias.

Vistas de radiografía de la muñeca izquierda 2
Tras tres semanas, la paciente fue atendida en la consulta para su visita postoperatoria con radiografías. Niega la fiebre, los escalofríos, tiene poca tolerancia al dolor y control. No podía mover bien los dedos, tenía hinchazón en los dedos y el pulgar, y lloraba durante la visita con cualquier movimiento sutil.
Se revisaron y debatieron las radiografías. Buena alineación y posición del implante. Hablé de opciones de tratamiento, incluyendo fisioterapia, resonancia magnética, inyección y cirugía. Hemos acordado optar por una gestión conservadora por ahora. Férula de brazo largo y cable K retirados.
Motivado para movimientos activos y pasivos de los dedos. Umbral bajo para el dolor. Tiene hinchazón residual en el dedo con restricción de amplitud de movimiento aplicada férula de brazo corto debido a un mal control del dolor y a empezar con terapia ocupacional.

Radiografía de la muñeca izquierda 3 o más vistas
Tras dos meses, la paciente fue a la consulta para su visita postoperatoria, negó fiebre y escalofríos. Ha estado trabajando con terapia ocupacional y ha ido mejorando. La hinchazón de sus dedos ha disminuido y puede moverlos más, y está dejando poco a poco el aparato.
Decidimos que el aparato se destetaba, motivados para movimientos activos y pasivos de los dedos y con hinchazón residual en los dedos con restricción de rango de movimiento. Terapia ocupacional para continuar, hielo, elevación y antiinflamatorios de venta libre. Para la revisión de seguimiento, el paciente volverá a las 4 semanas con radiografías.
Después de tres meses, la paciente está aquí hoy para su visita postoperatoria. No tiene fiebre, ni escalofríos, ha estado trabajando con terapeuta ocupacional y ha ido mejorando. La hinchazón de sus dedos ha disminuido y puede moverlos más.
Ha dejado el aparato y ya puede conducir. Se revisaron y debatieron las radiografías. La fractura ha sanado. Está motivada para el movimiento activo y pasivo de los dedos y presenta hinchazón residual en los dedos con restricción de amplitud de movimiento.
Y terapia ocupacional para continuar, elevación, antiinflamatorios de venta libre, seguimiento a las 4 semanas y no necesito radiografías. Tras la operación, el paciente se recuperó bien y continuó con la fisioterapia. La paciente regresó para una visita de seguimiento y su muñeca había mejorado mucho.
Aviso legal – El nombre, edad, sexo, fechas y eventos del paciente han sido modificados o modificados para proteger su privacidad

