La fijación interna es una técnica para unir directamente los huesos. Esto puede incluir tornillos, placas, varillas, alambres o clavos específicos que el cirujano introduce en los huesos para mantenerlos en su sitio. Esto evita que los huesos se reparen mal.
El tornillo interfragmentario o tornillo de retardo se utiliza como complemento al recubrimiento y se emplea frecuentemente como soporte inicial para asegurar la instalación segura y estable de una placa en modo neutro en la fractura reducida.
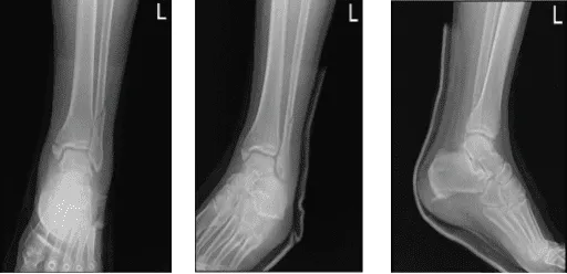
El paciente es un hombre de 60 años que fue visto en la consulta tras una caída desde el tejado. Tenía dolor e hinchazón en el tobillo izquierdo. Fue atendido por otro médico y le habló sobre opciones de tratamiento, incluyendo quirúrgico y no quirúrgico. Pero en ese momento rechazó la cirugía. Estaba viendo a otro profesional como segunda opinión.
Revisamos las radiografías y discutimos las opciones de tratamiento y las opciones quirúrgicas y no quirúrgicas. El paciente optó por el manejo quirúrgico. El paciente se ha recuperado recientemente del COVID y tiene antecedentes de coágulos sanguíneos, por los que tomó Eliquis, que ha dejado recientemente.
Hablamos sobre riesgos y beneficios de la cirugía, incluyendo infección, sangrado, falta de curación, necesidad de repetir la cirugía, necesidad de rehabilitación, complicaciones sanguíneas y sistémicas como coágulos, complicaciones cardíacas, pulmonares y neurológicas, incluyendo la muerte. El paciente lo entendió y firmó un consentimiento informado.

Radiografía completa del tobillo izquierdo 3 o más vistas
El paciente fue llevado al quirófano, donde lo colocaron sobre una mesa de quirófano bien acolchada. Se indujo anestesia general. La extremidad inferior izquierda estaba preparada y colocada asépticamente de la manera habitual. Se aplicó y inflaba torniquete. Se pidió tiempo muerto.
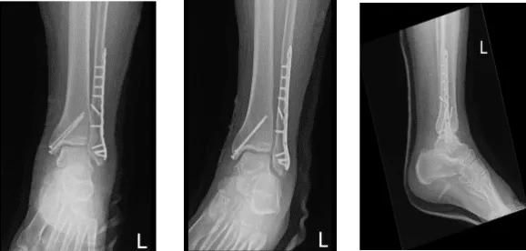
Ya se habían administrado antibióticos preoperatorios. Se realizó una incisión lateral centrada sobre la fractura. La fractura fue abierta y lavada. La fractura fue reducida y fijada con el tornillo interfragmentario insertado. Se aplicó una placa de neutralización sobre la maléola lateral, con los tornillos distal y proximal con una combinación de tornillos de bloqueo y no bloqueo que la encontraron en una posición aceptable.
Se tomaron y guardaron fotos. Ahora, la atención se desvió hacia el maléolo medial. Se hizo una incisión con palo de hockey a lo largo del maléolo medial. Se alcanzó el lugar de la fractura y estaba limpio. Había un periosteo que entraba en los sitios de fractura, que fue extirpado con una cuchilla.
La fractura fue abierta y lavada con líquido de irrigación. La fractura fue reducida y sujetada con una pinza. Los dos alambres guía se insertaron anterior y posterior a la pinza y la fractura se mantuvo en su lugar.
Se realizó una malleola medial e insertaron dos tornillos malleolares de 60 mm sobre los alambres guía. El ajuste final se realizó tras retirar los cables guía. Se tomaron fotos que se encontraron en posiciones aceptables. Las fotos se salvaron.
La herida fue completamente irrigada y cerrada en capas usando #0 Vicryl, # 2-0 Vicryl y #3-0 Monocryl. El apósito se hizo usando Xeroform, 4 x 8, ABD, Webril.
Se aplicó una férula posterior por debajo de la rodilla hasta los dedos con el ancla en posición ortostática y se aplicó un vendaje Ace. Se liberó el torniquete. El paciente fue extubado y recuperado solo en quirófano. El paciente fue trasladado a la UCI una vez recuperado en estado estable.
El paciente atendido en la consulta después de una semana para su revisión de seguimiento, está en férula post-férula y sin apoyar nada. Tuvo problemas para controlar el dolor pero está mejorando, niega fiebre, escalofríos y levantar y aplicar hielo en el tobillo.
Se revisaron radiografías y se discutieron opciones de tratamiento como fisioterapia, resonancia magnética, inyección y cirugía. Sin embargo, acordamos optar por una gestión conservadora por ahora.

Radiografía completa del tobillo izquierdo 3 o más vistas
Tras 2 meses, el paciente fue atendido en la consulta para su revisión de seguimiento, está en férula post-férula y con papá no afectada. Niega fiebre, tiene escalofríos, está elevando y poniendo hielo en el tobillo, su control del dolor ha mejorado.
Y es capaz de soportar algo de peso sobre ella. Con la revisión de seguimiento, el paciente mostró progresos de vez en cuando cuando visita la consulta. Se recupera tras la operación y con la ayuda de la fisioterapia continua.
Aviso legal – El nombre, edad, sexo, fechas y eventos del paciente han sido modificados o modificados para proteger su privacidad.

