Cuando los fragmentos óseos no están fuera de lugar, una fractura maléola lateral se caracteriza como no desplazada. La cirugía suele ser necesaria cuando los huesos están rotos (fracturados) y están fuera de lugar, inestables o pueden quedar fuera de lugar.
Este procedimiento se conoce como reducción abierta y fijación interna (ORIF). La zona de la fractura se abre para que el cirujano pueda verla durante la reducción abierta. La fijación interna se refiere al uso de tornillos, pasadores o dispositivos de fijación para sujetar las partes óseas en su lugar.
Una fractura de malleolo lateral es una forma de fractura del tobillo causada por la fractura del peroné justo encima de la articulación del tobillo. El tipo más común de fractura de tobillo ocurre cuando el pie se gira o se torce.
Un paciente masculino de 78 años acude a la consulta con radiografías presentadas y quejas por el dolor en el pie izquierdo y tobillo tras resbalar en hielo hace tres días. El paciente afirma que el dolor presenta síntomas asociados como hinchazón, inestabilidad y sensibilidad al tacto.
Se revisaron y discutieron las radiografías y se le diagnosticó fractura cerrada de la maléola lateral – Fractura desplazada de la maléola lateral de la fíbula izquierda, encuentro inicial de fractura cerrada.
Tras el examen, discutimos las opciones de tratamiento para el diagnóstico del paciente, que incluían: opciones no quirúrgicas y quirúrgicas. Hablamos sobre riesgos y beneficios, incluyendo infección, sangrado, falta de curación, necesidad de repetir cirugías, rehabilitación, lesiones en nervios y vasos adyacentes. También hablamos de complicaciones sistémicas, incluyendo coágulos sanguíneos, cardíacas, pulmonares y neurológicas, incluyendo la muerte.
El paciente entendió y expresó su deseo de proceder con la cirugía y firmó el consentimiento informado.
El paciente fue trasladado al quirófano, donde se le indujo anestesia general. Ya se había administrado el antibiótico preoperatorio. El bulto de cadera se colocó bajo la pelvis izquierda. Se aplicó torniquete en el lado izquierdo. La extremidad inferior izquierda estaba preparada y colocada asépticamente de la manera habitual. Se pidió un tiempo muerto.
Se le dio una incisión malleolar lateral con forma de palo de hockey. La fascia fue cortada en la línea de la incisión. Se llegó al lugar de la fractura y se limpió. Curette fue utilizada para limpiar la fractura. La fractura fue irrigada y lavada.
La fractura se redujo usando un broche de langosta y se insertó un tornillo interfragmentario de 3,5 mm entre las dos compresiones de la fractura. Tras la compresión de la fractura, se aplicó una placa maléola lateral sobre la fíbula distal y la placa se sujetó con hilos oliva.
Se tomaron fotos que resultaron satisfactorias. La fijación de la placa se realizaba en la fíbula distal mediante una combinación de tornillos de bloqueo y de no bloqueo. Se usaron un total de siete tornillos a la placa y uno interfragmentario. Se tomaron y guardaron las fotos finales.
La herida fue lavada y cerrada a fondo en capas usando Vicryl #0, Vicryl 3-0 y Monocryl #4-0. El apósito se hizo con Xeroform y 4 x 4. La férula posterior se aplicó usando Webril, férula de fibra y vendaje Ace. El paciente fue extubado y trasladado a Recuperación en estado estable.
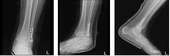
Dos semanas después de la cirugía, el paciente fue atendido en la consulta para sus visitas postoperatorias, el médico revisó y discutió las radiografías. La placa quirúrgica y los tornillos fijan el peroné distal izquierdo con una alineación casi anatómica. El hardware parece intacto y la tibia distal también está intacta.
Los aspectos visualizados del astrágalo izquierdo, el calcáneo y los huesos tarsianos muestran márgenes corticales intactos sin evidencia de fractura aguda. No hay cambios degenerativos significativos, la mortaja del tobillo está bien mantenida.
Hay una leve hinchazón de tejidos blandos. Se observa una férula suprayacente y no hay espolones plantares calcáneos. Lo que significa que la fractura del peroné distal izquierdo tratada quirúrgicamente con alineación casi anatómica.
Hablamos sobre opciones de tratamiento, incluyendo fisioterapia, resonancia magnética, inyección y la cirugía. Sin embargo, acordamos optar por un manejo conservador por ahora, continuando con la postférula, hielo y elevación para aliviar la inflamación y el uso de antiinflamatorios de venta libre para aliviar los dolores. El paciente hace un seguimiento de la revisión tras 2 semanas con una bota andadora y radiografías.

Radiografía del tobillo izquierdo completada
Tras un mes, el paciente fue atendido en la consulta postoperatoria con una radiografía del tobillo izquierdo y también se queja de dolor en la rodilla izquierda, que ha empeorado recientemente. El médico revisó la radiografía, vio la rótula del amanecer y la lateral de pie AP.
El fémur distal, la rótula, la tibia proximal y el peroné proximal presentan márgenes corticales intactos sin fractura aguda. Los espacios de las articulaciones medial, lateral y patelofemoral están bien mantenidos; sin embargo, hay formación leve de osteófitos medial, lateral y patelofemoral.
No hay evidencia radiográfica de derrame articular ni evidencia radiográfica de hinchazón de tejidos blandos. No tiene fracturas, pero sí cambios degenerativos osteoartríticos leves.
Acordamos continuar con el manejo conservador por ahora, usando botas Cam Walker, PWB, Ice, Elevation y antiinflamatorios de venta libre. El paciente volverá después de 4 semanas para su revisión con radiografías.

Radiografía de rodilla derecha con rótula
Han pasado otras dos semanas, el paciente fue atendido en la consulta para su consulta quirúrgica. Su terapeuta llamó para informarle de que tenía hinchazón en el tobillo, lo cual era preocupante. El médico revisó la radiografía del tobillo izquierdo.
Tiene dedos en martillo B/L y está bajo cuidado de un podólogo, además de que recientemente tuvo hinchazón en el segundo dedo derecho, para lo que le han recetado antibióticos. Han pasado otros meses y el paciente ha ido mejorando. Su hinchazón ha disminuido,
Ocasionalmente pasea a amigos con derecho con botas y tiene molestias mínimas. Ahora puede conducir. El médico revisó la radiografía del tobillo izquierdo. Tiene dedos en martillo B/L y está bajo el cuidado de un podólogo. Todavía tenía hinchazón en el segundo dedo derecho, por lo que podría necesitar cirugía.
Sin embargo, acordamos continuar con una gestión conservadora por ahora. Bota camwalker para continuar, muletas para destetarse, fisioterapia para continuar, WBAT, hielo, elevación y antiinflamatorios de venta libre.
Revisión cada 4 semanas con radiografías. Con la revisión de seguimiento, el paciente mostró progresos de vez en cuando cuando visita la consulta. Se recupera tras la operación y con la ayuda de la fisioterapia continua.
Aviso legal – El nombre, edad, sexo, fechas y eventos del paciente han sido modificados o modificados para proteger su privacidad.

